Suppr超能文献

细胞凋亡抑制蛋白(IAP)家族蛋白和线性泛素链组装复合体(LUBAC)对坏死小体相关的受体相互作用蛋白1(RIP1)泛素化有着不同的调控作用。

Cellular IAP proteins and LUBAC differentially regulate necrosome-associated RIP1 ubiquitination.

作者信息

de Almagro M C, Goncharov T, Newton K, Vucic D

机构信息

Department of Early Discovery Biochemistry, Genentech Inc., South San Francisco, CA 94080, USA.

Department of Physiological Chemistry, Genentech Inc., South San Francisco, CA 94080, USA.

出版信息

Cell Death Dis. 2015 Jun 25;6(6):e1800. doi: 10.1038/cddis.2015.158.

Abstract

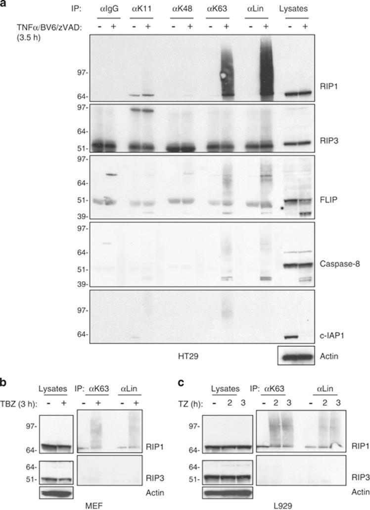
Necroptosis is a caspase-independent regulated type of cell death that relies on receptor-interacting protein kinases RIP1 (receptor-interacting protein kinases 1) and RIP3. Tumor necrosis factor-α (TNFα)-stimulated assembly of the TNFR1 (TNF receptor 1)-associated signaling complex leads to the recruitment of RIP1, whose ubiquitination is mediated by the cellular inhibitors of apoptosis (c-IAPs). Translocation of RIP1 to the cytoplasm and association of RIP1 with the necrosome is believed to correlate with deubiquitination of RIP1. However, we found that RIP1 is ubiquitinated with K63 and linear polyubiquitin chains during TNFα, IAP antagonist BV6 and caspase inhibitor zVAD-fmk-induced necroptotic signaling. Furthermore, ubiquitinated RIP1 is associated with the necrosome, and RIP1 ubiquitination in the necrosome coincides with RIP3 phosphorylation. Both cellular IAPs and LUBAC (linear ubiquitin chain assembly complex) modulate RIP1 ubiquitination in IAP antagonist-treated necrotic cells, but they use different mechanisms. c-IAP1 regulates RIP1 recruitment to the necrosome without directly affecting RIP1 ubiquitination, whereas HOIP and HOIL1 mediate linear ubiquitination of RIP1 in the necrosome, but are not essential for necrosome formation. Knockdown of the E3 ligase c-IAP1 decreased RIP1 ubiquitination, necrosome assembly and necroptosis induced by TNFα, BV6 and zVAD-fmk. c-IAP1 deficiency likely decreases necroptotic cell death through the activation of the noncanonical NF-κB pathway and consequent c-IAP2 upregulation. The ability to upregulate c-IAP2 could determine whether c-IAP1 absence will have a positive or negative impact on TNFα-induced necroptotic cell death and necrosome formation. Collectively, these results reveal unexpected complexity of the roles of IAP proteins, IAP antagonists and LUBAC in the regulation of necrosome assembly.

摘要

坏死性凋亡是一种不依赖半胱天冬酶的程序性细胞死亡,依赖于受体相互作用蛋白激酶RIP1(受体相互作用蛋白激酶1)和RIP3。肿瘤坏死因子-α(TNFα)刺激TNFR1(肿瘤坏死因子受体1)相关信号复合物的组装,导致RIP1的募集,其泛素化由细胞凋亡抑制因子(c-IAPs)介导。RIP1易位至细胞质并与坏死小体结合,这一过程被认为与RIP1的去泛素化相关。然而,我们发现,在TNFα、IAP拮抗剂BV6和半胱天冬酶抑制剂zVAD-fmk诱导的坏死性凋亡信号转导过程中,RIP1被K63和线性多聚泛素链泛素化。此外,泛素化的RIP1与坏死小体相关,坏死小体中的RIP1泛素化与RIP3磷酸化同时发生。细胞IAPs和线性泛素链组装复合物(LUBAC)均调节IAP拮抗剂处理的坏死细胞中RIP1的泛素化,但它们的作用机制不同。c-IAP1调节RIP1募集至坏死小体,而不直接影响RIP1的泛素化,而HOIP和HOIL1介导坏死小体中RIP1的线性泛素化,但对坏死小体的形成并非必需。敲低E3连接酶c-IAP1可降低TNFα、BV6和zVAD-fmk诱导的RIP1泛素化、坏死小体组装和坏死性凋亡。c-IAP1缺陷可能通过激活非经典NF-κB途径并导致c-IAP2上调,从而降低坏死性凋亡细胞死亡。上调c-IAP2的能力可能决定c-IAP1缺失对TNFα诱导的坏死性凋亡细胞死亡和坏死小体形成是产生正向还是负向影响。总之,这些结果揭示了IAP蛋白、IAP拮抗剂和LUBAC在坏死小体组装调节中的作用存在意想不到的复杂性。

https://cdn.ncbi.nlm.nih.gov/pmc/blobs/58fb/4669837/6cb2ef55dcdf/cddis2015158f1.jpg

文献AI研究员

20分钟写一篇综述,助力文献阅读效率提升50倍。

立即体验

用中文搜PubMed

大模型驱动的PubMed中文搜索引擎

马上搜索

文档翻译

学术文献翻译模型,支持多种主流文档格式。

立即体验