Suppr超能文献

miR-20a-5p 诱导 WTX 缺失通过调控 PI3K/AKT 信号通路促进胃癌进展。

Mir-20a-5p induced WTX deficiency promotes gastric cancer progressions through regulating PI3K/AKT signaling pathway.

机构信息

1Department of Pathology, Guangdong Provincial People's Hospital, Guangdong Academy of Medical Sciences, Guangzhou, 510000, Guangdong Province, People's Republic of China.

Department of Pathology, School of Basic Medical Science, Southern Medical University, Guangzhou, 510282, Guangdong Province, People's Republic of China.

出版信息

J Exp Clin Cancer Res. 2020 Oct 8;39(1):212. doi: 10.1186/s13046-020-01718-4.

Abstract

BACKGROUND

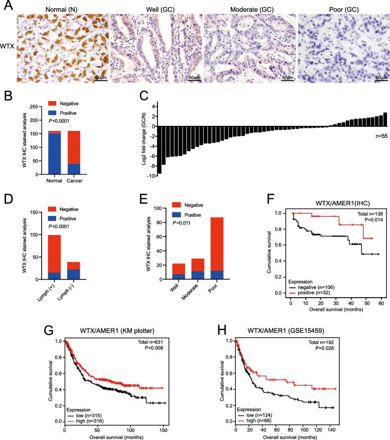
The X-linked gene WTX (also called AMER1) has been reported to function as a tumour suppressor gene in Wilms' tumour. In our previous study, WTX expression was shown to be significantly reduced in gastric cancer (GC), but the function and mechanism associated with WTX loss had yet to be fully elucidated.

METHODS

WTX expression and clinical significance were father analyzed in GC and control normal gastric tissues, and validated in public databases. The candidate pathway which was regulated by WTX during GC progression was searched by KEGG pathway analysis. The miRNA which monitored WTX expression was screened by miRNA microarray. After verified the pathway and miRNA both in vitro and in vivo, the relationship of miRNA, WTX and the downstream pathway were analyzed by Western blot, immunohistochemistry, RT-PCR, Co-immunoprecipitation (Co-IP), and luciferase analyses.

RESULTS

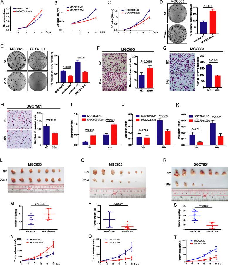
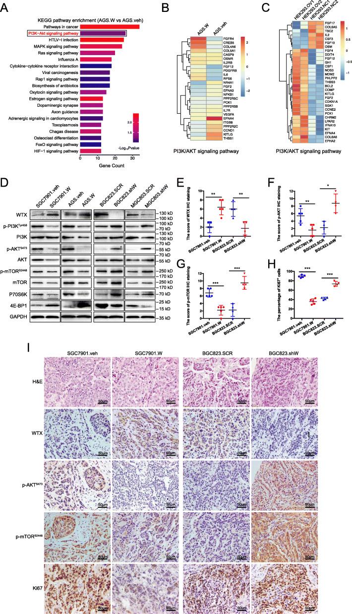
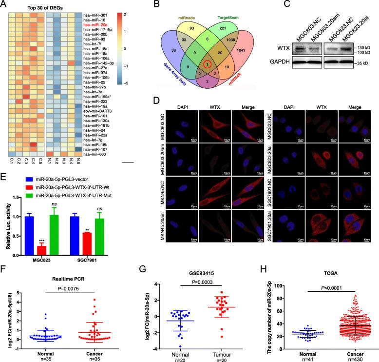
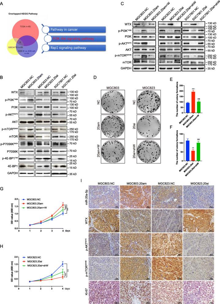
The results showed that WTX serves as a tumour suppressor gene in GC. The loss of WTX which is associated with the aggressiveness of GC by promoting GC cell proliferation in vitro and high metastasis in vivo. Furthermore, WTX expression was positively correlated with the overall survival of GC patients. Microarray assays, bioinformatics analysis, and verification experiments showed that WTX loss activates the PI3K/AKT/mTOR pathway and promotes GC cell proliferation and invasion. And the aberrant miR-20a-5p upregulation contributes to WTX loss in GC, which stimulates PI3K phosphorylation to activate PI3K/AKT/mTOR signaling pathway and promoted GC progression.

CONCLUSIONS

The results of the present study elucidated the mechanism of GC progression, which is at least partially caused by aberrant miR-20a-5p upregulation leading to the inhibition of WTX expression and PI3K/AKT/mTOR signaling pathway activation. These findings provide a comprehensive understanding of the action of the miR-20a-5p/WTX/PI3K/AKT/mTOR signaling pathway in the progression and metastasis of GC.

摘要

背景

X 连锁基因 WTX(也称为 AMER1)已被报道在威尔姆斯瘤中作为肿瘤抑制基因发挥作用。在我们之前的研究中,WTX 表达在胃癌(GC)中显著降低,但与 WTX 缺失相关的功能和机制尚未完全阐明。

方法

进一步分析 WTX 在 GC 和对照正常胃组织中的表达及其临床意义,并在公共数据库中进行验证。通过 KEGG 途径分析寻找 WTX 在 GC 进展过程中调节的候选途径。通过 miRNA 微阵列筛选监测 WTX 表达的 miRNA。在体外和体内验证该途径和 miRNA 后,通过 Western blot、免疫组织化学、RT-PCR、免疫共沉淀(Co-IP)和荧光素酶分析分析 miRNA、WTX 和下游途径之间的关系。

结果

结果表明,WTX 在 GC 中作为肿瘤抑制基因发挥作用。WTX 的缺失与 GC 的侵袭性相关,通过促进 GC 细胞在体外增殖和体内高转移。此外,WTX 表达与 GC 患者的总生存率呈正相关。微阵列分析、生物信息学分析和验证实验表明,WTX 缺失激活了 PI3K/AKT/mTOR 通路,并促进了 GC 细胞的增殖和侵袭。异常的 miR-20a-5p 上调导致 GC 中的 WTX 缺失,刺激 PI3K 磷酸化激活 PI3K/AKT/mTOR 信号通路并促进 GC 进展。

结论

本研究结果阐明了 GC 进展的机制,至少部分是由异常的 miR-20a-5p 上调导致 WTX 表达抑制和 PI3K/AKT/mTOR 信号通路激活引起的。这些发现为 miR-20a-5p/WTX/PI3K/AKT/mTOR 信号通路在 GC 进展和转移中的作用提供了全面的了解。

https://cdn.ncbi.nlm.nih.gov/pmc/blobs/57a6/7545863/527d95eb1e05/13046_2020_1718_Fig1_HTML.jpg

文献AI研究员

20分钟写一篇综述,助力文献阅读效率提升50倍。

立即体验

用中文搜PubMed

大模型驱动的PubMed中文搜索引擎

马上搜索

文档翻译

学术文献翻译模型,支持多种主流文档格式。

立即体验