Suppr超能文献

2,4-二硝基氟苯诱导的特应性皮炎小鼠中地锦草乙酸乙酯提取物的止痒作用

Antipruritic Effect of Ethyl Acetate Extract from in Mice with 2,4-Dinitrofluorobenzene-Induced Atopic Dermatitis.

作者信息

Chen Xi, Zhu Chan, Zhang Yingge, Yang Niuniu, Shi Hao, Yang Weiwei, Yang Yan, Liang Jianqiang, Chen Liuzhi, Zeng Xueying, Cai Rijin, Wu Guanyi, Tang Zongxiang

机构信息

College of Pharmacology, Guangxi Medical University, 22 ShuangYong Road, Nanning 530200, China.

School of Medicine & Holistic Integrative Medicine, Nanjing University of Chinese Medicine, 138 XianLin Road, Nanjing 210023, China.

出版信息

Evid Based Complement Alternat Med. 2020 May 6;2020:6981386. doi: 10.1155/2020/6981386. eCollection 2020.

Abstract

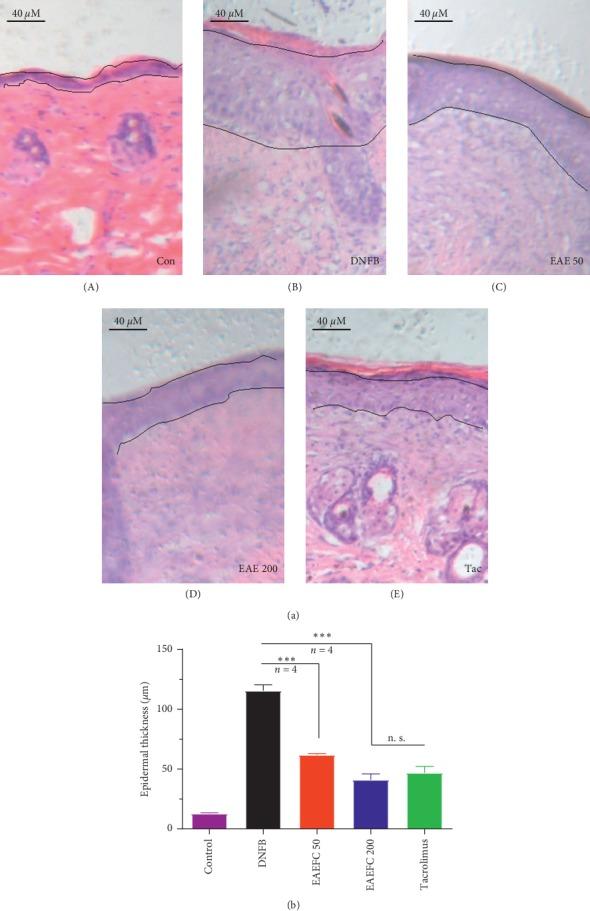
Atopic dermatitis (AD) is a common inflammatory skin disease characterized by intense pruritus and skin lesions. The exact cause of AD is not yet known and the available therapeutic strategies for AD are limited. is commonly used in traditional Chinese medicine as an herb for treating chronic itch. However, the mechanism underlying the antipruritic effects of is not well understood. In the present study, we investigated the antipruritic effect of locally administered ethyl acetate extract from (EAEFC) to 2,4-dinitrofluorobenzene- (DNFB-) induced AD in a mouse model. The scratching behavior, skin thickness, dermatitis score, weight, blood immunoglobulin E (IgE) level, and itch-related cytokine levels were subsequently monitored and evaluated. Results showed that EAEFC treatment attenuated the DNFB-induced AD-like symptoms by alleviating the skin lesions and decreasing the dermatitis score. Hematoxylin and eosin (H&E) and toluidine blue (TB) staining analyses demonstrated that EAEFC mitigated the DNFB-induced increase in skin thickness and prevented the infiltration of mast cells. Behavioral tests showed that EAEFC decreased the DNFB-induced acute and chronic scratching behaviors. Furthermore, EAEFC reduced the levels of itch-related cytokines, such as thymic stromal lymphopoietin (TSLP), interleukin- (IL-) 17, IL-33, and IL-31, and the DNFB-induced boost in serum IgE. Collectively, these results suggest that EAEFC is a potential therapeutic candidate for the treatment of chronic itch in AD.

摘要

特应性皮炎(AD)是一种常见的炎症性皮肤病,其特征为剧烈瘙痒和皮肤病变。AD的确切病因尚不清楚,且现有的AD治疗策略有限。[此处原文缺失具体草药名称]在传统中医中通常作为治疗慢性瘙痒的草药使用。然而,[此处原文缺失具体草药名称]止痒作用的潜在机制尚未完全明确。在本研究中,我们在小鼠模型中研究了局部施用[此处原文缺失具体草药名称]的乙酸乙酯提取物(EAEFC)对2,4-二硝基氟苯(DNFB)诱导的AD的止痒作用。随后监测并评估了抓挠行为、皮肤厚度、皮炎评分、体重、血液免疫球蛋白E(IgE)水平和瘙痒相关细胞因子水平。结果表明,EAEFC治疗通过减轻皮肤病变和降低皮炎评分,减轻了DNFB诱导的类AD症状。苏木精和伊红(H&E)以及甲苯胺蓝(TB)染色分析表明,EAEFC减轻了DNFB诱导的皮肤厚度增加,并阻止了肥大细胞的浸润。行为测试表明,EAEFC减少了DNFB诱导的急性和慢性抓挠行为。此外,EAEFC降低了瘙痒相关细胞因子的水平,如胸腺基质淋巴细胞生成素(TSLP)、白细胞介素(IL)-17、IL-33和IL-31,以及DNFB诱导的血清IgE升高。总体而言,这些结果表明EAEFC是治疗AD慢性瘙痒的潜在候选药物。

https://cdn.ncbi.nlm.nih.gov/pmc/blobs/07c4/7229549/d566fb923b0f/ECAM2020-6981386.001.jpg

文献AI研究员

20分钟写一篇综述,助力文献阅读效率提升50倍。

立即体验

用中文搜PubMed

大模型驱动的PubMed中文搜索引擎

马上搜索

文档翻译

学术文献翻译模型,支持多种主流文档格式。

立即体验