Suppr超能文献

抗 GABA-B 受体脑炎:临床和实验室特征、影像学表现、治疗和预后。

Anti-GABAB receptor encephalitis: clinical and laboratory characteristics, imaging, treatments and prognosis.

机构信息

Department of Neurology, The First Affiliated Hospital of Zhengzhou University, Zhengzhou, China.

Department of Psychiatry and Neuropsychology, School for Mental Health and Neuroscience (MHeNS), Maastricht University, Maastricht, Netherlands.

出版信息

Front Immunol. 2024 Oct 9;15:1442733. doi: 10.3389/fimmu.2024.1442733. eCollection 2024.

Abstract

INTRODUCTION

Anti-GABABR encephalitis is a rare disease reported to be often associated with tumors. The current study aims to summarize the clinical characteristics, imaging features, treatments, outcomes and explore the potential prognosis risk factors of patients with anti-GABABR encephalitis.

METHODS

Patients tested positive for anti-GABABR were retrospective studied from a single medical center in China over a period of 3 years. They were followed up for a maximum period of 18 months. Clinical data were summarized and prognostic factors including demographic characteristics, laboratory tests, and neurological functions were compared between survived and deceased patients at 18 months follow-up.

RESULTS

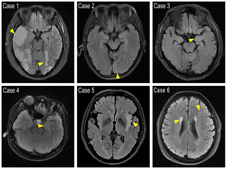
Twenty-six patients, 10 females (38.5%) and 16 males (61.5%), diagnosed with anti-GABABR encephalitis were studied. The median age was 58 years. Of the 23 cases with complete clinical data, their main manifestations were epileptic seizures (65%), mental and behavioral abnormalities (52%), and cognitive impairment (48%). 7 (30.4%) cases had tumors: 5 small cell lung cancer (SCLC), 1 rectum adenocarcinoma (moderately differentiated) and 1 esophageal squamous cell carcinoma. MRI showed 5 (22%) cases had T2 FLAIR increased signals in cortex but with different regions affected. One of the two patients scanned for PET-CT showed hypermetabolism in the left temporal lobe region. The disease course ranged from 5 days to 3 years. 2 patients (one had esophageal carcinoma) without immunotherapy and 3 patients (one had SCLC) that did not response to immunotherapy died soon after diagnosis. 18 patients improved after immunotherapy while 3 (all had SCLC) died after relapses. The prevalence of epileptic seizures and malignancies was significantly lower in the survival group than in the deceased group at 18-months follow-up, the same as the admission mRs score. Serum fibrinogen, cerebrospinal fluid immunoglobulin G quotient, and 24-hour intrathecal synthesis rate were significantly lower in the survival groups as well.

CONCLUSIONS

Cortex T2 FLAIR abnormalities were only observed in a small proportion of anti-GABABR encephalitis patients with heterogeneous MRI phenotypes. High mRS score at admission, epileptic seizures and the presence of a tumor indicated a poor prognosis, while the underlying mechanism of the later two factors should be investigated further.

摘要

简介

抗 GABABR 脑炎是一种罕见疾病,据报道常与肿瘤相关。本研究旨在总结抗 GABABR 脑炎患者的临床特征、影像学特征、治疗方法、结局,并探讨其潜在的预后危险因素。

方法

回顾性分析 3 年来中国某单一医学中心经检测抗 GABABR 抗体阳性的患者,最长随访 18 个月。总结临床资料,对 18 个月时存活与死亡患者的人口统计学特征、实验室检查和神经功能进行比较,以探讨潜在的预后危险因素。

结果

共纳入 26 例患者,女性 10 例(38.5%),男性 16 例(61.5%),中位年龄为 58 岁。23 例患者临床资料完整,主要表现为癫痫发作(65%)、精神行为异常(52%)和认知障碍(48%)。7 例(30.4%)患者存在肿瘤:小细胞肺癌 5 例(SCLC)、直肠腺癌(中分化)1 例、食管鳞状细胞癌 1 例。MRI 显示皮质 T2 FLAIR 高信号 5 例(22%),但受累部位不同。2 例行 PET-CT 检查的患者中,1 例左侧颞叶区域代谢增高。病程 5~3 年。2 例(均为食管癌)未接受免疫治疗和 3 例(均为 SCLC)免疫治疗无反应的患者诊断后不久死亡。18 例患者接受免疫治疗后病情改善,3 例(均为 SCLC)复发后死亡。18 个月时,存活组癫痫发作和恶性肿瘤的发生率显著低于死亡组,入院 mRs 评分也较低。存活组血清纤维蛋白原、脑脊液免疫球蛋白 G 指数和 24 小时鞘内合成率也较低。

结论

皮质 T2 FLAIR 异常仅见于少数抗 GABABR 脑炎患者,MRI 表现异质性。入院时 mRs 评分高、癫痫发作和存在肿瘤提示预后不良,后两者的潜在机制需进一步研究。

https://cdn.ncbi.nlm.nih.gov/pmc/blobs/00e8/11496097/ba1ef2e39841/fimmu-15-1442733-g001.jpg

文献AI研究员

20分钟写一篇综述,助力文献阅读效率提升50倍。

立即体验

用中文搜PubMed

大模型驱动的PubMed中文搜索引擎

马上搜索

文档翻译

学术文献翻译模型,支持多种主流文档格式。

立即体验