Suppr超能文献

HNF1B、EZH2 和 ECI2 在前列腺癌中的表达。分子、免疫组化和临床病理研究。

HNF1B, EZH2 and ECI2 in prostate carcinoma. Molecular, immunohistochemical and clinico-pathological study.

机构信息

Institute of Pathology, First Faculty of Medicine, Charles University and General University Hospital in Prague, Studničkova 2, 12800, Prague 2, Czech Republic.

Institute of Pathology, First Faculty of Medicine, Charles University, Prague 2, Czech Republic.

出版信息

Sci Rep. 2020 Sep 1;10(1):14365. doi: 10.1038/s41598-020-71427-7.

Abstract

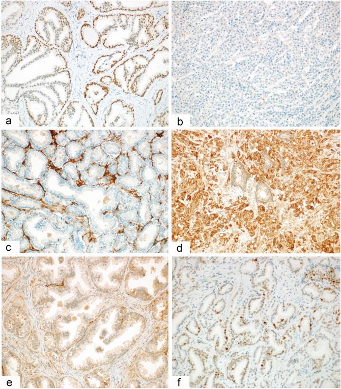
Hepatocyte nuclear factor 1 beta (HNF1B) is a tissue specific transcription factor, which seems to play an important role in the carcinogenesis of several tumors. In our study we focused on analyzing HNF1B in prostate carcinoma (PC) and adenomyomatous hyperplasia (AH), as well as its possible relation to the upstream gene EZH2 and downstream gene ECI2. The results of our study showed that on an immunohistochemical level, the expression of HNF1B was low in PC, did not differ between PC and AH, and did not correlate with any clinical outcomes. In PC, mutations of HNF1B gene were rare, but the methylation of its promotor was a common finding and was positively correlated with Gleason score and stage. The relationship between HNF1B and EZH2/ECI2 was equivocal, but EZH2 and ECI2 were positively correlated on both mRNA and protein level. The expression of EZH2 was associated with poor prognosis. ECI2 did not correlate with any clinical outcomes. Our results support the oncosuppressive role of HNF1B in PC, which may be silenced by promotor methylation and other mechanisms, but not by gene mutation. The high expression of EZH2 (especially) and ECI2 in PC seems to be a potential therapeutic target.

摘要

肝细胞核因子 1β(HNF1B)是一种组织特异性转录因子,似乎在多种肿瘤的发生中发挥重要作用。在我们的研究中,我们专注于分析前列腺癌(PC)和腺肌病增生(AH)中的 HNF1B 及其与上游基因 EZH2 和下游基因 ECI2 的可能关系。我们的研究结果表明,在免疫组织化学水平上,HNF1B 在 PC 中的表达较低,在 PC 和 AH 之间没有差异,并且与任何临床结果均无相关性。在 PC 中,HNF1B 基因突变罕见,但启动子的甲基化是一种常见发现,与 Gleason 评分和分期呈正相关。HNF1B 与 EZH2/ECI2 之间的关系尚不清楚,但 EZH2 和 ECI2 在 mRNA 和蛋白水平上均呈正相关。EZH2 的表达与预后不良相关。ECI2 与任何临床结果均无相关性。我们的研究结果支持 HNF1B 在 PC 中的抑癌作用,其可能因启动子甲基化和其他机制而沉默,但不是基因突变。PC 中 EZH2(尤其是)和 ECI2 的高表达似乎是一个潜在的治疗靶点。

https://cdn.ncbi.nlm.nih.gov/pmc/blobs/d7f7/7463257/5a054f6d6571/41598_2020_71427_Fig1_HTML.jpg

文献AI研究员

20分钟写一篇综述,助力文献阅读效率提升50倍。

立即体验

用中文搜PubMed

大模型驱动的PubMed中文搜索引擎

马上搜索

文档翻译

学术文献翻译模型,支持多种主流文档格式。

立即体验