Suppr超能文献

抗γ-氨基丁酸B型受体脑炎的临床特征

Clinical Characteristics of Anti-GABA-B Receptor Encephalitis.

作者信息

Zhu Fei, Shan Wei, Lv Ruijuan, Li Zhimei, Wang Qun

机构信息

Department of Neurology, Beijing Tiantan Hospital, Capital Medical University, Beijing, China.

China National Clinical Research Center for Neurological Diseases, Beijing, China.

出版信息

Front Neurol. 2020 May 21;11:403. doi: 10.3389/fneur.2020.00403. eCollection 2020.

Abstract

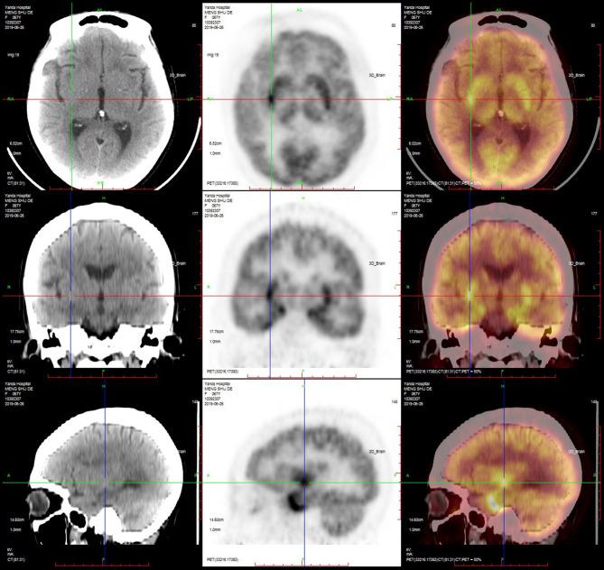
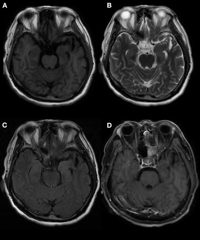
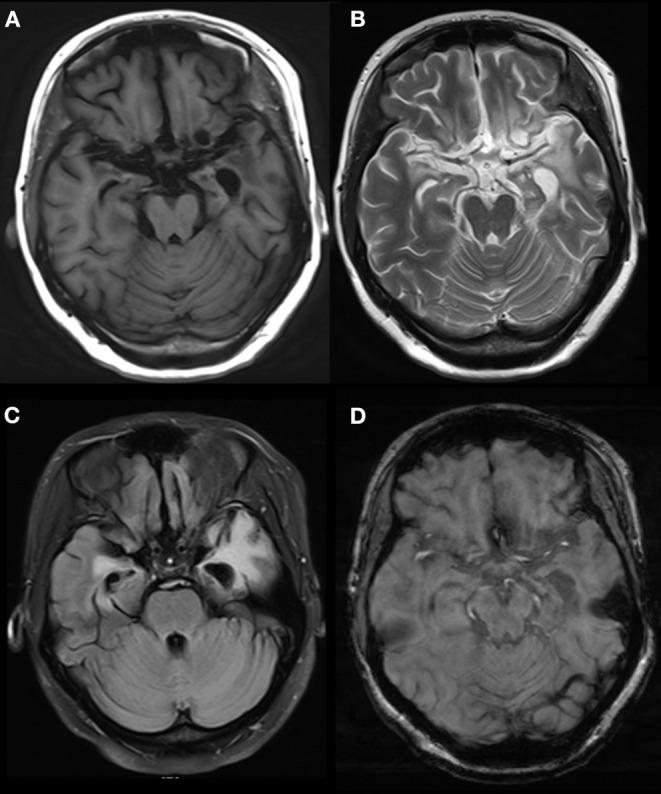
Anti-GABA-B (gamma aminobutyric acid-B) receptor encephalitis is an autoimmune disease mediated by GABA-B-related antibodies. To fully understand the disease, we collected clinical data from patients with GABA-B receptor encephalitis and conducted an analysis to draw conclusions. All patients with GABA-B receptor encephalitis from the Neurology Department of Beijing Tiantan Hospital, affiliated with Capital Medical University, from August 2015 to September 2019 were accepted as study subjects. The clinical data of the patients were analyzed retrospectively and included the general demographic characteristics, clinical manifestations, and auxiliary examinations, including laboratory results, electroencephalograms (EEGs), brain magnetic resonance imaging (MRI), and positron emission tomography (PET-CT) results, as well as treatments. From August 2015 to September 2019, 14 cases of anti-GABA-B receptor encephalitis were diagnosed. Among these patients, middle-aged and elderly men were the main demographic, with an average age of 52 years; moreover, the onset of the disease was relatively sudden, and the time from onset to diagnosis was ~1 month. The main clinical symptoms were frequent epileptic seizures, cognitive dysfunction, and mental behavioral disorders. In seven (50%) patients, the leukocyte in cerebrospinal fluid (CSF) were increased. Five (36%) patients had elevated cerebrospinal fluid protein. In most patients, the oligoclonal bands (83%) of CSF were positive, and 24 h IgG levels (92%) were increased. Anti-Hu or anti-Yo antibodies were positive in two (14%) patients. Tumor markers in 10 (71%) patients indicated that neuron-specific enolase, gastrin-releasing precursor, non-small cell lung cancer-related antigen, or carcinoembryonic antigen levels were increased. EEG results often indicated slow waves, sharp waves, or spike waves in temporal areas. Brain MRI always showed high T2 signals in the medial temporal lobe, hippocampus, and amygdala and swelling in the medial temporal lobe and hippocampus. PET-CT scans almost showed abnormal metabolism in the hippocampus and temporal lobe. Three (21%) patients who underwent systemic PET-CT showed hypermetabolism in pulmonary parenchymal nodules and enlargement of mediastinal lymph nodes. All patients underwent high-dose hormone therapy or immunoglobulin immunotherapy. After treatment, the symptoms of epilepsy, cognitive disorders, and mental behavioral disorders improved to varying degrees. However, one patient died of lung cancer. Anti-GABA-B receptor encephalitis mainly occurred in middle-aged and elderly men, and the disease onset was relatively sudden. Before disease onset, some patients experienced fever and non-specific respiratory symptoms, which mainly manifested as frequent epileptic seizures, cognitive dysfunction, and abnormal mental behavior. MRI and PET-CT revealed abnormal signals and local metabolism, respectively, in the temporal lobe. Moreover, the disease has a close relationship with lung cancer, which requires long-term follow-up observation.

摘要

抗GABA - B(γ-氨基丁酸B)受体脑炎是一种由GABA - B相关抗体介导的自身免疫性疾病。为全面了解该疾病,我们收集了GABA - B受体脑炎患者的临床资料并进行分析以得出结论。2015年8月至2019年9月首都医科大学附属北京天坛医院神经内科的所有GABA - B受体脑炎患者均被纳入研究对象。对患者的临床资料进行回顾性分析,包括一般人口统计学特征、临床表现及辅助检查,后者包括实验室检查结果、脑电图(EEG)、脑磁共振成像(MRI)、正电子发射断层扫描(PET - CT)结果以及治疗情况。2015年8月至2019年9月,共诊断出14例抗GABA - B受体脑炎患者。这些患者中,中老年男性为主,平均年龄52岁;疾病起病相对突然,从起病到诊断的时间约为1个月。主要临床症状为频繁癫痫发作、认知功能障碍及精神行为障碍。7例(50%)患者脑脊液(CSF)白细胞增多。5例(36%)患者脑脊液蛋白升高。大多数患者CSF的寡克隆带(83%)呈阳性,24小时IgG水平(92%)升高。2例(14%)患者抗Hu或抗Yo抗体呈阳性。10例(71%)患者的肿瘤标志物显示神经元特异性烯醇化酶、胃泌素释放前体、非小细胞肺癌相关抗原或癌胚抗原水平升高。EEG结果常显示颞叶有慢波、尖波或棘波。脑MRI总是显示内侧颞叶、海马和杏仁核T2信号增高以及内侧颞叶和海马肿胀。PET - CT扫描几乎均显示海马和颞叶代谢异常。3例(21%)接受全身PET - CT检查的患者显示肺实质结节代谢增高及纵隔淋巴结肿大。所有患者均接受了大剂量激素治疗或免疫球蛋白免疫治疗。治疗后,癫痫、认知障碍及精神行为障碍症状均有不同程度改善。然而,1例患者死于肺癌。抗GABA - B受体脑炎主要发生于中老年男性,起病相对突然。发病前部分患者有发热及非特异性呼吸道症状,主要表现为频繁癫痫发作、认知功能障碍及精神行为异常。MRI和PET - CT分别显示颞叶有异常信号及局部代谢异常。此外,该疾病与肺癌关系密切,需要长期随访观察。

https://cdn.ncbi.nlm.nih.gov/pmc/blobs/d187/7253677/6c995a1006ae/fneur-11-00403-g0001.jpg

文献AI研究员

20分钟写一篇综述,助力文献阅读效率提升50倍。

立即体验

用中文搜PubMed

大模型驱动的PubMed中文搜索引擎

马上搜索

文档翻译

学术文献翻译模型,支持多种主流文档格式。

立即体验