Suppr超能文献

CHK1 抑制剂 MU380 通过诱导有丝分裂灾难显著增加了人多西紫杉醇耐药前列腺癌细胞对吉西他滨的敏感性。

The CHK1 inhibitor MU380 significantly increases the sensitivity of human docetaxel-resistant prostate cancer cells to gemcitabine through the induction of mitotic catastrophe.

机构信息

Department of Cytokinetics, Institute of Biophysics of the Czech Academy of Sciences, Brno, Czech Republic.

International Clinical Research Center, Center for Biomolecular and Cellular Engineering, St. Anne's University Hospital in Brno, Czech Republic.

出版信息

Mol Oncol. 2020 Oct;14(10):2487-2503. doi: 10.1002/1878-0261.12756. Epub 2020 Jul 16.

Abstract

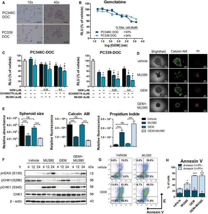
As treatment options for patients with incurable metastatic castration-resistant prostate cancer (mCRPC) are considerably limited, novel effective therapeutic options are needed. Checkpoint kinase 1 (CHK1) is a highly conserved protein kinase implicated in the DNA damage response (DDR) pathway that prevents the accumulation of DNA damage and controls regular genome duplication. CHK1 has been associated with prostate cancer (PCa) induction, progression, and lethality; hence, CHK1 inhibitors SCH900776 (also known as MK-8776) and the more effective SCH900776 analog MU380 may have clinical applications in the therapy of PCa. Synergistic induction of DNA damage with CHK1 inhibition represents a promising therapeutic approach that has been tested in many types of malignancies, but not in chemoresistant mCRPC. Here, we report that such therapeutic approach may be exploited using the synergistic action of the antimetabolite gemcitabine (GEM) and CHK1 inhibitors SCH900776 and MU380 in docetaxel-resistant (DR) mCRPC. Given the results, both CHK1 inhibitors significantly potentiated the sensitivity to GEM in a panel of chemo-naïve and matched DR PCa cell lines under 2D conditions. MU380 exhibited a stronger synergistic effect with GEM than clinical candidate SCH900776. MU380 alone or in combination with GEM significantly reduced spheroid size and increased apoptosis in all patient-derived xenograft 3D cultures, with a higher impact in DR models. Combined treatment induced premature mitosis from G1 phase resulting in the mitotic catastrophe as a prestage of apoptosis. Finally, treatment by MU380 alone, or in combination with GEM, significantly inhibited tumor growth of both PC339-DOC and PC346C-DOC xenograft models in mice. Taken together, our data suggest that metabolically robust and selective CHK1 inhibitor MU380 can bypass docetaxel resistance and improve the effectiveness of GEM in DR mCRPC models. This approach might allow for dose reduction of GEM and thereby minimize undesired toxicity and may represent a therapeutic option for patients with incurable DR mCRPC.

摘要

由于治疗无法治愈的转移性去势抵抗性前列腺癌(mCRPC)患者的选择非常有限,因此需要新的有效治疗选择。细胞周期检查点激酶 1(CHK1)是一种高度保守的蛋白激酶,参与 DNA 损伤反应(DDR)途径,可防止 DNA 损伤的积累并控制正常的基因组复制。CHK1 与前列腺癌(PCa)的诱导、进展和致死性有关;因此,CHK1 抑制剂 SCH900776(也称为 MK-8776)和更有效的 SCH900776 类似物 MU380 可能在 PCa 的治疗中有临床应用。用 CHK1 抑制协同诱导 DNA 损伤代表一种很有前途的治疗方法,已在许多类型的恶性肿瘤中进行了测试,但在化学耐药性 mCRPC 中尚未进行测试。在这里,我们报告说,这种治疗方法可以通过使用代谢物吉西他滨(GEM)和 CHK1 抑制剂 SCH900776 和 MU380 的协同作用在多西紫杉醇耐药(DR)mCRPC 中得到利用。鉴于这些结果,在二维条件下,两种 CHK1 抑制剂均显著增强了一组化疗初治和匹配的 DR PCa 细胞系对 GEM 的敏感性。MU380 与临床候选药物 SCH900776 相比,与 GEM 具有更强的协同作用。MU380 单独或与 GEM 联合使用可显著减小所有患者来源的异种移植 3D 培养物中的球体大小并增加细胞凋亡,在 DR 模型中影响更大。联合治疗导致 G1 期提前有丝分裂,导致有丝分裂灾难作为细胞凋亡的前体。最后,MU380 单独或与 GEM 联合治疗可显著抑制 PC339-DOC 和 PC346C-DOC 异种移植模型在小鼠中的肿瘤生长。总之,我们的数据表明,代谢稳健且选择性 CHK1 抑制剂 MU380 可以绕过多西紫杉醇耐药性,并提高 DR mCRPC 模型中 GEM 的有效性。这种方法可以减少 GEM 的剂量,从而最大程度地减少不良毒性,并且可能是无法治愈的 DR mCRPC 患者的一种治疗选择。

https://cdn.ncbi.nlm.nih.gov/pmc/blobs/8d05/7530791/99e1652ddf29/MOL2-14-2487-g001.jpg

文献AI研究员

20分钟写一篇综述,助力文献阅读效率提升50倍。

立即体验

用中文搜PubMed

大模型驱动的PubMed中文搜索引擎

马上搜索

文档翻译

学术文献翻译模型,支持多种主流文档格式。

立即体验