Suppr超能文献

由 菌的葡糖醛酸聚糖裂解酶和几丁质酶融合构建的双功能酶的生化特性

Biochemical Characterization of a Bifunctional Enzyme Constructed by the Fusion of a Glucuronan Lyase and a Chitinase from sp.

作者信息

Baklouti Zeineb, Delattre Cédric, Pierre Guillaume, Gardarin Christine, Abdelkafi Slim, Michaud Philippe, Dubessay Pascal

机构信息

CNRS, SIGMA Clermont, Institut Pascal, Université Clermont-Auvergne, FS-63000 Clermont-Ferrand, France.

Département Génie Biologique, Université de Sfax, Unité de Biotechnologie des Algues, Ecole National d'Ingénieurs de Sfax, 3018 Sfax, Tunisia.

出版信息

Life (Basel). 2020 Oct 8;10(10):234. doi: 10.3390/life10100234.

Abstract

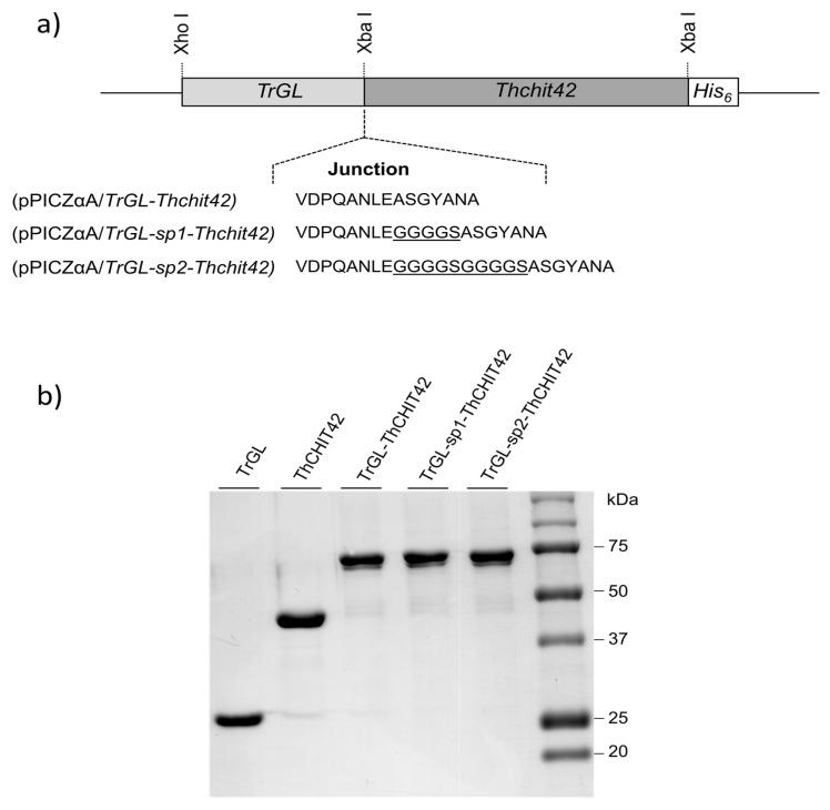
Bifunctional enzymes created by the fusion of a glucuronan lyase (TrGL) and a chitinase (ThCHIT42) from sp. have been constructed with the aim to validate a proof of concept regarding the potential of the chimera lyase/hydrolase by analyzing the functionality and the efficiency of the chimeric constructions compared to parental enzymes. All the chimeric enzymes, including or nor linker (GGGGS), were shown functional with activities equivalent or higher to native enzymes. The velocity of glucuronan lyase was considerably increased for chimeras, and may involved structural modifications at the active site. The fusion has induced a slightly decrease of the thermostability of glucuronan lyase, without modifying its catalytic activity regarding pH variations ranging from 5 to 8. The biochemical properties of chitinase seemed to be more disparate between the different fusion constructions suggesting an impact of the linkers or structural interactions with the linked glucuronan lyase. The chimeric enzymes displayed a decreased stability to temperature and pH variations, compared to parental one. Overall, TrGL-ThCHIT42 offered the better compromise in terms of biochemical stability and enhanced activity, and could be a promising candidate for further experiments in the field of fungi Cell Wall-Degrading Enzymes (CWDEs).

摘要

通过融合来自[某种生物]的葡糖醛酸聚糖裂解酶(TrGL)和几丁质酶(ThCHIT42)构建了双功能酶,目的是通过分析嵌合构建体与亲本酶相比的功能和效率,验证关于嵌合裂解酶/水解酶潜力的概念验证。所有嵌合酶,包括有无连接子(GGGGS)的,均显示具有与天然酶相当或更高的活性。对于嵌合体,葡糖醛酸聚糖裂解酶的速度显著提高,这可能涉及活性位点的结构修饰。融合导致葡糖醛酸聚糖裂解酶的热稳定性略有下降,但在pH值从5到8的变化范围内不改变其催化活性。几丁质酶的生化特性在不同的融合构建体之间似乎差异更大,这表明连接子或与连接的葡糖醛酸聚糖裂解酶的结构相互作用有影响。与亲本酶相比,嵌合酶对温度和pH变化的稳定性降低。总体而言,TrGL-ThCHIT42在生化稳定性和增强活性方面提供了更好的平衡,可能是真菌细胞壁降解酶(CWDEs)领域进一步实验的有前途的候选者。

https://cdn.ncbi.nlm.nih.gov/pmc/blobs/b018/7601620/a33e4fb0c9e3/life-10-00234-g001.jpg

文献AI研究员

20分钟写一篇综述,助力文献阅读效率提升50倍。

立即体验

用中文搜PubMed

大模型驱动的PubMed中文搜索引擎

马上搜索

文档翻译

学术文献翻译模型,支持多种主流文档格式。

立即体验