Suppr超能文献

肝脏肿瘤:诊断影像学中的陷阱。

Hepatic tumors: pitfall in diagnostic imaging.

机构信息

Department of Radiology, Careggi University Hospital, Florence, Italy.

Department of Precision Medicine, University of Campania "L. Vanvitelli", Naples, Italy.

出版信息

Acta Biomed. 2020 Jul 13;91(8-S):9-17. doi: 10.23750/abm.v91i8-S.9969.

Abstract

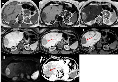
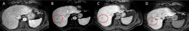
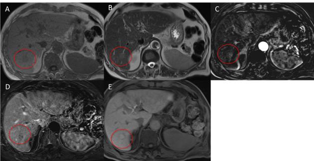
On computed tomography (CT) and magnetic resonance imaging (MRI), hepatocellular tumors are characterized based on typical imaging findings. However, hepatocellular adenoma, focal nodular hyperplasia, and hepatocellular carcinoma can show uncommon appearances at CT and MRI, which may lead to diagnostic challenges. When assessing focal hepatic lesions, radiologists need to be aware of these atypical imaging findings to avoid misdiagnoses that can alter the management plan. The purpose of this review is to illustrate a variety of pitfalls and atypical features of hepatocellular tumors that can lead to misinterpretations providing specific clues to the correct diagnoses.

摘要

在计算机断层扫描(CT)和磁共振成像(MRI)上,根据典型的影像学表现可对肝细胞肿瘤进行特征描述。然而,肝细胞腺瘤、局灶性结节性增生和肝细胞癌在 CT 和 MRI 上可能会出现不常见的表现,这可能导致诊断上的挑战。在评估局灶性肝病变时,放射科医生需要注意这些非典型的影像学表现,以避免误诊,误诊可能会改变治疗计划。本文旨在说明导致误诊的肝细胞肿瘤的各种陷阱和非典型特征,并提供正确诊断的具体线索。

https://cdn.ncbi.nlm.nih.gov/pmc/blobs/abea/7944669/70dd943fbbf2/ACTA-91-9-g001.jpg

文献AI研究员

20分钟写一篇综述,助力文献阅读效率提升50倍。

立即体验

用中文搜PubMed

大模型驱动的PubMed中文搜索引擎

马上搜索

文档翻译

学术文献翻译模型,支持多种主流文档格式。

立即体验