Suppr超能文献

钙依赖蛋白激酶3的特性,一种参与……生长的蛋白质

Characterization of Calcium-Dependent Protein Kinases 3, a Protein Involved in Growth of .

作者信息

Zhang Qiang, Guo Yaqiong, Li Na, Li Yu, Su Jiayuan, Xu Rui, Zhang Ziding, Feng Yaoyu, Xiao Lihua

机构信息

State Key Laboratory of Bioreactor Engineering, School of Resource and Environmental, East China University of Science and Technology, Shanghai, China.

Key Laboratory of Zoonosis of Ministry of Agriculture, College of Veterinary Medicine, South China Agricultural University, Guangzhou, China.

出版信息

Front Microbiol. 2020 May 8;11:907. doi: 10.3389/fmicb.2020.00907. eCollection 2020.

Abstract

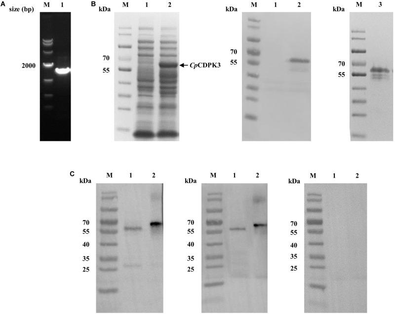
Calcium-dependent protein kinases (CDPKs) are considered promising targets for pharmaceutical intervention of cryptosporidiosis. Whole-genome sequencing has revealed the presence of several CDPKs (CDPKs) in . In this study, we expressed recombinant CDPK3 encoded by the gene in . The biologic characteristics and functions of CDPK3 were examined using qRT-PCR, immunofluorescence microscopy, and neutralization assay. The expression of the gene peaked in merozoites during culture while the CDPK3 protein was expressed in both sporozoites and merozoites. Polyclonal antibodies against CDPK3 showed no significant inhibitory effects on host invasion by the parasites. We assessed the inhibitory effects of 46 candidate compounds from molecular docking of CDPK3 on both development and CDPK3 enzyme activities. One compound was identified to be effective. Results of these analyses suggest that CDPK3 might play an important role in the growth of .

摘要

钙依赖性蛋白激酶(CDPKs)被认为是隐孢子虫病药物干预的有前景的靶点。全基因组测序已揭示了 中存在几种CDPKs(CDPKs)。在本研究中,我们在 中表达了由 基因编码的重组CDPK3。使用qRT-PCR、免疫荧光显微镜和 中和试验检测了CDPK3的生物学特性和功能。在 培养期间, 基因的表达在裂殖子中达到峰值,而CDPK3蛋白在子孢子和裂殖子中均有表达。抗CDPK3的多克隆抗体对寄生虫对宿主的侵袭没有显著抑制作用。我们评估了来自CDPK3分子对接的46种候选化合物对 发育和CDPK3酶活性的抑制作用。鉴定出一种化合物有效。这些分析结果表明CDPK3可能在 的生长中起重要作用。

https://cdn.ncbi.nlm.nih.gov/pmc/blobs/fd7f/7225609/a5141d664feb/fmicb-11-00907-g001.jpg

文献AI研究员

20分钟写一篇综述,助力文献阅读效率提升50倍。

立即体验

用中文搜PubMed

大模型驱动的PubMed中文搜索引擎

马上搜索

文档翻译

学术文献翻译模型,支持多种主流文档格式。

立即体验