Suppr超能文献

马罗匹坦治疗可减轻大鼠周围神经损伤后的氧化应激、内质网应激和神经炎症。

Post-treatment with maropitant reduces oxidative stress, endoplasmic reticulum stress and neuroinflammation on peripheral nerve injury in rats.

机构信息

Department of Agricultural and Environmental Sciences, State University of Santa Cruz, Ilhéus, Brazil.

Department of Biological Sciences, State University of Santa Cruz, Ilhéus, Brazil.

出版信息

PLoS One. 2024 Mar 20;19(3):e0287390. doi: 10.1371/journal.pone.0287390. eCollection 2024.

Abstract

OBJECTIVE

To determine the effective dose and therapeutic potential of maropitant using through expression of mediators of oxidative stress, inflammatory and of the unfolded protein response (UPR) (bio) markers on spinal cord using a model of neuropathic pain induced through chronic constriction injury (CCI) in rats.

STUDY DESIGN

Randomized, blinded, prospective experimental study.

ANIMALS

98 male Wistar rats.

METHODS

Rats were anesthetized with sevoflurane and after CCI, they were randomly assigned to the following groups that received: vehicle, 3, 6, 15, 30 e 50 mg/kg/24q of maropitant. The effect on inflammatory mediators (IL10, TNFα), oxidative stress (GPx, CAT, SOD), microglial (IBA-1) and neuronal (NeuN, TACR1) markers was evaluated though immunohistochemistry and expression levels of markers of hypoxia (HIF1α, Nrf2), antioxidant enzymes (Catalse, Sod1 and GPx1), and endoplasmic reticulum stress mediators (GRP78, CHOP and PERK) through qRT-PCR.

RESULTS

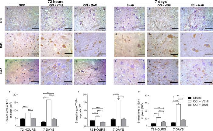
Intraperitoneal injection (IP) of maropitant inhibited nociception with ID50 values of 4,1 mg/kg (5,85-19,36) in a neuropathic pain model through CCI. A dose of 30 mg/kg/24q was significantly effective in reducing mechanical allodynia 1 to 4h after treatment with nociception inhibition (145,83%). A reduction in the expression of hypoxia factors (HIF1α, Nrf2) was observed, along with an increase in antioxidant activity (CAT, SOD and GPX). Additionally, there was a reduction in inflammatory markes (IL10, TNFα), microglial (IBA-1), and neuronal markers (NeuN, TACR1).

CONCLUSION AND CLINICAL RELEVANCE

These findings demonstrate that the determined dose, administered daily for seven days, had an antinociceptive effect, as well as anti-inflammatory and antioxidant activity.

摘要

目的

通过在慢性压迫损伤(CCI)诱导的大鼠神经病理性疼痛模型中表达氧化应激、炎症和未折叠蛋白反应(UPR)的介质(生物)标志物,确定马罗匹坦的有效剂量和治疗潜力。

研究设计

随机、双盲、前瞻性实验研究。

动物

98 只雄性 Wistar 大鼠。

方法

大鼠用七氟醚麻醉,CCI 后,随机分为以下组,分别给予:载体、3、6、15、30 和 50mg/kg/24q 马罗匹坦。通过免疫组织化学评估炎症介质(IL10、TNFα)、氧化应激(GPx、CAT、SOD)、小胶质细胞(IBA-1)和神经元(NeuN、TACR1)标志物的表达水平,并通过 qRT-PCR 评估缺氧标志物(HIF1α、Nrf2)、抗氧化酶(Catalse、Sod1 和 Gpx1)和内质网应激介质(GRP78、CHOP 和 PERK)的表达水平。

结果

腹腔注射(IP)马罗匹坦抑制 CCI 神经病理性疼痛模型中的痛觉,ID50 值为 4.1mg/kg(5.85-19.36)。30mg/kg/24q 的剂量在治疗后 1 至 4 小时内显著有效,可抑制机械性痛觉过敏(145.83%)。观察到缺氧因子(HIF1α、Nrf2)的表达减少,同时抗氧化活性(CAT、SOD 和 GPX)增加。此外,炎症标志物(IL10、TNFα)、小胶质细胞(IBA-1)和神经元标志物(NeuN、TACR1)减少。

结论和临床相关性

这些发现表明,确定的剂量,每天给药一次,持续七天,具有镇痛作用,以及抗炎和抗氧化活性。

https://cdn.ncbi.nlm.nih.gov/pmc/blobs/daf2/10954158/939d5fe2ea76/pone.0287390.g001.jpg

文献AI研究员

20分钟写一篇综述,助力文献阅读效率提升50倍。

立即体验

用中文搜PubMed

大模型驱动的PubMed中文搜索引擎

马上搜索

文档翻译

学术文献翻译模型,支持多种主流文档格式。

立即体验