Suppr超能文献

主动脉内膜驻留巨噬细胞的增殖能力有限,需要单核细胞募集来促进动脉粥样硬化斑块的进展。

Limited proliferation capacity of aortic intima resident macrophages requires monocyte recruitment for atherosclerotic plaque progression.

机构信息

Department of Integrative Biology and Physiology, University of Minnesota Medical School, Minneapolis, MN, USA.

Center for Immunology, University of Minnesota Medical School, Minneapolis, MN, USA.

出版信息

Nat Immunol. 2020 Oct;21(10):1194-1204. doi: 10.1038/s41590-020-0768-4. Epub 2020 Sep 7.

Abstract

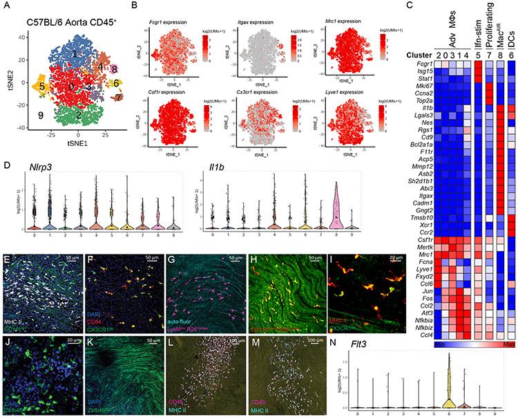
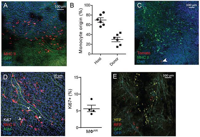
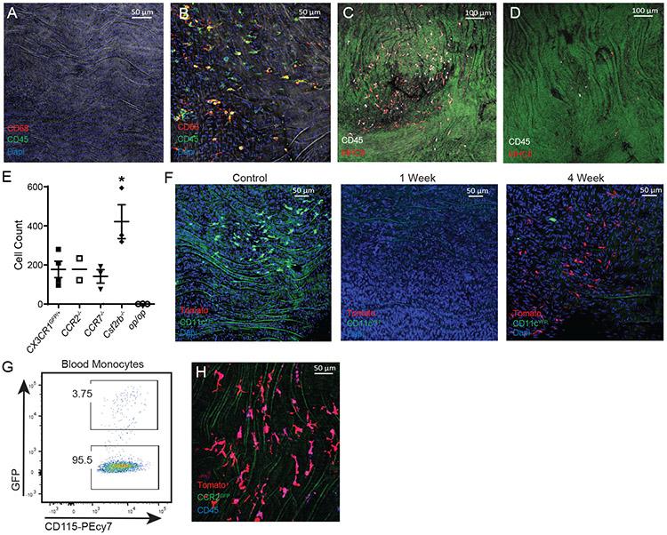
Early atherosclerosis depends upon responses by immune cells resident in the intimal aortic wall. Specifically, the healthy intima is thought to be populated by vascular dendritic cells (DCs) that, during hypercholesterolemia, initiate atherosclerosis by being the first to accumulate cholesterol. Whether these cells remain key players in later stages of disease is unknown. Using murine lineage-tracing models and gene expression profiling, we reveal that myeloid cells present in the intima of the aortic arch are not DCs but instead specialized aortic intima resident macrophages (Mac) that depend upon colony-stimulating factor 1 and are sustained by local proliferation. Although Mac comprise the earliest foam cells in plaques, their proliferation during plaque progression is limited. After months of hypercholesterolemia, their presence in plaques is overtaken by recruited monocytes, which induce Mac-defining genes. These data redefine the lineage of intimal phagocytes and suggest that proliferation is insufficient to sustain generations of macrophages during plaque progression.

摘要

早期动脉粥样硬化取决于驻留在主动脉内膜壁的免疫细胞的反应。具体而言,健康的内膜被认为是由血管树突状细胞(DC)组成的,在高胆固醇血症期间,这些细胞首先积累胆固醇,从而引发动脉粥样硬化。这些细胞是否仍然是疾病后期的关键参与者尚不清楚。使用鼠系谱追踪模型和基因表达谱分析,我们揭示了存在于主动脉弓内膜中的髓样细胞不是 DC,而是专门的主动脉内膜驻留巨噬细胞(Mac),它们依赖于集落刺激因子 1 并通过局部增殖得以维持。尽管 Mac 构成了斑块中最早的泡沫细胞,但它们在斑块进展过程中的增殖是有限的。在高胆固醇血症数月后,募集的单核细胞在斑块中占据优势,诱导 Mac 定义基因。这些数据重新定义了内膜吞噬细胞的谱系,并表明在斑块进展过程中,增殖不足以维持巨噬细胞的多代。

https://cdn.ncbi.nlm.nih.gov/pmc/blobs/c23b/7502558/3983d83a0472/nihms-1615042-f0008.jpg

文献AI研究员

20分钟写一篇综述,助力文献阅读效率提升50倍。

立即体验

用中文搜PubMed

大模型驱动的PubMed中文搜索引擎

马上搜索

文档翻译

学术文献翻译模型,支持多种主流文档格式。

立即体验