Suppr超能文献

基于生物信息学分析鉴定溃疡性结肠炎差异表达基因,并在结肠炎小鼠模型中验证。

Identification of differentially expressed genes in ulcerative colitis and verification in a colitis mouse model by bioinformatics analyses.

机构信息

Department of Immunology and Microbiology, School of Life Sciences, Beijing University of Chinese Medicine, Beijing 100029, China.

Gastroenterology Department, Dongfang Hospital, Beijing University of Chinese Medicine, Beijing 100078, China.

出版信息

World J Gastroenterol. 2020 Oct 21;26(39):5983-5996. doi: 10.3748/wjg.v26.i39.5983.

Abstract

BACKGROUND

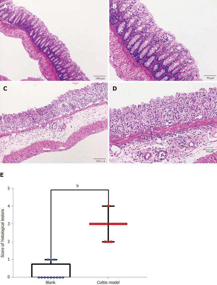
Ulcerative colitis (UC) is an inflammatory bowel disease that is difficult to diagnose and treat. To date, the degree of inflammation in patients with UC has mainly been determined by measuring the levels of nonspecific indicators, such as C-reactive protein and the erythrocyte sedimentation rate, but these indicators have an unsatisfactory specificity. In this study, we performed bioinformatics analysis using data from the National Center for Biotechnology Information-Gene Expression Omnibus (NCBI-GEO) databases and verified the selected core genes in a mouse model of dextran sulfate sodium (DSS)-induced colitis.

AIM

To identify UC-related differentially expressed genes (DEGs) using a bioinformatics analysis and verify them and to identify novel biomarkers and the underlying mechanisms of UC.

METHODS

Two microarray datasets from the NCBI-GEO database were used, and DEGs between patients with UC and healthy controls were analyzed using GEO2R and Venn diagrams. We annotated these genes based on their functions and signaling pathways, and then protein-protein interactions (PPIs) were identified using the Search Tool for the Retrieval of Interacting Genes. The data were further analyzed with Cytoscape software and the Molecular Complex Detection (MCODE) app. The core genes were selected and a Kyoto Encyclopedia of Genes and Genomes pathway enrichment analysis was performed. Finally, colitis model mice were established by administering DSS, and the top three core genes were verified in colitis mice using real-time polymerase chain reaction (PCR).

RESULTS

One hundred and seventy-seven DEGs, 118 upregulated and 59 downregulated, were initially identified from the GEO2R analysis and predominantly participated in inflammation-related pathways. Seven clusters with close interactions in UC formed: Seventeen core genes were upregulated [ (), (), , , , , , , , , , , , , , ] and one was downregulated [ ()] in the top cluster according to the PPI and MCODE analyses. These genes were substantially enriched in the cytokine-cytokine receptor interaction and chemokine signaling pathways. The top three core genes (, , and ) were selected and verified in a mouse model of colitis using real-time PCR Increased expression was observed compared with the control mice, but only CXCR2 expression was significantly different.

CONCLUSION

Core DEGs identified in UC are related to inflammation and immunity inflammation, indicating that these reactions are core features of the pathogenesis of UC. CXCR2 may reflect the degree of inflammation in patients with UC.

摘要

背景

溃疡性结肠炎(UC)是一种难以诊断和治疗的炎症性肠病。迄今为止,UC 患者的炎症程度主要通过测量 C-反应蛋白和红细胞沉降率等非特异性指标来确定,但这些指标的特异性并不令人满意。在这项研究中,我们使用国家生物技术信息中心基因表达综合数据库(NCBI-GEO)数据库中的数据进行了生物信息学分析,并在葡聚糖硫酸钠(DSS)诱导的结肠炎小鼠模型中验证了所选核心基因。

目的

使用生物信息学分析识别 UC 相关差异表达基因(DEG)并进行验证,并鉴定 UC 的新型生物标志物和潜在机制。

方法

使用 NCBI-GEO 数据库中的两个微阵列数据集,使用 GEO2R 和 Venn 图分析 UC 患者与健康对照之间的 DEG。我们根据功能和信号通路对这些基因进行注释,然后使用搜索工具检索相互作用基因(Search Tool for the Retrieval of Interacting Genes)识别蛋白质-蛋白质相互作用(PPI)。使用 Cytoscape 软件和分子复合物检测(MCODE)应用程序进一步分析数据。选择核心基因并进行京都基因与基因组百科全书通路富集分析。最后,通过给予 DSS 建立结肠炎模型小鼠,并使用实时聚合酶链反应(PCR)在结肠炎小鼠中验证前三个核心基因。

结果

从 GEO2R 分析中最初鉴定出 177 个 DEG,118 个上调和 59 个下调,主要参与炎症相关途径。根据 PPI 和 MCODE 分析,UC 中形成了 7 个具有紧密相互作用的簇:上调的 17 个核心基因 [(),(),,,,,,,,,,,,,]和一个下调的核心基因 [()] 位于顶部簇中。这些基因在细胞因子-细胞因子受体相互作用和趋化因子信号通路中显著富集。选择前三个核心基因(,和)并使用实时 PCR 在结肠炎小鼠模型中进行验证,与对照小鼠相比,观察到表达增加,但只有 CXCR2 表达差异显著。

结论

UC 中鉴定的核心 DEG 与炎症和免疫炎症有关,表明这些反应是 UC 发病机制的核心特征。CXCR2 可能反映 UC 患者的炎症程度。

https://cdn.ncbi.nlm.nih.gov/pmc/blobs/54f7/7584051/44fbe3936873/WJG-26-5983-g001.jpg

文献AI研究员

20分钟写一篇综述,助力文献阅读效率提升50倍。

立即体验

用中文搜PubMed

大模型驱动的PubMed中文搜索引擎

马上搜索

文档翻译

学术文献翻译模型,支持多种主流文档格式。

立即体验