Suppr超能文献

原位磷酸化揭示的核人类细胞周期蛋白依赖性激酶2底物的全新格局。

A novel landscape of nuclear human CDK2 substrates revealed by in situ phosphorylation.

作者信息

Chi Yong, Carter John H, Swanger Jherek, Mazin Alexander V, Moritz Robert L, Clurman Bruce E

机构信息

Divisions of Clinical Research and Human Biology, Fred Hutchinson Cancer Research Center, 1100 Fairview Avenue N. Seattle, WA 98109, USA.

Institute for Systems Biology, 401 Terry Avenue, N. Seattle, WA 98109, USA.

出版信息

Sci Adv. 2020 Apr 17;6(16):eaaz9899. doi: 10.1126/sciadv.aaz9899. eCollection 2020 Apr.

Abstract

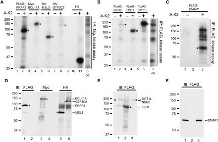
Cyclin-dependent kinase 2 (CDK2) controls cell division and is central to oncogenic signaling. We used an "in situ" approach to identify CDK2 substrates within nuclei isolated from cells expressing CDK2 engineered to use adenosine 5'-triphosphate analogs. We identified 117 candidate substrates, ~40% of which are known CDK substrates. Previously unknown candidates were validated to be CDK2 substrates, including LSD1, DOT1L, and Rad54. The identification of many chromatin-associated proteins may have been facilitated by labeling conditions that preserved nuclear architecture and physiologic CDK2 regulation by endogenous cyclins. Candidate substrates include proteins that regulate histone modifications, chromatin, transcription, and RNA/DNA metabolism. Many of these proteins also coexist in multi-protein complexes, including epigenetic regulators, that may provide new links between cell division and other cellular processes mediated by CDK2. In situ phosphorylation thus revealed candidate substrates with a high validation rate and should be readily applicable to other nuclear kinases.

摘要

细胞周期蛋白依赖性激酶2(CDK2)控制细胞分裂,是致癌信号传导的核心。我们采用“原位”方法,在从表达经工程改造以使用5'-三磷酸腺苷类似物的CDK2的细胞中分离出的细胞核内鉴定CDK2底物。我们鉴定出117个候选底物,其中约40%是已知的CDK底物。先前未知的候选物被验证为CDK2底物,包括赖氨酸特异性去甲基化酶1(LSD1)、组蛋白甲基转移酶DOT1L和DNA修复蛋白Rad54。许多与染色质相关的蛋白质的鉴定可能得益于保留核结构和内源性细胞周期蛋白对CDK2进行生理性调节的标记条件。候选底物包括调节组蛋白修饰、染色质、转录和RNA/DNA代谢的蛋白质。这些蛋白质中的许多也共存于多蛋白复合物中,包括表观遗传调节因子,这可能为细胞分裂与CDK2介导的其他细胞过程之间提供新的联系。原位磷酸化因此揭示了具有高验证率的候选底物,并且应该很容易应用于其他核激酶。

https://cdn.ncbi.nlm.nih.gov/pmc/blobs/0f3e/7164936/a1b0918c6a05/aaz9899-F1.jpg

文献AI研究员

20分钟写一篇综述,助力文献阅读效率提升50倍。

立即体验

用中文搜PubMed

大模型驱动的PubMed中文搜索引擎

马上搜索

文档翻译

学术文献翻译模型,支持多种主流文档格式。

立即体验