Suppr超能文献

介入放射学在肝和肾出血栓塞中的作用:单中心经验和文献复习。

The role of interventional radiology in hepatic and renal hemorrhage embolization: single center experience and literature review.

机构信息

Department of Biotechnological and Applied Clinical Sciences, University of L'Aquila, Italy.

Interventional Radiology and Neuroradiology, San Salvatore Hospital, L'Aquila, Italy.

出版信息

Acta Biomed. 2021 Sep 10;92(S5):e2021405. doi: 10.23750/abm.v92iS5.11876.

Abstract

BACKGROUND AND AIM

Intraabdominal hemorrhage secondary to liver and kidney injury is a major cause of morbidity and mortality. Endovascular arterial embolization is an established interventional radiology technique used to treat active bleeding, and its role in managing abdominal hemorrhages is growing, given the increasing trend for conservative treatment. Our study aims to retrospectively evaluate the technical and clinical results and the possible complications of arterial embolization procedures performed in emergency, in post-traumatic, iatrogenic, and pathological hepatic and renal bleedings.

METHODS

We performed a ten-year, single-center retrospective survey (from January 2010 to December 2019) of all patients treated in emergency by intra-arterial embolization of liver and kidney bleeding. Preliminary CT angiography studies were evaluated, as well as the angiographic findings. Materials used, procedural data, and clinical outcomes, including complications, were recorded.

RESULTS

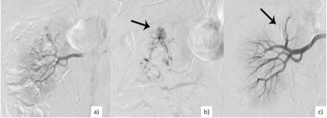
The diagnostic angiography showed a single source of bleeding in 20 cases (66.7%), two bleeding vessels in 4 cases (13.3%), and multiple hemorrhagic sources in 6 cases (20%). All bleeding sources were successfully embolized; in 12 patients (40%), complete embolization was achieved with coils and 18 patients (60%) with hemostatic sponges. In one case, a second embolization procedure was performed for the persistence of hemodynamic instability. No major post-procedural complications were recorded. The mean procedure duration was 65.1 minutes.

CONCLUSIONS

Based on our experience and literature data, the treatment of endovascular embolization in acute abdominal bleeding of hepatic and renal origin represents the treatment of choice, as it can provide complete therapeutic success in hemodynamically stable patients. (www.actabiomedica.it).

摘要

背景与目的

肝、肾损伤引起的腹腔内出血是发病率和死亡率的主要原因。血管内动脉栓塞是一种成熟的介入放射学技术,用于治疗活动性出血,随着保守治疗趋势的增加,其在治疗腹部出血方面的作用也在不断增加。我们的研究旨在回顾性评估在急诊、创伤后、医源性和病理性肝、肾出血中进行动脉栓塞治疗的技术和临床效果及可能的并发症。

方法

我们对 2010 年 1 月至 2019 年 12 月期间在急诊接受肝、肾出血动脉栓塞治疗的所有患者进行了一项为期十年的单中心回顾性调查。评估了初步 CT 血管造影研究以及血管造影结果。记录使用的材料、手术数据以及临床结果,包括并发症。

结果

诊断性血管造影显示 20 例(66.7%)患者存在单一出血源,4 例(13.3%)患者存在两个出血血管,6 例(20%)患者存在多个出血源。所有出血源均成功栓塞;12 例(40%)患者采用线圈完全栓塞,18 例(60%)患者采用止血海绵栓塞。1 例患者因血流动力学不稳定持续存在而行第二次栓塞术。未记录到重大术后并发症。手术平均持续时间为 65.1 分钟。

结论

根据我们的经验和文献数据,血管内栓塞治疗肝、肾源性急性腹部出血是首选治疗方法,因为它可以为血流动力学稳定的患者提供完全的治疗成功。

https://cdn.ncbi.nlm.nih.gov/pmc/blobs/8c3f/8477065/5f57f6b66a6e/ACTA-92-405-g001.jpg

文献AI研究员

20分钟写一篇综述,助力文献阅读效率提升50倍。

立即体验

用中文搜PubMed

大模型驱动的PubMed中文搜索引擎

马上搜索

文档翻译

学术文献翻译模型,支持多种主流文档格式。

立即体验