Suppr超能文献

SMC5/6 对于神经发生过程中复制叉的稳定性和染色体的正确分离是必需的。

SMC5/6 is required for replication fork stability and faithful chromosome segregation during neurogenesis.

机构信息

Biochemistry and Molecular Biology Department, Johns Hopkins University Bloomberg School of Public Health, Baltimore, United States.

出版信息

Elife. 2020 Nov 17;9:e61171. doi: 10.7554/eLife.61171.

Abstract

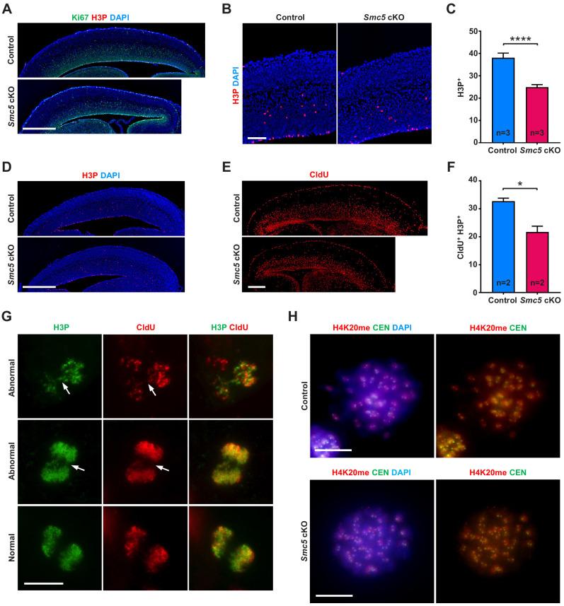
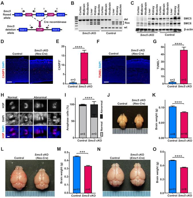
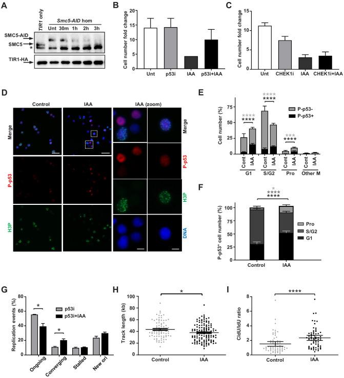
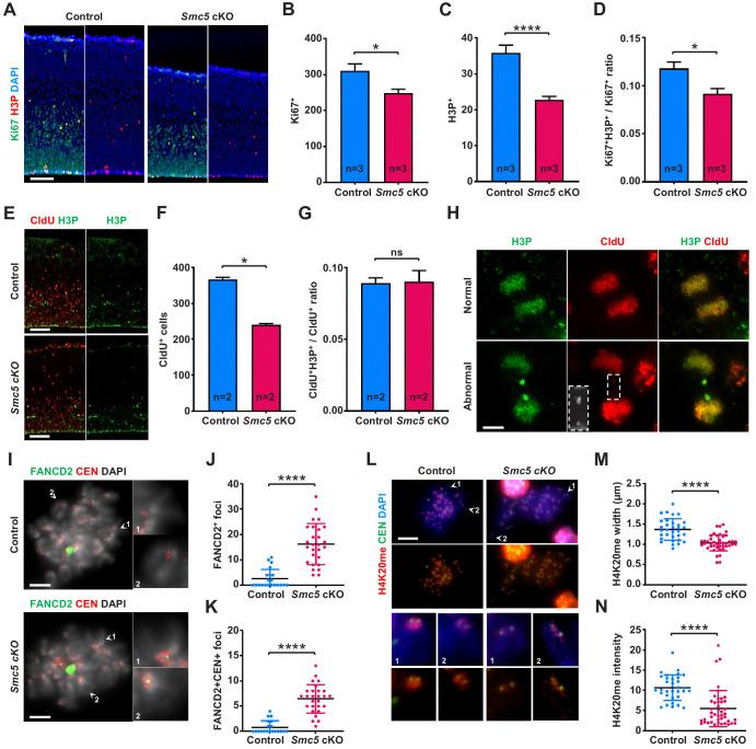
Mutations of SMC5/6 components cause developmental defects, including primary microcephaly. To model neurodevelopmental defects, we engineered a mouse wherein is conditionally knocked out (cKO) in the developing neocortex. cKO mice exhibited neurodevelopmental defects due to neural progenitor cell (NPC) apoptosis, which led to reduction in cortical layer neurons. cKO NPCs formed DNA bridges during mitosis and underwent chromosome missegregation. SMC5/6 depletion triggers a CHEK2-p53 DNA damage response, as concomitant deletion of the tumor suppressor or DNA damage checkpoint kinase rescued cKO neurodevelopmental defects. Further assessment using cKO and auxin-inducible degron systems demonstrated that absence of SMC5/6 leads to DNA replication stress at late-replicating regions such as pericentromeric heterochromatin. In summary, SMC5/6 is important for completion of DNA replication prior to entering mitosis, which ensures accurate chromosome segregation. Thus, SMC5/6 functions are critical in highly proliferative stem cells during organism development.

摘要

SMC5/6 组件的突变会导致发育缺陷,包括原发性小头畸形。为了模拟神经发育缺陷,我们构建了一种条件敲除(cKO)发育中的新皮层的小鼠模型。由于神经祖细胞(NPC)凋亡,cKO 小鼠表现出神经发育缺陷,这导致皮质层神经元减少。cKO NPC 在有丝分裂过程中形成 DNA 桥,并经历染色体错误分离。SMC5/6 的耗竭会触发 CHEK2-p53 DNA 损伤反应,因为同时删除肿瘤抑制基因或 DNA 损伤检查点激酶可以挽救 cKO 的神经发育缺陷。进一步使用 cKO 和生长素诱导的降解结构域系统进行评估表明,SMC5/6 的缺失会导致 DNA 复制压力出现在晚复制区域,如着丝粒异染色质。总之,SMC5/6 对于在进入有丝分裂之前完成 DNA 复制很重要,这确保了染色体的准确分离。因此,SMC5/6 在生物体发育过程中高度增殖的干细胞中发挥着重要作用。

https://cdn.ncbi.nlm.nih.gov/pmc/blobs/1fea/7723410/c94d6186852c/elife-61171-fig1.jpg

文献AI研究员

20分钟写一篇综述,助力文献阅读效率提升50倍。

立即体验

用中文搜PubMed

大模型驱动的PubMed中文搜索引擎

马上搜索

文档翻译

学术文献翻译模型,支持多种主流文档格式。

立即体验