Suppr超能文献

NCAPG 通过激活 HER2 阳性乳腺癌中的 SRC/STAT3 信号通路赋予曲妥珠单抗耐药性。

NCAPG confers trastuzumab resistance via activating SRC/STAT3 signaling pathway in HER2-positive breast cancer.

机构信息

Affiliated Cancer Hospital & Institute of Guangzhou Medical University, 510095, Guangzhou, China.

Guangzhou Municipal and Guangdong Provincial Key Laboratory of Protein Modification and Degradation, School of Basic Medical Science, Guangzhou Medical University, 511436, Guangzhou, China.

出版信息

Cell Death Dis. 2020 Jul 18;11(7):547. doi: 10.1038/s41419-020-02753-x.

Abstract

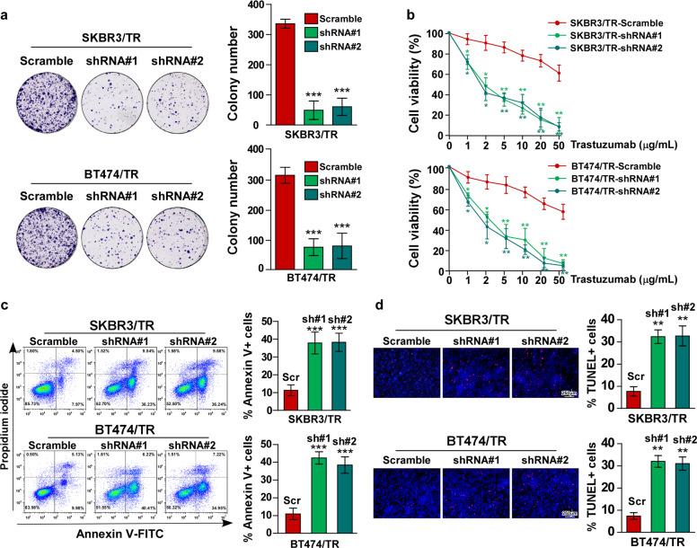
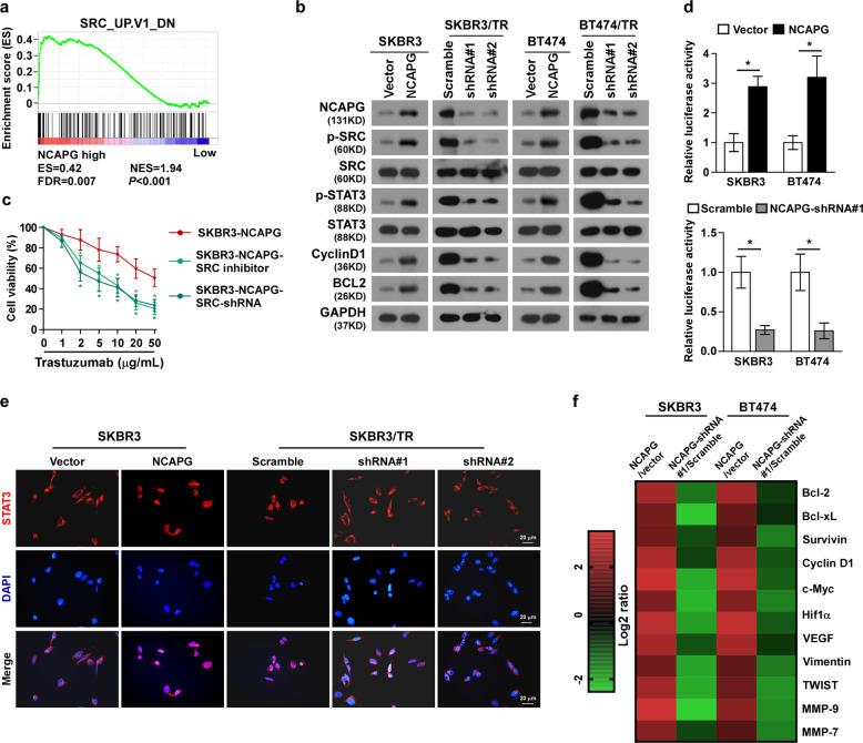
HER2+ breast cancer (BC) is characterized by rapid growth, early recurrence, early metastasis, and chemoresistance. Trastuzumab is the most effective treatment for HER2+ BC and effectively reduces the risk of recurrence and death of patients. Resistance to trastuzumab results in cancer recurrence and metastasis, leading to poor prognosis of HER2+ BC. In the present study, we found that non-structural maintenance of chromosome condensin 1 complex subunit G (NCAPG) expression was highly upregulated in trastuzumab-resistant HER2+ BC. Ectopic NCAPG was positively correlated with tumor relapse and shorter survival in HER2+ BC patients. Moreover, overexpression of NCAPG promoted, while silencing of NCAPG reduced, the proliferative and anti-apoptotic capacity of HER2+ BC cells both in vitro and in vivo, indicating NCAPG reduces the sensitivity of HER2+ BC cells to trastuzumab and may confer trastuzumab resistance. Furthermore, our results suggest that NCAPG triggers a series of biological cascades by phosphorylating SRC and enhancing nuclear localization and activation of STAT3. To summarize, our study explores a crucial role for NCAPG in trastuzumab resistance and its underlying mechanisms in HER2+ BC, and suggests that NCAPG could be both a potential prognostic marker as well as a therapeutic target to effectively overcome trastuzumab resistance.

摘要

HER2+ 乳腺癌(BC)的特征是生长迅速、早期复发、早期转移和化疗耐药。曲妥珠单抗是治疗 HER2+ BC 最有效的药物,可有效降低患者复发和死亡的风险。曲妥珠单抗耐药导致癌症复发和转移,导致 HER2+ BC 的预后不良。在本研究中,我们发现非结构维持染色体凝聚素 1 复合物亚基 G(NCAPG)在曲妥珠单抗耐药的 HER2+ BC 中表达高度上调。异位 NCAPG 与 HER2+ BC 患者的肿瘤复发和生存时间缩短呈正相关。此外,NCAPG 的过表达促进了 HER2+ BC 细胞的增殖和抗凋亡能力,而 NCAPG 的沉默则降低了其增殖和抗凋亡能力,无论是在体外还是体内,这表明 NCAPG 降低了 HER2+ BC 细胞对曲妥珠单抗的敏感性,并可能导致曲妥珠单抗耐药。此外,我们的结果表明,NCAPG 通过磷酸化 SRC 并增强 STAT3 的核定位和激活来触发一系列生物学级联反应。总之,本研究探讨了 NCAPG 在 HER2+ BC 中曲妥珠单抗耐药及其潜在机制中的关键作用,并表明 NCAPG 既可以作为潜在的预后标志物,也可以作为治疗靶点,有效克服曲妥珠单抗耐药。

https://cdn.ncbi.nlm.nih.gov/pmc/blobs/0748/7368860/9138b863aa4f/41419_2020_2753_Fig1_HTML.jpg

文献AI研究员

20分钟写一篇综述,助力文献阅读效率提升50倍。

立即体验

用中文搜PubMed

大模型驱动的PubMed中文搜索引擎

马上搜索

文档翻译

学术文献翻译模型,支持多种主流文档格式。

立即体验