Suppr超能文献

SUMO1 修饰的甲基转移酶样蛋白 3 通过调节肝细胞癌中 Snail mRNA 的动态平衡促进肿瘤进展。

SUMO1 modification of methyltransferase-like 3 promotes tumor progression via regulating Snail mRNA homeostasis in hepatocellular carcinoma.

机构信息

Zhuhai Interventional Medical Center, Zhuhai Precision Medical Center, Jinan University, Zhuhai People's Hospital, Zhuhai, Guangdong, 519000, China.

Department of urinary surgery, Jinan University, Zhuhai People's Hospital, Zhuhai, Guangdong, 519000, China.

出版信息

Theranostics. 2020 Apr 27;10(13):5671-5686. doi: 10.7150/thno.42539. eCollection 2020.

Abstract

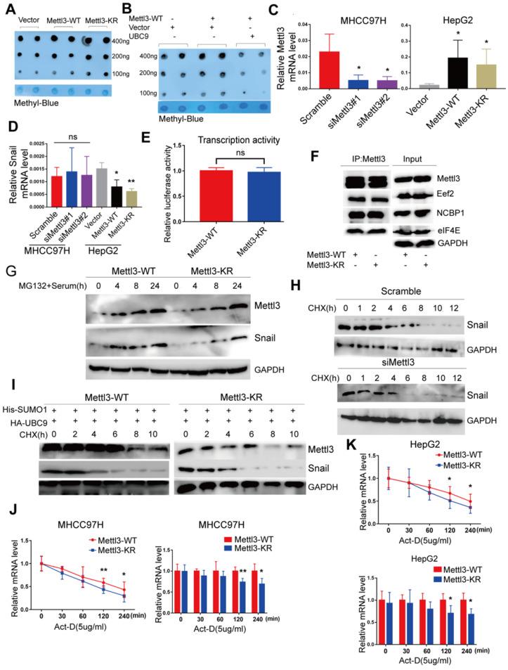
: Hepatocellular carcinoma (HCC) is one of the leading causes of mortality worldwide. Methyltransferase-like 3 (Mettl3), an RNA N6-methyladenosine (m6A) methyltransferase, has been shown to act as an oncogene in several human cancers. However, the regulatory role of posttranslational modifications of Mettl3 in liver cancer remains elusive. : SUMOylation was analyzed using immunoprecipitation and western blot assays. and biological functions were examined using MTS, colony formation, wound healing, transwell, apoptosis, and viability assays and the BALB/c nude mouse model, respectively. Immunohistochemistry was conducted to evaluate the prognostic value of Mettl3 expression in HCC. The regulatory mechanism of Mettl3 in HCC was investigated by m6A dot blot, immunofluorescence, dual luciferase reporter, protein stability, and RNA stability assays. : Mettl3 was found to be SUMOylated by a small ubiquitin-like modifier SUMO1. Further, SUMOylation of Mettl3 was increased upon mitogen stimulation, which correlated with UBC9 upregulation, and was positively correlated with high metastatic potential of liver cancer. Finally, SUMOylation of Mettl3 was found to regulate HCC progression via controlling Snail mRNA homeostasis in an m6A methyltransferase activity-dependent manner. : This study revealed a novel mechanism of SUMOylated Mettl3-mediated Snail mRNA homeostasis, identifying the UBC9/SUMOylated Mettl3/Snail axis as a novel mediator of the SUMO pathway involved in HCC progression.

摘要

: 肝细胞癌(HCC)是全球主要的死亡原因之一。甲基转移酶样 3(Mettl3)是一种 RNA N6-甲基腺苷(m6A)甲基转移酶,已被证明在几种人类癌症中作为癌基因发挥作用。然而,Mettl3 的翻译后修饰在肝癌中的调节作用仍不清楚。 : 使用免疫沉淀和 Western blot 分析检测 SUMOylation。使用 MTS、集落形成、划痕愈合、Transwell、凋亡和活力测定以及 BALB/c 裸鼠模型分别检测和生物学功能。通过免疫组织化学评估 Mettl3 表达在 HCC 中的预后价值。通过 m6A 点印迹、免疫荧光、双荧光素酶报告、蛋白质稳定性和 RNA 稳定性测定研究了 Mettl3 在 HCC 中的调节机制。 : Mettl3 被小泛素样修饰物 SUMO1 进行 SUMOylation。进一步,有丝分裂原刺激后 Mettl3 的 SUMOylation增加,这与 UBC9 的上调相关,并且与肝癌的高转移潜能呈正相关。最后,发现 SUMOylation 的 Mettl3 通过控制 Snail mRNA 动态平衡,以 m6A 甲基转移酶活性依赖性方式调节 HCC 进展。 : 这项研究揭示了 SUMOylated Mettl3 介导的 Snail mRNA 动态平衡的新机制,确定了 UBC9/SUMOylated Mettl3/Snail 轴作为涉及 HCC 进展的 SUMO 途径的新型介质。

https://cdn.ncbi.nlm.nih.gov/pmc/blobs/3490/7254988/75128de9721b/thnov10p5671g001.jpg

文献AI研究员

20分钟写一篇综述,助力文献阅读效率提升50倍。

立即体验

用中文搜PubMed

大模型驱动的PubMed中文搜索引擎

马上搜索

文档翻译

学术文献翻译模型,支持多种主流文档格式。

立即体验