Suppr超能文献

基于两种 CT 扫描评分系统的肉芽肿性淋巴细胞性间质性肺病分析:一项回顾性队列研究。

Analysis of Granulomatous Lymphocytic Interstitial Lung Disease Using Two Scoring Systems for Computed Tomography Scans-A Retrospective Cohort Study.

机构信息

Department of Paediatric Pulmonology and Allergology, Sophia Children's Hospital-Erasmus Medical Center, Rotterdam, Netherlands.

Department of Radiology and Nuclear Medicine, Erasmus Medical Center, Rotterdam, Netherlands.

出版信息

Front Immunol. 2020 Oct 30;11:589148. doi: 10.3389/fimmu.2020.589148. eCollection 2020.

Abstract

BACKGROUND

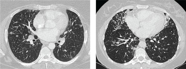
Granulomatous lymphocytic interstitial lung disease (GLILD) is present in about 20% of patients with common variable immunodeficiency disorders (CVID). GLILD is characterized by nodules, reticulation, and ground-glass opacities on CT scans. To date, large cohort studies that include sensitive CT outcome measures are lacking, and severity of structural lung disease remains unknown. The aim of this study was to introduce and compare two scoring methods to phenotype CT scans of GLILD patients.

METHODS

Patients were enrolled in the "Study of Interstitial Lung Disease in Primary Antibody Deficiency" (STILPAD) international cohort. Inclusion criteria were diagnosis of both CVID and GLILD, as defined by the treating immunologist and radiologist. Retrospectively collected CT scans were scored systematically with the Baumann and Hartmann methods.

RESULTS

In total, 356 CT scans from 138 patients were included. Cross-sectionally, 95% of patients met a radiological definition of GLILD using both methods. Bronchiectasis was present in 82% of patients. Inter-observer reproducibility (intraclass correlation coefficients) of GLILD and airway disease were 0.84 and 0.69 for the Hartmann method and 0.74 and 0.42 for the Baumann method.

CONCLUSIONS

In both the Hartmann and Baumann scoring method, the composite score GLILD was reproducible and therefore might be a valuable outcome measure in future studies. Overall, the reproducibility of the Hartmann method appears to be slightly better than that of the Baumann method. With a systematic analysis, we showed that GLILD patients suffer from extensive lung disease, including airway disease. Further validation of these scoring methods should be performed in a prospective cohort study involving routine collection of standardized CT scans.

CLINICAL TRIAL REGISTRATION

https://www.drks.de, identifier DRKS00000799.

摘要

背景

肉芽肿性淋巴细胞性间质性肺病(GLILD)存在于约 20%的普通变异性免疫缺陷疾病(CVID)患者中。GLILD 的 CT 扫描特征为结节、网状影和磨玻璃影。迄今为止,缺乏包括敏感 CT 结果测量的大型队列研究,且结构性肺疾病的严重程度尚不清楚。本研究旨在介绍和比较两种用于表型 GLILD 患者 CT 扫描的评分方法。

方法

患者被纳入“原发性抗体缺陷间质肺病研究”(STILPAD)国际队列。纳入标准为经免疫科医生和放射科医生诊断为 CVID 和 GLILD。回顾性收集 CT 扫描,并用 Baumann 和 Hartmann 方法进行系统评分。

结果

共纳入 138 例患者的 356 份 CT 扫描。两种方法均显示,95%的患者存在 GLILD 的影像学定义。82%的患者存在支气管扩张症。Hartmann 方法和 Baumann 方法的 GLILD 和气道疾病的观察者间重复性(组内相关系数)分别为 0.84 和 0.69,0.74 和 0.42。

结论

在 Hartmann 方法和 Baumann 评分方法中,GLILD 综合评分均具有可重复性,因此可能是未来研究中的一种有价值的结局测量指标。总体而言,Hartmann 方法的重复性似乎略优于 Baumann 方法。通过系统分析,我们表明 GLILD 患者患有广泛的肺部疾病,包括气道疾病。应在涉及常规收集标准化 CT 扫描的前瞻性队列研究中进一步验证这些评分方法。

临床试验注册

https://www.drks.de,标识符 DRKS00000799。

https://cdn.ncbi.nlm.nih.gov/pmc/blobs/e51f/7662109/e6319040b8bd/fimmu-11-589148-g001.jpg

文献AI研究员

20分钟写一篇综述,助力文献阅读效率提升50倍。

立即体验

用中文搜PubMed

大模型驱动的PubMed中文搜索引擎

马上搜索

文档翻译

学术文献翻译模型,支持多种主流文档格式。

立即体验