Suppr超能文献

SHP2 通过调节细胞周期蛋白 D1 的稳定性来促进乳腺癌细胞的增殖,该过程涉及到 PI3K/AKT/GSK3β 信号通路。

SHP2 promotes proliferation of breast cancer cells through regulating Cyclin D1 stability the PI3K/AKT/GSK3β signaling pathway.

机构信息

Department of Public Laboratory, Tianjin Medical University Cancer Institute and Hospital, National Clinical Research Center for Cancer, Tianjin 300060, China; Key Laboratory of Cancer Prevention and Therapy of Tianjin, Tianjin's Clinical Research Center for Cancer, Tianjin 300060, China; Key Laboratory of Breast Cancer Prevention and Therapy, Tianjin Medical University, Ministry of Education, Tianjin 300060, China.

出版信息

Cancer Biol Med. 2020 Aug 15;17(3):707-725. doi: 10.20892/j.issn.2095-3941.2020.0056.

Abstract

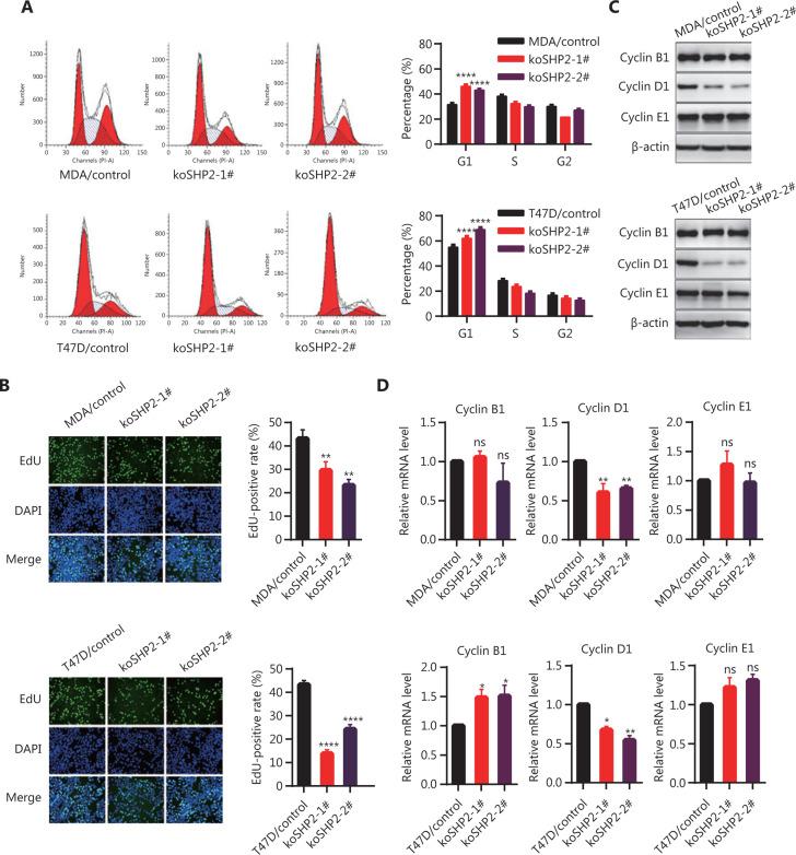
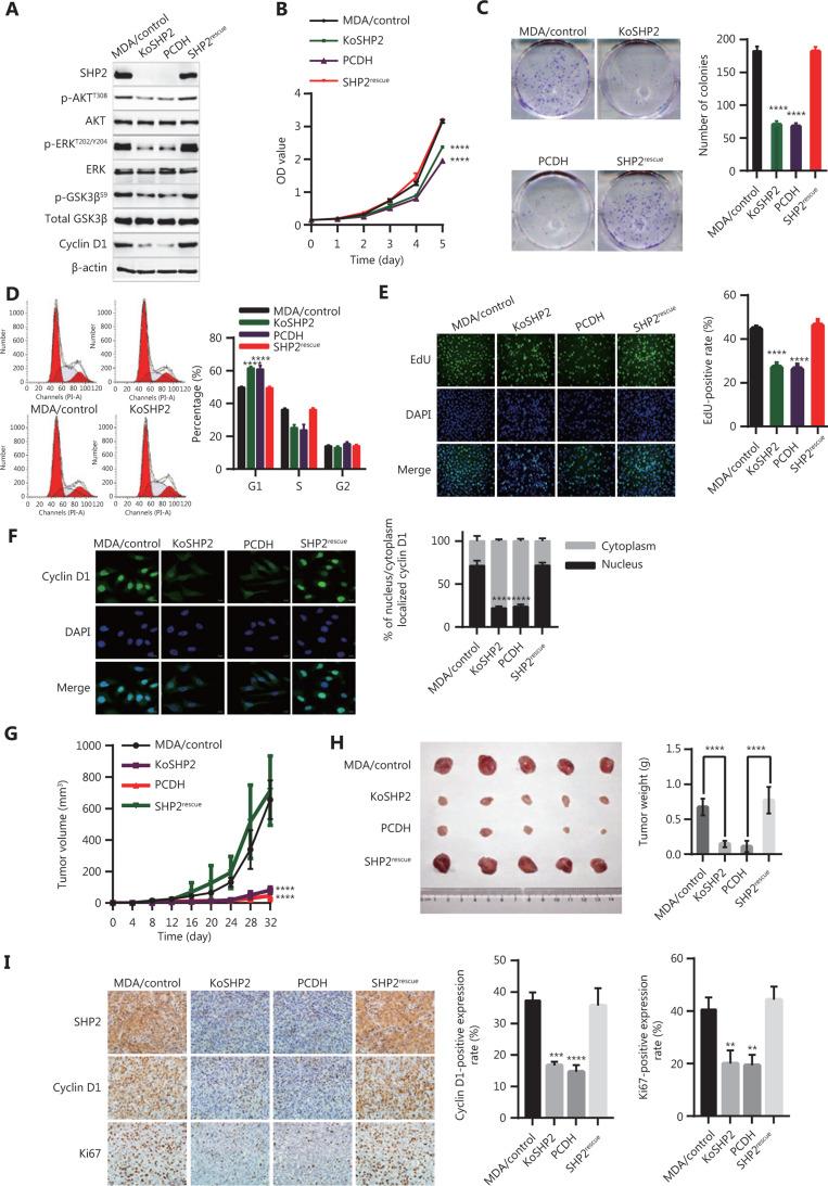
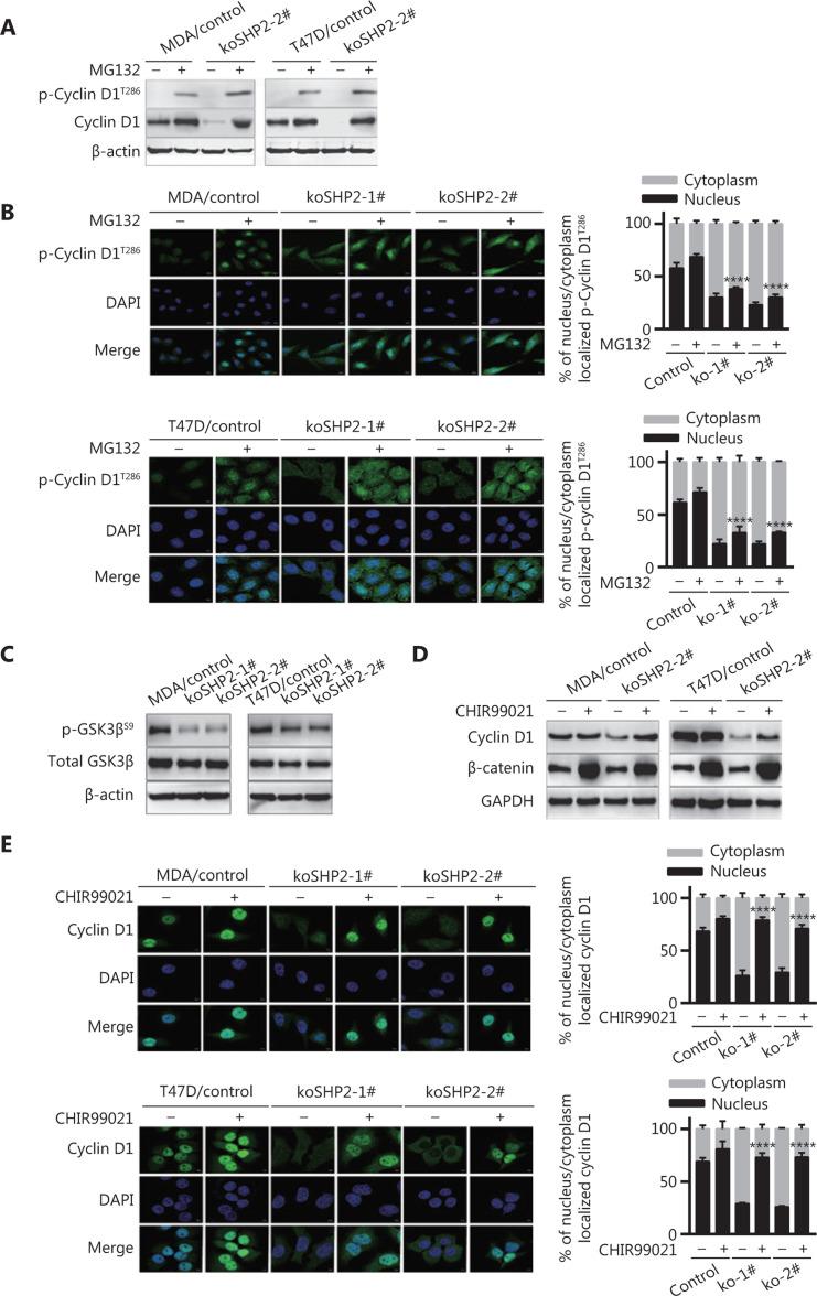
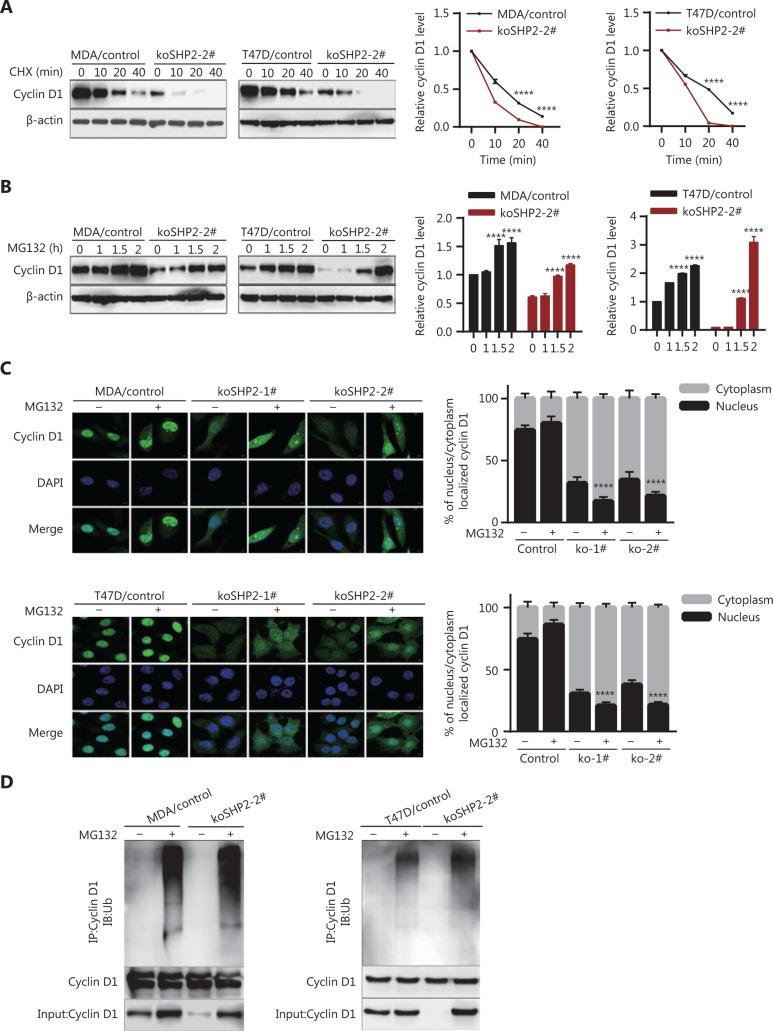
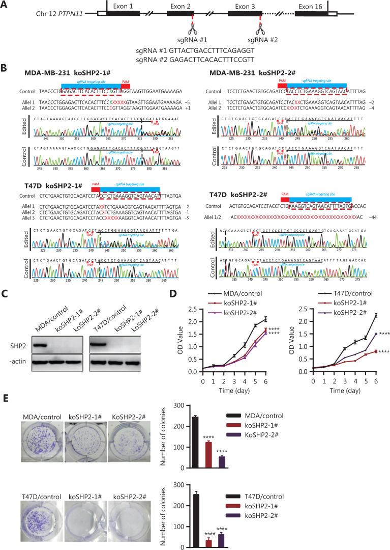
The tyrosine phosphatase SHP2 has a dual role in cancer initiation and progression in a tissue type-dependent manner. Several studies have linked SHP2 to the aggressive behavior of breast cancer cells and poorer outcomes in people with cancer. Nevertheless, the mechanistic details of how SHP2 promotes breast cancer progression remain largely undefined. The relationship between SHP2 expression and the prognosis of patients with breast cancer was investigated by using the TCGA and GEO databases. The expression of SHP2 in breast cancer tissues was analyzed by immunohistochemistry. CRISPR/Cas9 technology was used to generate SHP2-knockout breast cancer cells. Cell-counting kit-8, colony formation, cell cycle, and EdU incorporation assays, as well as a tumor xenograft model were used to examine the function of SHP2 in breast cancer proliferation. Quantitative RT-PCR, western blotting, immunofluorescence staining, and ubiquitination assays were used to explore the molecular mechanism through which SHP2 regulates breast cancer proliferation. High SHP2 expression is correlated with poor prognosis in patients with breast cancer. SHP2 is required for the proliferation of breast cancer cells and tumor growth through regulation of Cyclin D1 abundance, thereby accelerating cell cycle progression. Notably, SHP2 modulates the ubiquitin-proteasome-dependent degradation of Cyclin D1 the PI3K/AKT/GSK3β signaling pathway. SHP2 knockout attenuates the activation of PI3K/AKT signaling and causes the dephosphorylation and resultant activation of GSK3β. GSK3β then mediates phosphorylation of Cyclin D1 at threonine 286, thereby promoting the translocation of Cyclin D1 from the nucleus to the cytoplasm and facilitating Cyclin D1 degradation through the ubiquitin-proteasome system. Our study uncovered the mechanism through which SHP2 regulates breast cancer proliferation. SHP2 may therefore potentially serve as a therapeutic target for breast cancer.

摘要

酪氨酸磷酸酶 SHP2 以组织依赖性方式在癌症起始和进展中发挥双重作用。有几项研究将 SHP2 与乳腺癌细胞的侵袭性行为和癌症患者的不良预后联系起来。然而,SHP2 促进乳腺癌进展的机制细节在很大程度上仍未得到明确。

使用 TCGA 和 GEO 数据库研究了 SHP2 表达与乳腺癌患者预后的关系。通过免疫组织化学分析乳腺癌组织中 SHP2 的表达。CRISPR/Cas9 技术用于生成 SHP2 敲除乳腺癌细胞。细胞计数试剂盒-8、集落形成、细胞周期和 EdU 掺入测定以及肿瘤异种移植模型用于检查 SHP2 在乳腺癌增殖中的功能。定量 RT-PCR、western blot、免疫荧光染色和泛素化测定用于探索 SHP2 调节乳腺癌增殖的分子机制。

高 SHP2 表达与乳腺癌患者的不良预后相关。SHP2 通过调节细胞周期蛋白 D1 的丰度来促进乳腺癌细胞的增殖和肿瘤生长,从而加速细胞周期进程。值得注意的是,SHP2 调节细胞周期蛋白 D1 的泛素蛋白酶体依赖性降解和 PI3K/AKT/GSK3β 信号通路。SHP2 敲除可减弱 PI3K/AKT 信号的激活,并导致 GSK3β 的去磷酸化和激活。GSK3β 随后介导细胞周期蛋白 D1 第 286 位丝氨酸的磷酸化,从而促进细胞周期蛋白 D1 从细胞核向细胞质的易位,并通过泛素蛋白酶体系统促进细胞周期蛋白 D1 的降解。

我们的研究揭示了 SHP2 调节乳腺癌增殖的机制。因此,SHP2 可能成为治疗乳腺癌的潜在靶点。

https://cdn.ncbi.nlm.nih.gov/pmc/blobs/0aa3/7476086/49307e569f45/cbm-17-707-g001.jpg

文献AI研究员

20分钟写一篇综述,助力文献阅读效率提升50倍。

立即体验

用中文搜PubMed

大模型驱动的PubMed中文搜索引擎

马上搜索

文档翻译

学术文献翻译模型,支持多种主流文档格式。

立即体验