Suppr超能文献

微工程化3D肺间质模拟物突出了基质降解在肌成纤维细胞分化中的关键作用。

Microengineered 3D pulmonary interstitial mimetics highlight a critical role for matrix degradation in myofibroblast differentiation.

作者信息

Matera Daniel L, DiLillo Katarina M, Smith Makenzee R, Davidson Christopher D, Parikh Ritika, Said Mohammed, Wilke Carole A, Lombaert Isabelle M, Arnold Kelly B, Moore Bethany B, Baker Brendon M

机构信息

Department of Chemical Engineering, University of Michigan, Ann Arbor, MI 48109, USA.

Department of Biomedical Engineering, University of Michigan, Ann Arbor, MI 48109, USA.

出版信息

Sci Adv. 2020 Sep 9;6(37). doi: 10.1126/sciadv.abb5069. Print 2020 Sep.

Abstract

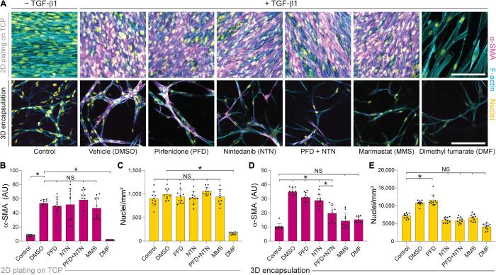
Fibrosis, characterized by aberrant tissue scarring from activated myofibroblasts, is often untreatable. Although the extracellular matrix becomes increasingly stiff and fibrous during disease progression, how these physical cues affect myofibroblast differentiation in 3D is poorly understood. Here, we describe a multicomponent hydrogel that recapitulates the 3D fibrous structure of interstitial tissue regions where idiopathic pulmonary fibrosis (IPF) initiates. In contrast to findings on 2D hydrogels, myofibroblast differentiation in 3D was inversely correlated with hydrogel stiffness but positively correlated with matrix fibers. Using a multistep bioinformatics analysis of IPF patient transcriptomes and in vitro pharmacologic screening, we identify matrix metalloproteinase activity to be essential for 3D but not 2D myofibroblast differentiation. Given our observation that compliant degradable 3D matrices amply support fibrogenesis, these studies demonstrate a departure from the established relationship between stiffness and myofibroblast differentiation in 2D, and provide a new 3D model for studying fibrosis and identifying antifibrotic therapeutics.

摘要

纤维化以活化的肌成纤维细胞异常组织瘢痕形成为特征,通常难以治疗。尽管在疾病进展过程中细胞外基质变得越来越硬且呈纤维状,但人们对这些物理线索如何在三维空间中影响肌成纤维细胞分化知之甚少。在这里,我们描述了一种多组分水凝胶,它概括了特发性肺纤维化(IPF)起始的间质组织区域的三维纤维结构。与二维水凝胶的研究结果相反,三维空间中肌成纤维细胞的分化与水凝胶硬度呈负相关,但与基质纤维呈正相关。通过对IPF患者转录组进行多步骤生物信息学分析和体外药理筛选,我们确定基质金属蛋白酶活性对于三维而非二维肌成纤维细胞分化至关重要。鉴于我们观察到顺应性可降解的三维基质充分支持纤维化形成,这些研究表明与二维空间中硬度和肌成纤维细胞分化之间已确立的关系有所不同,并为研究纤维化和确定抗纤维化疗法提供了一个新的三维模型。

https://cdn.ncbi.nlm.nih.gov/pmc/blobs/da2a/11206459/1493068a7a0f/abb5069-f1.jpg

文献AI研究员

20分钟写一篇综述,助力文献阅读效率提升50倍。

立即体验

用中文搜PubMed

大模型驱动的PubMed中文搜索引擎

马上搜索

文档翻译

学术文献翻译模型,支持多种主流文档格式。

立即体验