Suppr超能文献

阿尔及利亚百里香和方氏百里香对大鼠慢性缩窄性损伤诱导的神经性疼痛具有神经保护作用。

Thymus algeriensis and Thymus fontanesii exert neuroprotective effect against chronic constriction injury-induced neuropathic pain in rats.

作者信息

Rezq Samar, Alsemeh Amira E, D'Elia Luigi, El-Shazly Assem M, Monti Daria Maria, Sobeh Mansour, Mahmoud Mona F

机构信息

Department of Pharmacology and Toxicology, Faculty of Pharmacy, Zagazig University, Zagazig, 44519, Egypt.

Department of Anatomy and Embryology, Faculty of Medicine, Zagazig University, Zagazig, Egypt.

出版信息

Sci Rep. 2020 Nov 25;10(1):20559. doi: 10.1038/s41598-020-77424-0.

Abstract

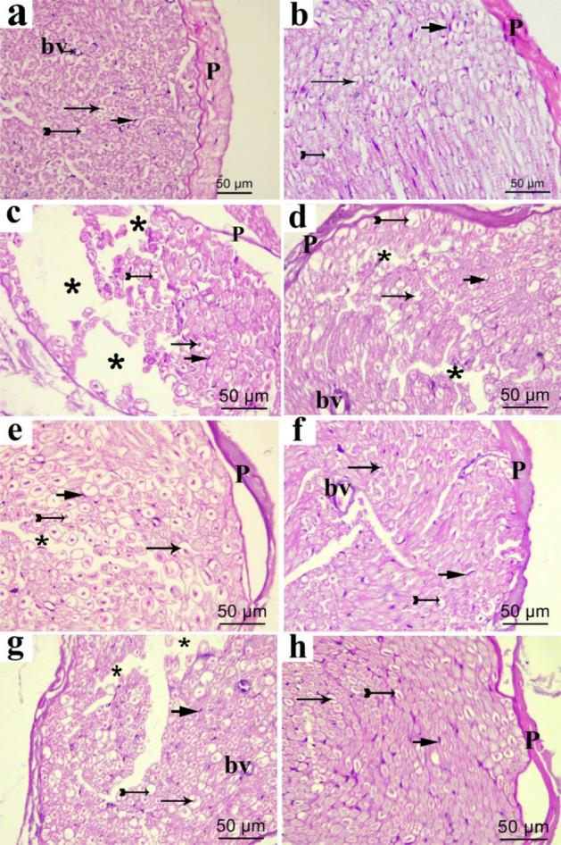
We have previously demonstrated that the Thymus algeriensis and Thymus fontanesii extracts have powerful anti-inflammatory, antipyretic, and analgesic effects against acute pain models. We profiled their chemical composition and found many phenolic acids, flavonoids, and phenolic diterpenes. In this work, we investigated their antioxidant properties on HaCaT cells exposed to UVA-induced oxidative stress and examined their effects against chronic neuropathic pain and the underlying mechanisms. Through a rat chronic constriction injury (CCI) model, we induced chronic neuropathic pain by placing 4 loose ligatures around the right sciatic nerve for 14 days. Thermal and mechanical hyperalgesia in addition to cold and dynamic allodynia were tested on the day before surgery and on the 7th and 14th post-surgery days. Key markers of the nitrosative and oxidative stresses, in addition to markers of inflammation, were measured at day 14 post surgery. Histopathological examination and immunostaining of both synaptophysin and caspase-3 of sciatic nerve and brain stem were also performed. Results of this study showed that T. algeriensis extract suppresses UVA oxidative stress in HaCaT cells via activation of the Nrf-2 pathway. Both extracts attenuated hyperalgesia and allodynia at 7- and 14-days post-surgery with more prominent effects at day 14 of surgery. Their protective effects against neuropathic pain were mediated by inhibiting NOX-1, iNOS, by increasing the enzyme activity of catalase, and inhibition of inflammatory mediators, NF-κB, TNF-α, lipoxygenase, COX-2 enzymes, and PGE2. Furthermore, they improved deleterious structural changes of the brainstem and sciatic nerve. They also attenuated the increased caspase-3 and synaptophysin. The data indicate that both extracts have neuroprotective effects against chronic constriction injury-induced neuropathic pain. The observed protective effects are partially mediated through attenuation of oxidative and nitrosative stress and suppression of both neuroinflammation and neuronal apoptosis, suggesting substantial activities of both extracts in amelioration of painful peripheral neuropathy.

摘要

我们之前已经证明,阿尔及利亚百里香和丰塔纳氏百里香提取物对急性疼痛模型具有强大的抗炎、解热和镇痛作用。我们分析了它们的化学成分,发现了许多酚酸、黄酮类化合物和酚类二萜。在这项工作中,我们研究了它们对暴露于紫外线A诱导的氧化应激的HaCaT细胞的抗氧化特性,并研究了它们对慢性神经性疼痛的影响及其潜在机制。通过大鼠慢性缩窄损伤(CCI)模型,我们在右侧坐骨神经周围放置4个松结扎14天,诱导慢性神经性疼痛。在手术前一天以及手术后第7天和第14天测试热和机械性痛觉过敏以及冷和动态性痛觉异常。在手术后第14天测量氧化应激和亚硝化应激的关键标志物以及炎症标志物。还对坐骨神经和脑干进行了突触素和半胱天冬酶-3的组织病理学检查和免疫染色。本研究结果表明,阿尔及利亚百里香提取物通过激活Nrf-2途径抑制HaCaT细胞中的紫外线A氧化应激。两种提取物均在手术后7天和14天减轻痛觉过敏和痛觉异常,在手术第14天效果更显著。它们对神经性疼痛的保护作用是通过抑制NOX-1、诱导型一氧化氮合酶,增加过氧化氢酶的酶活性以及抑制炎症介质、核因子κB、肿瘤坏死因子-α、脂氧合酶、环氧化酶-2酶和前列腺素E2来介导的。此外,它们改善了脑干和坐骨神经的有害结构变化。它们还减轻了半胱天冬酶-3和突触素增加的情况。数据表明,两种提取物对慢性缩窄损伤诱导的神经性疼痛均具有神经保护作用。观察到的保护作用部分是通过减轻氧化应激和亚硝化应激以及抑制神经炎症和神经元凋亡来介导的,这表明两种提取物在改善疼痛性周围神经病变方面具有显著活性。

https://cdn.ncbi.nlm.nih.gov/pmc/blobs/2f6b/7688974/17092178c00a/41598_2020_77424_Fig1_HTML.jpg

文献AI研究员

20分钟写一篇综述,助力文献阅读效率提升50倍。

立即体验

用中文搜PubMed

大模型驱动的PubMed中文搜索引擎

马上搜索

文档翻译

学术文献翻译模型,支持多种主流文档格式。

立即体验