Suppr超能文献

USP22 通过调节受体相互作用蛋白激酶 3 的泛素化来控制细胞坏死。

USP22 controls necroptosis by regulating receptor-interacting protein kinase 3 ubiquitination.

机构信息

Institute for Experimental Cancer Research in Pediatrics, Goethe-University, Frankfurt am Main, Germany.

Institute of Molecular Biology (IMB), Mainz, Germany.

出版信息

EMBO Rep. 2021 Feb 3;22(2):e50163. doi: 10.15252/embr.202050163. Epub 2020 Dec 28.

Abstract

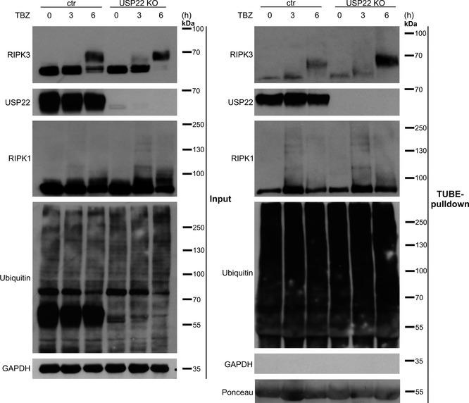
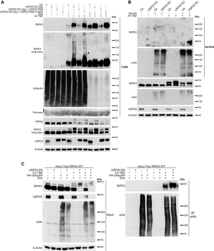
Dynamic control of ubiquitination by deubiquitinating enzymes is essential for almost all biological processes. Ubiquitin-specific peptidase 22 (USP22) is part of the SAGA complex and catalyzes the removal of mono-ubiquitination from histones H2A and H2B, thereby regulating gene transcription. However, novel roles for USP22 have emerged recently, such as tumor development and cell death. Apart from apoptosis, the relevance of USP22 in other programmed cell death pathways still remains unclear. Here, we describe a novel role for USP22 in controlling necroptotic cell death in human tumor cell lines. Loss of USP22 expression significantly delays TNFα/Smac mimetic/zVAD.fmk (TBZ)-induced necroptosis, without affecting TNFα-mediated NF-κB activation or extrinsic apoptosis. Ubiquitin remnant profiling identified receptor-interacting protein kinase 3 (RIPK3) lysines 42, 351, and 518 as novel, USP22-regulated ubiquitination sites during necroptosis. Importantly, mutation of RIPK3 K518 reduced necroptosis-associated RIPK3 ubiquitination and amplified necrosome formation and necroptotic cell death. In conclusion, we identify a novel role of USP22 in necroptosis and further elucidate the relevance of RIPK3 ubiquitination as crucial regulator of necroptotic cell death.

摘要

去泛素化酶对泛素化的动态调控对于几乎所有的生物过程都是至关重要的。泛素特异性肽酶 22(USP22)是 SAGA 复合物的一部分,能够催化组蛋白 H2A 和 H2B 上单泛素化的去除,从而调节基因转录。然而,USP22 的新作用最近已经显现,如肿瘤发生和细胞死亡。除了细胞凋亡,USP22 在其他程序性细胞死亡途径中的相关性仍然不清楚。在这里,我们描述了 USP22 在控制人类肿瘤细胞系中坏死性细胞死亡中的新作用。USP22 表达的缺失显著延迟了 TNFα/Smac 模拟物/zVAD.fmk(TBZ)诱导的坏死性细胞死亡,而不影响 TNFα 介导的 NF-κB 激活或外在凋亡。泛素残基谱分析确定受体相互作用蛋白激酶 3(RIPK3)赖氨酸 42、351 和 518 是坏死性细胞死亡过程中 USP22 调节的新的泛素化位点。重要的是,RIPK3 K518 的突变减少了坏死相关的 RIPK3 泛素化,并放大了坏死小体的形成和坏死性细胞死亡。总之,我们确定了 USP22 在坏死性细胞死亡中的新作用,并进一步阐明了 RIPK3 泛素化作为坏死性细胞死亡关键调节因子的相关性。

https://cdn.ncbi.nlm.nih.gov/pmc/blobs/d268/7857539/0c105541af57/EMBR-22-e50163-g002.jpg

文献AI研究员

20分钟写一篇综述,助力文献阅读效率提升50倍。

立即体验

用中文搜PubMed

大模型驱动的PubMed中文搜索引擎

马上搜索

文档翻译

学术文献翻译模型,支持多种主流文档格式。

立即体验