Suppr超能文献

槲皮苷减轻软骨细胞外基质降解并延缓前交叉韧带切断术大鼠骨关节炎的发展:一项体内和体外研究。

Quercitrin alleviates cartilage extracellular matrix degradation and delays ACLT rat osteoarthritis development: An in vivo and in vitro study.

作者信息

Guo Hanli, Yin Weifeng, Zou Ziling, Zhang Chao, Sun Minghui, Min Lingtian, Yang Lei, Kong Lingyi

机构信息

Jiangsu Key Laboratory of Bioactive Natural Product Research and State Key Laboratory of Natural Medicines, School of Traditional Chinese Pharmacy, China Pharmaceutical University, Nanjing 210009, China.

Department of Orthopedics, Tongji Hospital, Tongji Medical College, Huazhong University of Science and Technology, Wuhan 430030, China.

出版信息

J Adv Res. 2020 Jun 24;28:255-267. doi: 10.1016/j.jare.2020.06.020. eCollection 2021 Feb.

Abstract

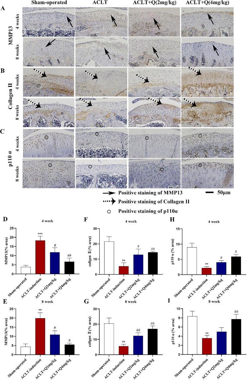
Disruptions of extracellular matrix (ECM) degradation homeostasis play a significant role in the pathogenesis of osteoarthritis (OA). Matrix metalloproteinase 13 (MMP13) and collagen Ⅱ are important components of ECM. Earlier we found that quercitrin could significantly decrease MMP13 gene expression and increase collagen Ⅱ gene expression in IL-1β-induced rat chondrocytes and human chondrosarcoma (SW1353) cells. The effects and mechanism of quercitrin on OA were explored. Molecular mechanisms of quercitrin on OA were studied in vitro in primary chondrocytes and SW1353 cells. An anterior cruciate ligament transection (ACLT) rat model of OA was used to investigate the effect of quercitrin in vivo. Micro-CT analysis and Safranin O-Fast Green Staining of knee joint samples were performed to observe the damage degree of tibial subchondral bone. Immunohistochemistry of knee joint samples were conducted to observe the protein level of MMP13, collagen Ⅱ and p110α in articular cartilage. In vitro, quercitrin promoted cell proliferation and delayed ECM degradation by regulating MMP13 and collagen II gene and protein expressions. Moreover, quercitrin activated the Phosphatidylinositol 3-kinase p110α (p110α)/AKT/mTOR signaling pathway by targeting p110α. We also firstly showed that the gene expression level of p110α was remarkably decreased in cartilage of OA patients. The results showed that intra-articular injection of quercitrin increased bone volume/tissue volume of tibial subchondral bone and cartilage thickness and reduced the Osteoarthritis Research Society International scores in OA rats. Meanwhile, immunohistochemical results showed that quercitrin exerted anti-OA effect by delaying ECM degradation. These findings suggested that quercitrin may be a prospective disease-modifying OA drug for prevention and treatment of early stage OA.

摘要

细胞外基质(ECM)降解稳态的破坏在骨关节炎(OA)的发病机制中起重要作用。基质金属蛋白酶13(MMP13)和Ⅱ型胶原蛋白是ECM的重要组成部分。我们先前发现,槲皮苷可显著降低白细胞介素-1β诱导的大鼠软骨细胞和人软骨肉瘤(SW1353)细胞中MMP13基因的表达,并增加Ⅱ型胶原蛋白基因的表达。本研究探讨了槲皮苷对OA的作用及其机制。在原代软骨细胞和SW1353细胞中对槲皮苷作用于OA的分子机制进行了体外研究。采用前交叉韧带横断(ACLT)大鼠OA模型研究槲皮苷在体内的作用。对膝关节样本进行显微CT分析和番红O-固绿染色,以观察胫骨软骨下骨的损伤程度。对膝关节样本进行免疫组织化学检测,以观察关节软骨中MMP13、Ⅱ型胶原蛋白和p110α的蛋白水平。在体外,槲皮苷通过调节MMP13和Ⅱ型胶原蛋白的基因及蛋白表达促进细胞增殖并延缓ECM降解。此外,槲皮苷通过靶向p110α激活磷脂酰肌醇3激酶p110α(p110α)/AKT/mTOR信号通路。我们还首次发现OA患者软骨中p110α的基因表达水平显著降低。结果显示,关节腔内注射槲皮苷可增加OA大鼠胫骨软骨下骨的骨体积/组织体积和软骨厚度,并降低国际骨关节炎研究学会评分。同时,免疫组织化学结果表明,槲皮苷通过延缓ECM降解发挥抗OA作用。这些研究结果提示,槲皮苷可能是一种用于预防和治疗早期OA的有前景的改善病情抗风湿药物。

https://cdn.ncbi.nlm.nih.gov/pmc/blobs/504c/7753236/0a0ea37c2a8b/ga1.jpg

文献AI研究员

20分钟写一篇综述,助力文献阅读效率提升50倍。

立即体验

用中文搜PubMed

大模型驱动的PubMed中文搜索引擎

马上搜索

文档翻译

学术文献翻译模型,支持多种主流文档格式。

立即体验