Suppr超能文献

角膜移植术后副蛋白血症性结晶性角膜病变复发:1例具有眼部意义的单克隆丙种球蛋白病

Recurrence of paraproteinemic crystalline keratopathy after corneal transplantation: A case of monoclonal gammopathy of ocular significance.

作者信息

Nobacht Siamak, Kusters Benno, Breukink Myrte B, Rongen Gerard A, Cruysberg Johannes R M

机构信息

Department of Ophthalmology, Radboud University Medical Center, Nijmegen, the Netherlands.

Department of Pathology, Radboud University Medical Center, Nijmegen, the Netherlands.

出版信息

Am J Ophthalmol Case Rep. 2020 Jul 2;19:100803. doi: 10.1016/j.ajoc.2020.100803. eCollection 2020 Sep.

Abstract

PURPOSE

To report the long-term follow-up (12 years) of a 36-year-old male patient with crystalline keratopathy of both eyes, diagnosed with monoclonal gammopathy of undetermined significance (MGUS). Complete ophthalmic, systemic, and corneal immunohistochemical evaluations were performed.

OBSERVATIONS

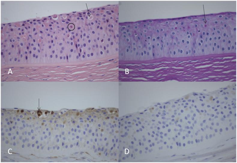
Slit-lamp examination revealed bilateral fine iridescent confluent crystalline deposits in all layers of the cornea, both peripherally and centrally. Systemic evaluation revealed abnormal M protein, IgG-kappa type, in blood and urine. Bone marrow aspiration showed a monoclonal plasma cell concentration of 2%. Consequently, the patient was diagnosed with MGUS. Because of progressive bilateral visual loss in the following 10 years, a perforating keratoplasty was performed on the left eye. Immunohistochemical analysis of the native cornea (the corneal button) revealed depositions of the same M protein type as detected in plasma and urine. Electron microscopy showed rhomboid-shaped corneal deposits of various sizes up to 4 μm. Recurrence of crystalline keratopathy was observed 9 months after keratoplasty. The monoclonal protein remained stable and the MGUS did not progress to multiple myeloma nor a related disorder.

CONCLUSIONS AND IMPORTANCE

Crystalline keratopathy may be associated with MGUS in otherwise healthy individuals. If the keratopathy causes binocular visual loss, a corneal transplantation may be required. Unfortunately, recurrence of crystalline deposits in the corneal graft may occur within one year. This suggests that patients with vision impairment due to paraproteinemic keratopathy who are diagnosed as MGUS, in fact, have a monoclonal gammopathy of ocular significance (MGOS).

摘要

目的

报告一名36岁双眼结晶性角膜病变男性患者的长期随访情况(12年),该患者被诊断为意义未明的单克隆丙种球蛋白病(MGUS)。进行了全面的眼科、全身及角膜免疫组织化学评估。

观察结果

裂隙灯检查发现角膜各层均有双侧细小的彩虹样融合结晶沉积物,周边及中央均有。全身评估显示血液和尿液中存在异常M蛋白,IgG-κ型。骨髓穿刺显示单克隆浆细胞浓度为2%。因此,该患者被诊断为MGUS。由于在接下来的10年中双眼视力逐渐丧失,对左眼进行了穿透性角膜移植术。对原角膜(角膜植片)的免疫组织化学分析显示,沉积物的M蛋白类型与血浆和尿液中检测到的相同。电子显微镜显示角膜沉积物为菱形,大小不一,最大可达4μm。角膜移植术后9个月观察到结晶性角膜病变复发。单克隆蛋白保持稳定,MGUS未进展为多发性骨髓瘤或相关疾病。

结论及重要性

在其他方面健康的个体中,结晶性角膜病变可能与MGUS有关。如果角膜病变导致双眼视力丧失,可能需要进行角膜移植。不幸的是,角膜移植片内可能在一年内出现结晶沉积物复发。这表明,因副蛋白血症性角膜病变导致视力损害且被诊断为MGUS的患者,实际上患有具有眼部意义的单克隆丙种球蛋白病(MGOS)。

https://cdn.ncbi.nlm.nih.gov/pmc/blobs/5910/7350135/fa8555fc57d2/gr1.jpg

文献AI研究员

20分钟写一篇综述,助力文献阅读效率提升50倍。

立即体验

用中文搜PubMed

大模型驱动的PubMed中文搜索引擎

马上搜索

文档翻译

学术文献翻译模型,支持多种主流文档格式。

立即体验