Suppr超能文献

RYGB 通过胃神经分离增加餐后胃 nesfatin-1 并迅速缓解非酒精性脂肪性肝病。

RYGB increases postprandial gastric nesfatin-1 and rapid relieves NAFLD via gastric nerve detachment.

机构信息

Department of Gastrointestinal Surgery, Union Hospital, Tongji Medical College, Huazhong University of Science and Technology, Wuhan, China.

Department of Gastrointestinal Surgery II, Renmin Hospital of Wuhan University, Wuhan, China.

出版信息

PLoS One. 2020 Dec 10;15(12):e0243640. doi: 10.1371/journal.pone.0243640. eCollection 2020.

Abstract

BACKGROUND

Roux-en-Y gastric bypass (RYGB) could reduce nonalcoholic fatty liver disease (NAFLD) ahead of the weight-loss effects. But the detailed mechanisms remain unclear.

MATERIAL AND METHODS

A high-fat diet (HFD) was fed to induce obesity. RYGB was then performed. Gastric nesfatin-1 was measured by enzyme-linked immunosorbent assay (ELISA) in portal vein and polymerase chain reaction (PCR) in gastric tissues. Modified surgeries including vagus-preserved bypass and vagectomy were performed and postprandial gastric nesfatin-1 were analyzed. The effects of nesfatin-1 on hepatocytes were studied by PCR and immunohistochemistry. Both intraperitoneal and intracerebroventricular injection (ICV) were performed to analyze the in vivo effects on liver lipid metabolism.

RESULTS

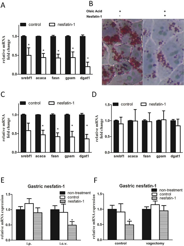
Increased postprandial portal vein nesfatin-1 was observed in RYGB but not in control groups. This increase is mainly due to induction of gastric nesfatin-1. A modified RYGB in which the gastric vagus is preserved is conducted and, in this case, this nesfatin-1 induction effect is diminished. Mere vagectomy could also induce a similar nesfatin-1 increase pattern. The infusion of nesfatin-1 in the brain could inhibit the expression of gastric nesfatin-1, and the effects are diminished after gastric vagectomy. In vivo and in vitro nesfatin-1 stimulation in the liver resulted in improvements in lipid metabolism.

CONCLUSIONS

Severing the gastric vagus during RYGB could cut off the negative control from the central nervous system (CNS) and result in increased postprandial gastric nesfatin-1 post surgery, which in turn, improves NAFLD.

摘要

背景

Roux-en-Y 胃旁路术(RYGB)可以在减肥效果之前减轻非酒精性脂肪性肝病(NAFLD)。但详细机制尚不清楚。

材料和方法

用高脂肪饮食(HFD)喂养以诱导肥胖。然后进行 RYGB。通过酶联免疫吸附测定(ELISA)测量门静脉中的胃 nesfatin-1,并通过聚合酶链反应(PCR)测量胃组织中的胃 nesfatin-1。进行了改良手术,包括保留迷走神经旁路和迷走神经切除术,并分析了餐后胃 nesfatin-1。通过 PCR 和免疫组织化学研究 nesfatin-1 对肝细胞的影响。通过腹腔内和脑室内注射(ICV)进行分析对肝脏脂质代谢的体内影响。

结果

在 RYGB 中观察到餐后门静脉 nesfatin-1 增加,但在对照组中没有。这种增加主要是由于胃 nesfatin-1 的诱导。进行了一种改良的 RYGB,其中保留了胃迷走神经,在这种情况下,这种 nesfatin-1 诱导作用会减弱。单纯的迷走神经切除术也可以诱导类似的 nesfatin-1 增加模式。脑内输注 nesfatin-1 可抑制胃 nesfatin-1 的表达,胃迷走神经切除后,其作用减弱。体内和体外 nesfatin-1 刺激肝脏可改善脂质代谢。

结论

在 RYGB 过程中切断胃迷走神经可以切断来自中枢神经系统(CNS)的负反馈,导致术后餐后胃 nesfatin-1 增加,从而改善 NAFLD。

https://cdn.ncbi.nlm.nih.gov/pmc/blobs/3254/7728189/a932daf10521/pone.0243640.g001.jpg

文献AI研究员

20分钟写一篇综述,助力文献阅读效率提升50倍。

立即体验

用中文搜PubMed

大模型驱动的PubMed中文搜索引擎

马上搜索

文档翻译

学术文献翻译模型,支持多种主流文档格式。

立即体验