Suppr超能文献

基质Gla蛋白通过上调钙信号通路激活NF-κB通路促进结肠癌增殖。

MGP Promotes Colon Cancer Proliferation by Activating the NF-κB Pathway through Upregulation of the Calcium Signaling Pathway.

作者信息

Li Xueqing, Wei Rui, Wang Mizhu, Ma Li, Zhang Zheng, Chen Lei, Guo Qingdong, Guo Shuilong, Zhu Shengtao, Zhang Shutian, Min Li

机构信息

Department of Gastroenterology, Beijing Friendship Hospital, Capital Medical University, National Clinical Research Center for Digestive Disease, Beijing Digestive Disease Center, Beijing Key Laboratory for Precancerous Lesion of Digestive Disease, Beijing 100050, P.R. China.

Department of Gastroenterology, The Second Hospital of Shanxi Medical University, Taiyuan, Shanxi 030001, P.R. China.

出版信息

Mol Ther Oncolytics. 2020 Apr 19;17:371-383. doi: 10.1016/j.omto.2020.04.005. eCollection 2020 Jun 26.

Abstract

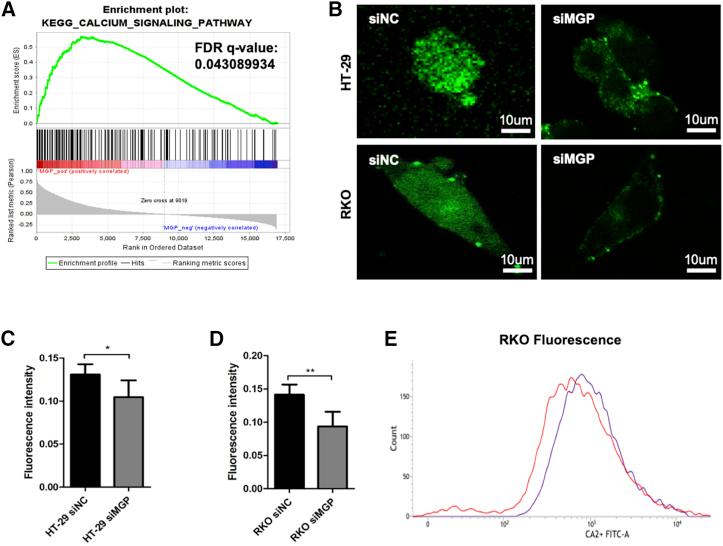
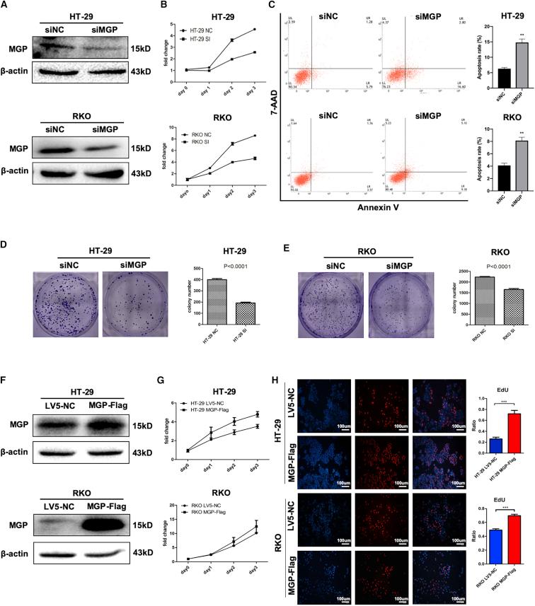
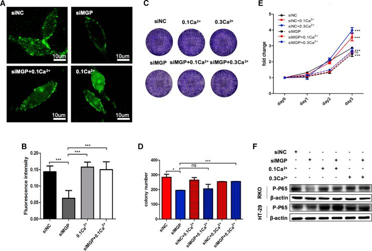
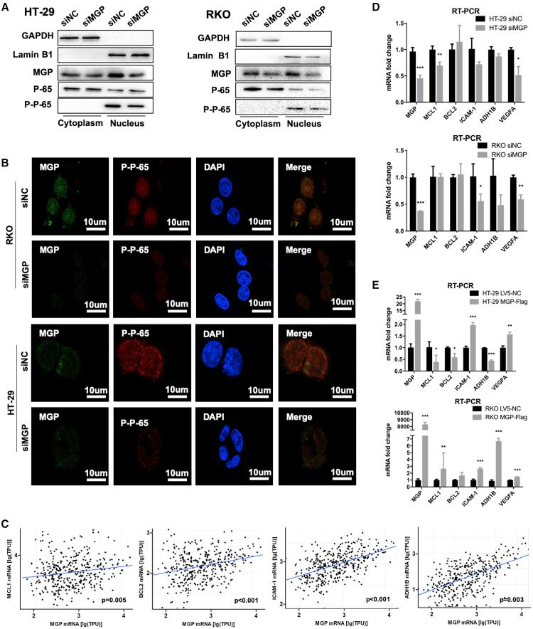
Matrix Gla protein (MGP), an extracellular matrix protein, is mainly associated with the inhibition of calcification in skeleton, coronary artery, and kidney, and more recently it has also been implicated in cancer. However, the biological function of MGP inside cancer cells and its role in colon cancer (CC) remain largely unknown. MGP expression and its association with clinicopathologic characteristics in CC were analyzed by immunohistochemistry and verified by Gene Expression Omnibus (GEO) and The Cancer Genome Atlas (TCGA) datasets. The effects of MGP on CC cell proliferation were evaluated via knockdown and overexpression experiments . Mechanisms of MGP in CC were explored by western blots, quantitative real-time PCR, Fluo-3 AM staining, Rhod-2 AM staining, immunofluorescence, and other techniques. Our study confirmed that MGP was upregulated in different stages of CC and associated with a worse prognosis. MGP could enrich intracellular free Ca concentration and promote nuclear factor κB (NF-κB)/p65 phosphorylation, activating the expression of c-MYC, ICAM-1, and VEGFA. Furthermore, the reduction of intracellular free Ca concentration and the subsequent growth inhibition effect on CC cells induced by small interfering RNA targeting MGP (siMGP) could be rescued by a higher calcium concentration environment. Therefore, MGP promotes the growth and proliferation of CC cells by enriching intracellular calcium concentration and activating the NF-κB pathway, and it could serve as a potential prognostic biomarker in CC patients.

摘要

基质γ-羧基谷氨酸蛋白(MGP)是一种细胞外基质蛋白,主要与骨骼、冠状动脉和肾脏中的钙化抑制相关,最近它也被认为与癌症有关。然而,MGP在癌细胞内的生物学功能及其在结肠癌(CC)中的作用仍 largely未知。通过免疫组织化学分析CC中MGP的表达及其与临床病理特征的关联,并通过基因表达综合数据库(GEO)和癌症基因组图谱(TCGA)数据集进行验证。通过敲低和过表达实验评估MGP对CC细胞增殖的影响。通过蛋白质免疫印迹、定量实时PCR、Fluo-3 AM染色、Rhod-2 AM染色、免疫荧光和其他技术探索MGP在CC中的作用机制。我们的研究证实,MGP在CC的不同阶段上调,并与较差的预后相关。MGP可富集细胞内游离钙浓度并促进核因子κB(NF-κB)/p65磷酸化,激活c-MYC、ICAM-1和VEGFA的表达。此外,较高钙浓度环境可挽救靶向MGP的小干扰RNA(siMGP)诱导的细胞内游离钙浓度降低及随后对CC细胞的生长抑制作用。因此,MGP通过富集细胞内钙浓度和激活NF-κB途径促进CC细胞的生长和增殖,它可作为CC患者潜在的预后生物标志物。

https://cdn.ncbi.nlm.nih.gov/pmc/blobs/9d48/7210384/f6f7defb42fb/fx1.jpg

文献AI研究员

20分钟写一篇综述,助力文献阅读效率提升50倍。

立即体验

用中文搜PubMed

大模型驱动的PubMed中文搜索引擎

马上搜索

文档翻译

学术文献翻译模型,支持多种主流文档格式。

立即体验