Suppr超能文献

表面用基于甘露糖的表面活性剂修饰的可吸入固体脂质纳米粒的体内生物分布:治疗肺结核的一种有前景的工具?

In Vivo Biodistribution of Respirable Solid Lipid Nanoparticles Surface-Decorated with a Mannose-Based Surfactant: A Promising Tool for Pulmonary Tuberculosis Treatment?

作者信息

Truzzi Eleonora, Nascimento Thais Leite, Iannuccelli Valentina, Costantino Luca, Lima Eliana Martins, Leo Eliana, Siligardi Cristina, Gualtieri Magdalena Lassinantti, Maretti Eleonora

机构信息

Department of Life Sciences, University of Modena and Reggio Emilia, 41125 Modena, Italy.

Laboratory of Pharmaceutical Technology, Federal University of Goiás, Goiânia, Goiás 74605-170, Brazil.

出版信息

Nanomaterials (Basel). 2020 Mar 21;10(3):568. doi: 10.3390/nano10030568.

Abstract

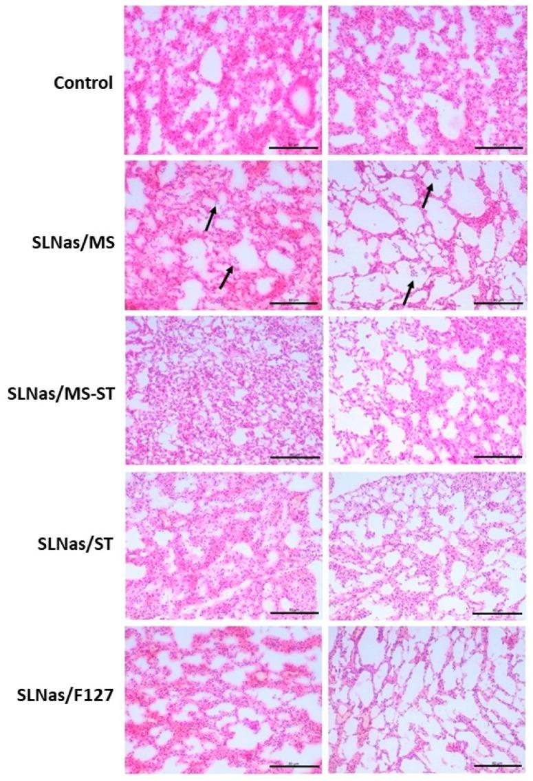
The active targeting to alveolar macrophages (AM) is an attractive strategy to improve the therapeutic efficacy of 'old' drugs currently used in clinical practice for the treatment of pulmonary tuberculosis. Previous studies highlighted the ability of respirable solid lipid nanoparticle assemblies (SLNas), loaded with rifampicin (RIF) and functionalized with a novel synthesized mannose-based surfactant (MS), both alone and in a blend with sodium taurocholate, to efficiently target the AM via mannose receptor-mediated mechanism. Here, we present the in vivo biodistribution of these mannosylated SLNas, in comparison with the behavior of both non-functionalized SLNas and bare RIF. SLNas biodistribution was assessed, after intratracheal instillation in mice, by whole-body real-time fluorescence imaging in living animals and RIF quantification in excised organs and plasma. Additionally, SLNas cell uptake was determined by using fluorescence microscopy on AM from bronchoalveolar lavage fluid and alveolar epithelium from lung dissections. Finally, histopathological evaluation was performed on lungs 24 h after administration. SLNas functionalized with MS alone generated the highest retention in lungs associated with a poor spreading in extra-pulmonary regions. This effect could be probably due to a greater AM phagocytosis with respect to SLNas devoid of mannose on their surface. The results obtained pointed out the unique ability of the nanoparticle surface decoration to provide a potential more efficient treatment restricted to the lungs where the primary tuberculosis infection is located.

摘要

主动靶向肺泡巨噬细胞(AM)是一种有吸引力的策略,可提高目前临床实践中用于治疗肺结核的“老”药的治疗效果。先前的研究强调了可吸入固体脂质纳米颗粒组装体(SLNas)的能力,其负载利福平(RIF)并用新型合成的基于甘露糖的表面活性剂(MS)进行功能化,单独使用或与牛磺胆酸钠混合使用时,能够通过甘露糖受体介导的机制有效靶向AM。在此,我们展示了这些甘露糖基化SLNas的体内生物分布,并与未功能化的SLNas和裸RIF的行为进行比较。在小鼠气管内滴注后,通过活体动物全身实时荧光成像以及对切除器官和血浆中的RIF进行定量来评估SLNas的生物分布。此外,通过对支气管肺泡灌洗液中的AM和肺组织切片中的肺泡上皮进行荧光显微镜检查来确定SLNas的细胞摄取。最后,在给药后24小时对肺进行组织病理学评估。仅用MS功能化的SLNas在肺中的滞留量最高,且在肺外区域的扩散较差。这种效应可能是由于相对于表面不含甘露糖的SLNas,AM的吞噬作用更强。所得结果指出了纳米颗粒表面修饰具有独特能力,可提供一种可能更有效的治疗方法,且仅限于原发性结核感染所在的肺部。

https://cdn.ncbi.nlm.nih.gov/pmc/blobs/2d7c/7153707/4c3a1fe567af/nanomaterials-10-00568-g001.jpg

文献AI研究员

20分钟写一篇综述,助力文献阅读效率提升50倍。

立即体验

用中文搜PubMed

大模型驱动的PubMed中文搜索引擎

马上搜索

文档翻译

学术文献翻译模型,支持多种主流文档格式。

立即体验