Suppr超能文献

妊娠晚期的重症新型冠状病毒肺炎:多学科诊疗方法

Severe COVID-19 in Third Trimester Pregnancy: Multidisciplinary Approach.

作者信息

Pelayo Jerald, Pugliese Gabriella, Salacup Grace, Quintero Eduardo, Khalifeh Adeeb, Jaspan David, Sharma Bhavna

机构信息

Department of Medicine, Einstein Medical Center Philadelphia, Philadelphia, PA, USA.

Department of Obstetrics and Gynecology, Einstein Medical Center Philadelphia, Philadelphia, PA, USA.

出版信息

Case Rep Crit Care. 2020 Oct 14;2020:8889487. doi: 10.1155/2020/8889487. eCollection 2020.

Abstract

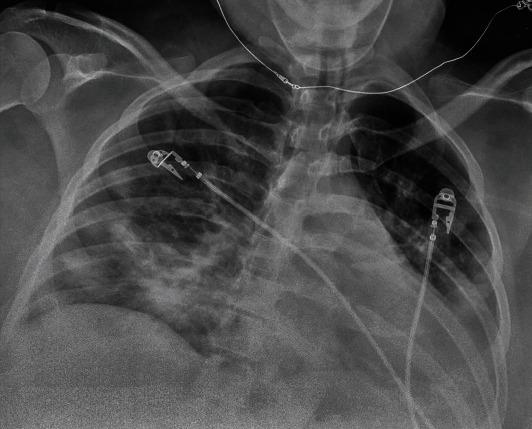
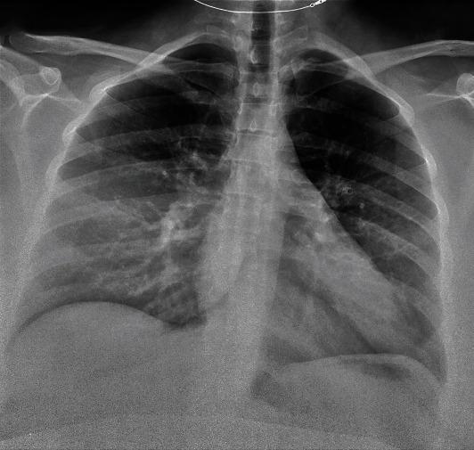
The rapidly expanding cases of the coronavirus disease 2019 (COVID-19) caused by the severe acute respiratory syndrome coronavirus 2 (SARS-CoV-2) have exposed vulnerable populations, including pregnant women to an unprecedented public health crisis. Recent data show that pregnancy in COVID-19 patients is associated with increased hospitalization, admission of the intensive care unit, and intubation. However, very few resources exist to guide the multidisciplinary team in managing critically ill pregnant women with COVID-19. We report our experience with managing a morbidly obese pregnant woman at 36 weeks' gestation with history of asthma and malignancy who presented with persistent respiratory symptoms at an outside hospital after being tested positive for SARS-CoV-2 polymerase chain reaction (PCR). Early in the course of the hospitalization, patient received remdesivir, convalescent plasma, bronchodilator, systemic steroids, and IV heparin for COVID-19 and concomitant asthma exacerbation and pulmonary embolism. Due to increasing oxygen requirements, she was eventually intubated and transferred to our institution for higher level of care. Respiratory acidosis, severe hypoxemia, and vent asynchrony were managed with vent setting adjustment and paralytics. After 12 hours from spontaneous rupture of her membranes and with stabilization of maternal status, patient underwent a term cesarean delivery for nonreassuring fetal heart tracing. The neonate was discharged on the 2 day of life, while the patient was extubated on the 6 postpartum day and was discharged to acute inpatient rehabilitation facility on the 19 hospital day. This report highlights the disease progression of COVID-19 in a pregnant woman, the clinical challenges in the critical care aspect of patient management, and the proposed multidisciplinary strategies utilizing an algorithmic approach to optimize maternal and neonatal outcomes.

摘要

由严重急性呼吸综合征冠状病毒2(SARS-CoV-2)引起的2019冠状病毒病(COVID-19)病例迅速增加,使包括孕妇在内的弱势群体面临前所未有的公共卫生危机。最近的数据显示,COVID-19患者怀孕与住院率增加、入住重症监护病房和插管有关。然而,几乎没有资源可指导多学科团队管理患有COVID-19的重症孕妇。我们报告了我们管理一名患有哮喘和恶性肿瘤病史、孕36周的病态肥胖孕妇的经验,该孕妇在SARS-CoV-2聚合酶链反应(PCR)检测呈阳性后,在外院出现持续呼吸道症状。在住院过程早期,患者因COVID-19以及伴随的哮喘加重和肺栓塞接受了瑞德西韦、康复期血浆、支气管扩张剂、全身用类固醇和静脉注射肝素治疗。由于氧需求增加,她最终插管并转至我院接受更高水平的治疗。通过调整通气设置和使用镇静剂处理呼吸性酸中毒、严重低氧血症和通气不同步。在胎膜自然破裂12小时后,随着母亲状况稳定,患者因胎儿心率监护不令人放心接受了足月剖宫产。新生儿出生后第2天出院,而患者产后第6天拔管,住院第19天出院至急性住院康复机构。本报告强调了COVID-19在孕妇中的疾病进展、患者管理重症监护方面的临床挑战,以及提出的利用算法方法优化母婴结局的多学科策略。

https://cdn.ncbi.nlm.nih.gov/pmc/blobs/ce18/7563040/af983b8c02c9/CRICC2020-8889487.001.jpg

文献AI研究员

20分钟写一篇综述,助力文献阅读效率提升50倍。

立即体验

用中文搜PubMed

大模型驱动的PubMed中文搜索引擎

马上搜索

文档翻译

学术文献翻译模型,支持多种主流文档格式。

立即体验