Suppr超能文献

血浆 ctDNA 作为接受 pembrolizumab 和个体化新抗原衍生多肽疫苗治疗的转移性高危上尿路上皮癌患者纵向监测潜在生物标志物的应用:一例报告。

Use of plasma ctDNA as a potential biomarker for longitudinal monitoring of a patient with metastatic high-risk upper tract urothelial carcinoma receiving pembrolizumab and personalized neoepitope-derived multipeptide vaccinations: a case report.

机构信息

Praxis für Humangenetik Tübingen, Tuebingen, Germany.

CeGaT GmbH, Tuebingen, Germany.

出版信息

J Immunother Cancer. 2021 Jan;9(1). doi: 10.1136/jitc-2020-001406.

Abstract

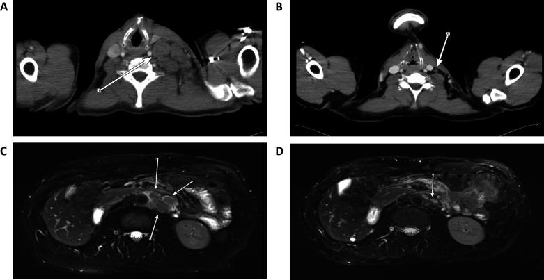
Upper tract urothelial carcinoma (UTUC) is often diagnosed late and exhibits poor prognosis. Only limited data are available concerning therapeutic regimes and potential biomarkers for disease monitoring. Standard therapies often provide only insufficient treatment options. Hence, immunotherapies and complementary approaches, such as personalized neoepitope-derived multipeptide vaccine (PNMV), come into focus. In this context, genetic analysis of tumor tissue by whole exome sequencing represents an essential diagnostic step in order to calculate tumor mutational burden (TMB) and to reveal tumor-specific neoantigens. Furthermore, disease progression is essential to be monitored. Longitudinal screening of individually known mutations in plasma circulating tumor DNA (ctDNA) by the use of next-generation sequencing and digital droplet PCR (ddPCR) might be a promising method to fill this gap.Here, we present the case of a 55-year-old man who was diagnosed with high-risk metastatic UTUC in 2015. After initial surgery and palliative chemotherapy, he developed recurrence of the tumor. Genetic analysis revealed a high TMB of 41.2 mutations per megabase suggesting a potential success of immunotherapy. Therefore, in 2016, off-label treatment with the checkpoint-inhibitor pembrolizumab was started leading to strong regression of the disease. This therapy was then discontinued due to side effects and treatment with a previously produced PNMV was started that induced strong T cell responses. During both treatments, plasma Liquid Biopsies (pLBs) were performed to measure the number of mutated molecules per mL plasma (MM/mL) of a known tumor-specific variant in the gene by ddPCR for longitudinal monitoring. Under treatment, MM/mL was constantly zero. A few months after all therapies had been discontinued, an increase of MM/mL was detected that persisted in the following pLBs. When MRI scans proved tumor recurrence, treatment with pembrolizumab was started again leading to a rapid decrease of MM/mL in the pLB to again zero. Treatment response was then also confirmed by MRI.This case shows that use of immunotherapy and PNMV might be a promising treatment option for patients with high-risk metastatic UTUC. Furthermore, measurement of individually known tumor mutations in plasma ctDNA by the use of pLB could be a very sensitive biomarker to longitudinally monitor disease.

摘要

上尿路尿路上皮癌(UTUC)常被诊断为晚期,预后较差。目前关于治疗方案和疾病监测的潜在生物标志物的相关数据非常有限。标准疗法通常只能提供有限的治疗选择。因此,免疫疗法和补充疗法,如个性化新抗原衍生的多肽疫苗(PNMV),成为关注的焦点。在这种情况下,通过全外显子组测序对肿瘤组织进行基因分析是计算肿瘤突变负担(TMB)并揭示肿瘤特异性新抗原的重要诊断步骤。此外,疾病的进展是必须要监测的。通过使用下一代测序和数字液滴 PCR(ddPCR)对血浆循环肿瘤 DNA(ctDNA)中个体已知突变进行纵向筛查,可能是一种很有前途的方法来填补这一空白。在此,我们报告了一位 55 岁男性的病例,他于 2015 年被诊断为高危转移性 UTUC。在初始手术和姑息性化疗后,他的肿瘤复发。基因分析显示 TMB 为 41.2 个突变/兆碱基,提示免疫治疗可能有效。因此,2016 年,开始使用免疫检查点抑制剂派姆单抗进行非适应证治疗,导致疾病明显缓解。由于副作用,该治疗随后被停止,并开始使用之前生产的 PNMV,该药物诱导了强烈的 T 细胞反应。在两种治疗过程中,均进行了血浆液体活检(pLB),通过 ddPCR 测量基因中已知肿瘤特异性变体的每毫升血浆中的突变分子数(MM/mL),进行纵向监测。在治疗期间,MM/mL 始终为零。在所有治疗停止后几个月,检测到 MM/mL 增加,且在随后的 pLB 中持续存在。当 MRI 扫描证实肿瘤复发时,再次开始使用派姆单抗治疗,导致 pLB 中的 MM/mL 迅速下降至零。然后通过 MRI 确认了治疗反应。该病例表明,免疫疗法和 PNMV 的联合应用可能是高危转移性 UTUC 患者的一种有前途的治疗选择。此外,使用 pLB 测量血浆 ctDNA 中的个体已知肿瘤突变可能是一种非常敏感的生物标志物,可用于纵向监测疾病。

https://cdn.ncbi.nlm.nih.gov/pmc/blobs/25aa/7802705/2d0308f77307/jitc-2020-001406f01.jpg

文献AI研究员

20分钟写一篇综述,助力文献阅读效率提升50倍。

立即体验

用中文搜PubMed

大模型驱动的PubMed中文搜索引擎

马上搜索

文档翻译

学术文献翻译模型,支持多种主流文档格式。

立即体验