Suppr超能文献

IL1β-IL1R 信号通路参与了低氧在乳腺癌细胞和癌相关成纤维细胞(CAFs)中触发的刺激作用。

The IL1β-IL1R signaling is involved in the stimulatory effects triggered by hypoxia in breast cancer cells and cancer-associated fibroblasts (CAFs).

机构信息

Department of Pharmacy, Health and Nutritional Sciences, University of Calabria, 87036, Rende, Italy.

Department of Physics, University of Calabria, 87036, Rende, Italy.

出版信息

J Exp Clin Cancer Res. 2020 Aug 10;39(1):153. doi: 10.1186/s13046-020-01667-y.

Abstract

BACKGROUND

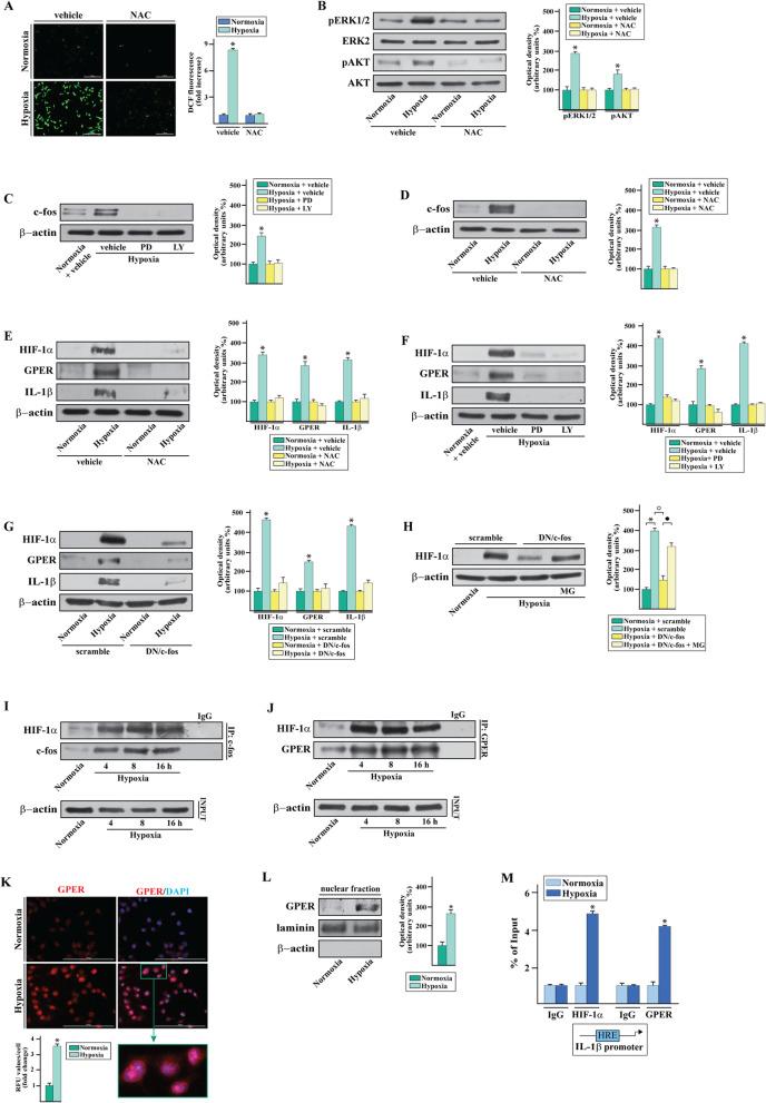
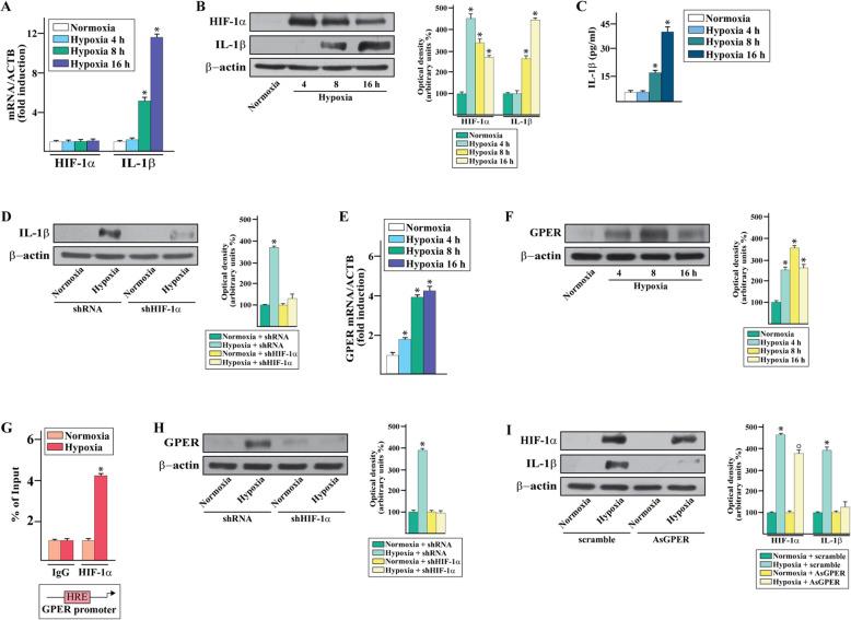
Hypoxia plays a relevant role in tumor-related inflammation toward the metastatic spread and cancer aggressiveness. The pro-inflammatory cytokine interleukin-1β (IL-β) and its cognate receptor IL1R1 contribute to the initiation and progression of breast cancer determining pro-tumorigenic inflammatory responses. The transcriptional target of the hypoxia inducible factor-1α (HIF-1α) namely the G protein estrogen receptor (GPER) mediates a feedforward loop coupling IL-1β induction by breast cancer-associated fibroblasts (CAFs) to IL1R1 expression by breast cancer cells toward the regulation of target genes and relevant biological responses.

METHODS

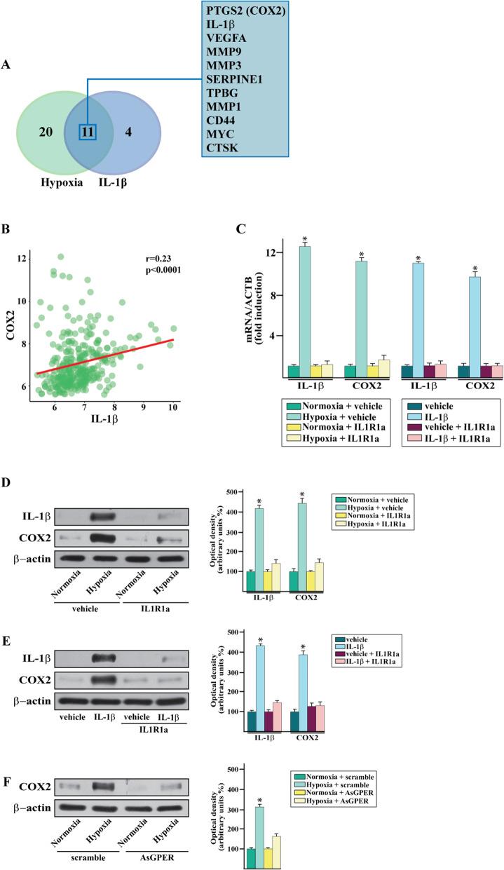
In order to ascertain the correlation of IL-β with HIF-1α and further hypoxia-related genes in triple-negative breast cancer (TNBC) patients, a bioinformatics analysis was performed using the information provided by The Invasive Breast Cancer Cohort of The Cancer Genome Atlas (TCGA) project and Molecular Taxonomy of Breast Cancer International Consortium (METABRIC) datasets. Gene expression correlation, statistical analysis and gene set enrichment analysis (GSEA) were carried out with R studio packages. Pathway enrichment analysis was evaluated with Kyoto Encyclopedia of Genes and Genomes (KEGG) pathway. TNBC cells and primary CAFs were used as model system. The molecular mechanisms implicated in the regulation of IL-1β by hypoxia toward a metastatic gene expression profile and invasive properties were assessed performing gene and protein expression studies, PCR arrays, gene silencing and immunofluorescence analysis, co-immunoprecipitation and ChiP assays, ELISA, cell spreading, invasion and spheroid formation.

RESULTS

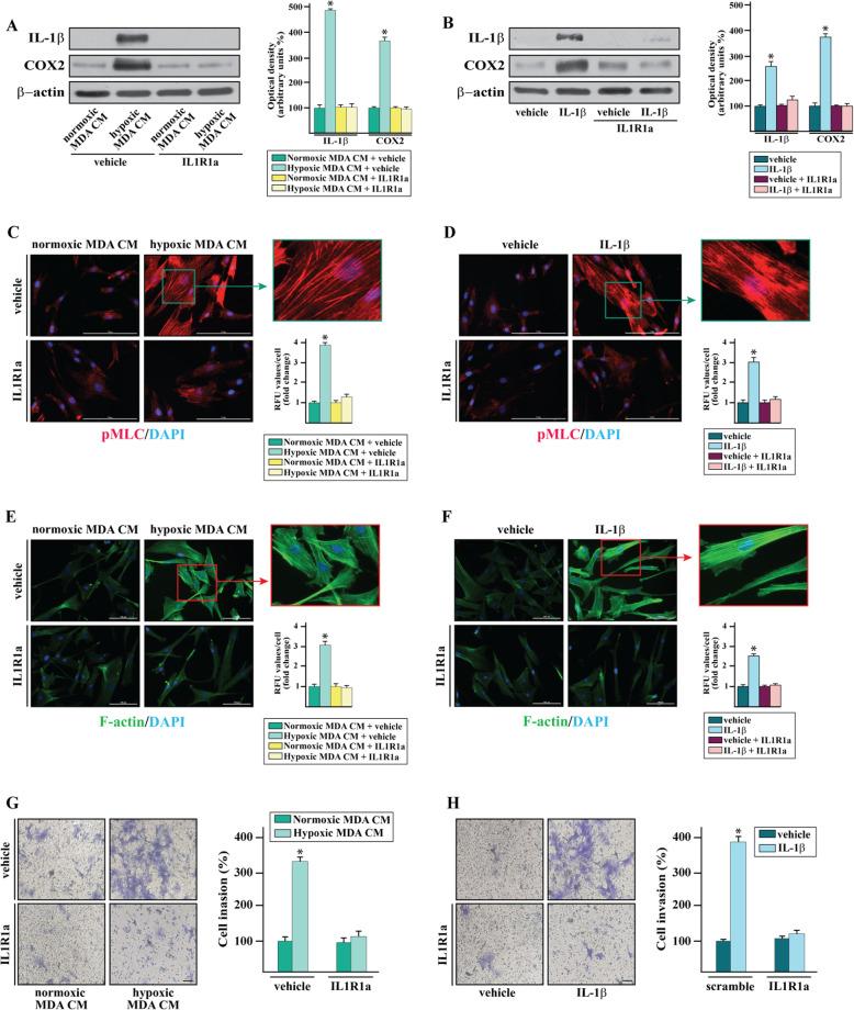
We first determined that IL-1β expression correlates with the levels of HIF-1α as well as with a hypoxia-related gene signature in TNBC patients. Next, we demonstrated that hypoxia triggers a functional liaison among HIF-1α, GPER and the IL-1β/IL1R1 signaling toward a metastatic gene signature and a feed-forward loop of IL-1β that leads to proliferative and invasive responses in TNBC cells. Furthermore, we found that the IL-1β released in the conditioned medium of TNBC cells exposed to hypoxic conditions promotes an invasive phenotype of CAFs.

CONCLUSIONS

Our data shed new light on the role of hypoxia in the activation of the IL-1β/IL1R1 signaling, which in turn triggers aggressive features in both TNBC cells and CAFs. Hence, our findings provide novel evidence regarding the mechanisms through which the hypoxic tumor microenvironment may contribute to breast cancer progression and suggest further targets useful in more comprehensive therapeutic strategies.

摘要

背景

缺氧在肿瘤相关炎症向转移和癌症侵袭性的扩散中起着重要作用。促炎细胞因子白细胞介素-1β(IL-1β)及其同源受体 IL1R1 有助于启动和促进乳腺癌的发展,决定了促肿瘤炎症反应。缺氧诱导因子-1α(HIF-1α)的转录靶标即 G 蛋白雌激素受体(GPER)介导了乳腺癌相关成纤维细胞(CAFs)诱导 IL-1β的正向反馈环与乳腺癌细胞中 IL1R1 表达的偶联,从而调节靶基因和相关的生物学反应。

方法

为了确定 IL-1β与 HIF-1α和三阴性乳腺癌(TNBC)患者中进一步与缺氧相关的基因之间的相关性,我们使用癌症基因组图谱(TCGA)项目和乳腺癌国际联合会(METABRIC)数据集提供的信息进行了生物信息学分析。使用 R 工作室软件包进行基因表达相关性、统计分析和基因集富集分析(GSEA)。使用京都基因与基因组百科全书(KEGG)途径进行途径富集分析。使用 TNBC 细胞和原代 CAFs 作为模型系统。通过基因和蛋白质表达研究、PCR 阵列、基因沉默和免疫荧光分析、共免疫沉淀和 ChiP 测定、ELISA、细胞扩散、侵袭和球体形成来评估参与缺氧调节 IL-1β的分子机制。

结果

我们首先确定,IL-1β的表达与 TNBC 患者的 HIF-1α水平以及与缺氧相关基因特征相关。接下来,我们证明了缺氧在 HIF-1α、GPER 和 IL-1β/IL1R1 信号之间引发了一种功能性联系,导致了 TNBC 细胞的转移基因特征和 IL-1β的正反馈环,从而导致 TNBC 细胞的增殖和侵袭反应。此外,我们发现,暴露于缺氧条件下的 TNBC 细胞释放的 IL-1β 在条件培养基中促进 CAFs 的侵袭表型。

结论

我们的数据揭示了缺氧在激活 IL-1β/IL1R1 信号中的作用,进而触发 TNBC 细胞和 CAFs 中的侵袭特征。因此,我们的发现提供了关于缺氧肿瘤微环境如何有助于乳腺癌进展的机制的新证据,并提出了进一步有助于更全面治疗策略的有用靶点。

https://cdn.ncbi.nlm.nih.gov/pmc/blobs/f6b3/7418191/08989286229e/13046_2020_1667_Fig1_HTML.jpg

文献AI研究员

20分钟写一篇综述,助力文献阅读效率提升50倍。

立即体验

用中文搜PubMed

大模型驱动的PubMed中文搜索引擎

马上搜索

文档翻译

学术文献翻译模型,支持多种主流文档格式。

立即体验