Suppr超能文献

原发性口腔结核——一例报告。

Primary oral tuberculosis - A case report.

作者信息

Sachdeva Priyanka, Singh Sukhdeep, Bhagat Nitin

机构信息

Department of Pedodontics and Preventive Dentistry, School of Dental Sciences, Sharda University, Greater Noida, Uttar Pradesh, India.

Department of Oral and Maxillofacial Surgery, School of Dental Sciences, Sharda University, Greater Noida, Uttar Pradesh, India.

出版信息

Contemp Clin Dent. 2020 Jan-Mar;11(1):79-82. doi: 10.4103/ccd.ccd_416_19. Epub 2020 Jul 13.

Abstract

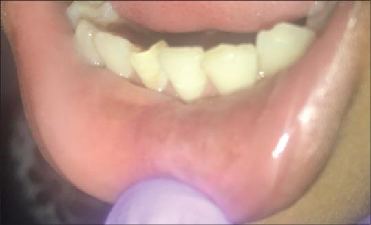
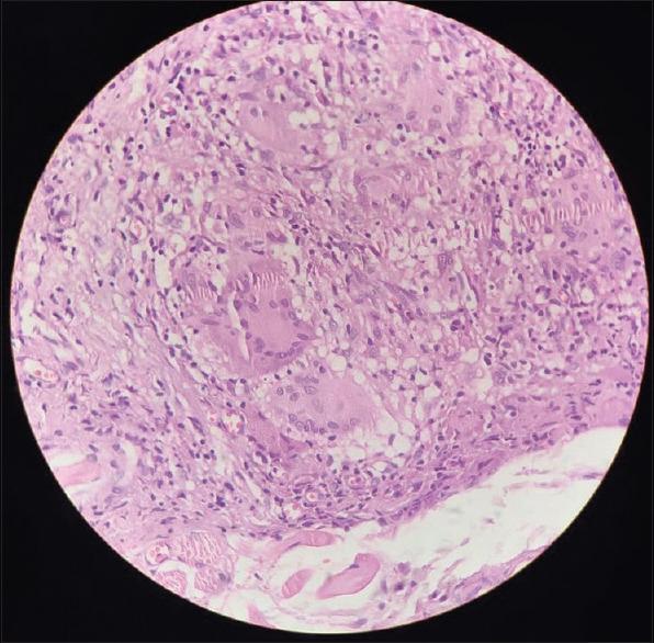
Tuberculosis is a chronic granulomatous disease which affects the lungs in majority of the cases. Oral manifestations of tuberculosis (TB) are seen both in primary and secondary stages of the disease but are most commonly associated with secondary TB. Primary oral TB is a rare entity and thus may pose a diagnostic challenge. This case reports isolated primary TB of the lower lip associated with an intraoral long-standing nonhealing ulcer present in a 12-year-old child. The diagnosis was confirmed by histopathological, hematological, and radiographic investigations. The lesion resolved with anti-tubercular treatment regimen. The case highlights the importance of clinician awareness toward oral lesions, which may present themselves without any symptoms and/or signs of systemic disease.

摘要

结核病是一种慢性肉芽肿性疾病,大多数情况下会累及肺部。结核病的口腔表现可见于疾病的原发和继发阶段,但最常与继发性结核病相关。原发性口腔结核是一种罕见的病症,因此可能带来诊断挑战。本病例报告了一名12岁儿童下唇孤立性原发性结核,伴有口腔内长期不愈合的溃疡。通过组织病理学、血液学和影像学检查确诊。病变经抗结核治疗方案后消退。该病例凸显了临床医生对口腔病变提高认识的重要性,这些病变可能在没有任何全身疾病症状和/或体征的情况下出现。

https://cdn.ncbi.nlm.nih.gov/pmc/blobs/212b/7580750/17d38cd2dd57/CCD-11-79-g001.jpg

文献AI研究员

20分钟写一篇综述,助力文献阅读效率提升50倍。

立即体验

用中文搜PubMed

大模型驱动的PubMed中文搜索引擎

马上搜索

文档翻译

学术文献翻译模型,支持多种主流文档格式。

立即体验