Suppr超能文献

壶腹周围腺癌胰十二指肠切除术后长期生存的预后因素。一项回顾性队列研究。

Prognostic factors for long-term survival after pancreaticoduodenectomy for periampullary adenocarcinoma. A retrospective cohort study.

作者信息

Zakaria Hazem, Sallam Ahmed N, Ayoub Islam I, Gad Emad H, Taha Mohammad, Roshdy Michael R, Sweed Dina, Gaballa Nahla K, Yassein Taha

机构信息

Department of Hepatopancreatobiliary and Liver Transplant Surgery, National Liver Institute, Menoufia University, Egypt.

Department of General Surgery, Faculty of Medicine, Minia University, Egypt.

出版信息

Ann Med Surg (Lond). 2020 Aug 11;57:321-327. doi: 10.1016/j.amsu.2020.07.059. eCollection 2020 Sep.

Abstract

BACKGROUND

Periampullary adenocarcinoma (PAAC) had a poor prognosis, and pancreaticoduodenectomy (PD) remains the only potentially curative treatment. The study aimed to identify the impact of different clinicopathological factors on long-term survival following PD for PAAC.

PATIENTS AND METHODS

This study is a retrospective cohort study for the patients who underwent PD for pathologically proven PAAC from January 2010 to January 2019. Statistical analysis was done using Cox regression multivariate analyses for independent risk factors for survival.

RESULT

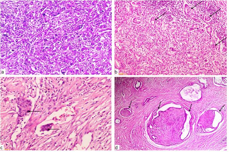
There were 137 patients with PAAC who underwent PD, 79 patients (57.7%) underwent pylorus-preserving PD. Pancreatico-jejunostomy was done in 108 patients (78.8%). The primary analysis showed that risk factors for poor long-term survival include patients with co-morbidities like hypertension or ischemic heart disease, Carbohydrate Antigen 19-9 > 400U/ml, tumor size > 3 cm, poor tumor differentiation, positive lymph nodes invasion, lymphovascular invasion, and Perineural invasion. Multivariate analysis demonstrated that large tumor size > 3 cm (HR: 0.177, 95%CI: 0.084-0.374, P = 0.002), poorly differentiated tumor (HR: 0.059, 95%CI: 0.020-0.0174, P = 0.016), and perineural invasion in the pathological study (HR: 0.101, 95%CI: 0.046-0.224, P = 0.006) were independent risk factors for poor 5-years survival. The prognosis was better in ampullary adenocarcinoma (5-year survival was 42.1%) than pancreatic adenocarcinoma (5-year survival was 24.3%). The 1, 3, 5 and 7-year overall survival rates were 84.5%, 57.4%, 35.9% and 20.1% respectively.

CONCLUSION

It seems from the current study that Tumor size > 3 cm, poor tumor differentiation, and Perineural invasion were independent predictors of poor survival in patients with PAAC.

摘要

背景

壶腹周围腺癌(PAAC)预后较差,胰十二指肠切除术(PD)仍是唯一可能治愈的治疗方法。本研究旨在确定不同临床病理因素对PAAC患者PD术后长期生存的影响。

患者与方法

本研究是一项回顾性队列研究,研究对象为2010年1月至2019年1月间因病理证实为PAAC而接受PD手术的患者。采用Cox回归多变量分析生存的独立危险因素进行统计分析。

结果

137例PAAC患者接受了PD手术,79例(57.7%)接受了保留幽门的PD手术。108例(78.8%)患者进行了胰空肠吻合术。初步分析显示,长期生存不良的危险因素包括患有高血压或缺血性心脏病等合并症的患者、糖类抗原19-9>400U/ml、肿瘤大小>3cm、肿瘤分化差、淋巴结转移阳性、淋巴管浸润和神经周围浸润。多变量分析表明,肿瘤大小>3cm(HR:0.177,95%CI:0.084-0.374,P=0.002)、肿瘤分化差(HR:0.059,95%CI:0.020-0.0174,P=0.016)以及病理研究中的神经周围浸润(HR:0.101,95%CI:0.046-0.224,P=0.006)是5年生存率低的独立危险因素。壶腹腺癌的预后(5年生存率为42.1%)优于胰腺腺癌(5年生存率为24.3%)。1年、3年、5年和7年总生存率分别为84.5%、57.4%、35.9%和20.1%。

结论

从目前的研究来看,肿瘤大小>3cm、肿瘤分化差和神经周围浸润是PAAC患者生存不良的独立预测因素。

https://cdn.ncbi.nlm.nih.gov/pmc/blobs/f0d0/7452109/8588b066dbaa/gr1.jpg

文献AI研究员

20分钟写一篇综述,助力文献阅读效率提升50倍。

立即体验

用中文搜PubMed

大模型驱动的PubMed中文搜索引擎

马上搜索

文档翻译

学术文献翻译模型,支持多种主流文档格式。

立即体验