Suppr超能文献

Notch 信号通路在胰胆管肿瘤中的作用。

Notch Signaling Pathway in Pancreatobiliary Tumors.

机构信息

Department of Surgery, Experimental Surgery, Campus Charité Mitte, Campus Virchow Klinikum, Charité-Universitätsmedizin Berlin, Corporate Member of Freie Universität Berlin, Humboldt-Universität zu Berlin, and Berlin Institute of Health, 10117 Berlin, Germany.

出版信息

Medicina (Kaunas). 2021 Jan 24;57(2):105. doi: 10.3390/medicina57020105.

Abstract

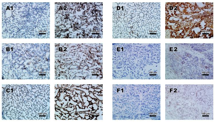
The Notch signaling pathway plays an important role both in the development of the ductal systems of the pancreas and the bile ducts as well as in cancer development and progression. The aim of this study was to examine the expression of central proteins of the Notch signaling pathway in pancreatobiliary tumors and its influence on patient survival. We compared the receptors (Notch1, Notch4), activating splicing factors (ADAM17), and target genes (HES1) of the Notch pathway and progenitor cell markers with relevance for the Notch signaling pathway (CD44, MSI1) between pancreatic adenocarcinomas (PDAC, = 14), intrahepatic cholangiocarcinoma (iCC, = 24), and extrahepatic cholangiocarcinoma (eCC, = 22) cholangiocarcinomas via immunohistochemistry and ImageJ software-assisted analysis. An Immunohistochemistry (IHC)-score was determined by the percentage and intensity of stained (positive) cells (scale 0-7) and normal and malignant tissue was compared. In the IHC results, patients' (gender, age) and tumor (TNM Classification of Malignant Tumors, Union Internationale contre le Cancer (UICC) stages, grading, and lymphangitic carcinomatosa) characteristics were correlated to patient survival. Results: For eCC, the expression of CD44 ( = 0.043, IHC-score 3.94 vs. 3.54) and for iCC, the expression of CD44 ( = 0.026, IHC-score 4.04 vs. 3.48) and Notch1 ( < 0.001, IHC-score 2.87 vs. 1.78) was significantly higher in the tumor compared to non-malignant tissue. For PDAC, the expression of ADAM17 ( = 0.008, IHC-score 3.43 vs. 1.73), CD44 ( = 0.012, IHC-score 3.64 vs. 2.27), Notch1 ( = 0.012, IHC-score 2.21 vs. 0.64), and Notch4 ( = 0.008, IHC-score 2.86 vs. 0.91) was significantly higher in the tumor tissue. However, none of the analyzed Notch-signaling related components showed an association to patient survival. A significant overexpression of almost all studied components of the Notch signaling pathway can be found in the tumor tissue, however, without a significant influence on patient survival. Therefore, further studies are warranted to draw conclusions on Notch pathway's relevance for patient survival.

摘要

Notch 信号通路在胰腺导管系统和胆管的发育以及癌症的发生和发展中都起着重要作用。本研究的目的是研究 Notch 信号通路的中心蛋白在胰胆管肿瘤中的表达及其对患者生存的影响。

我们通过免疫组织化学和 ImageJ 软件辅助分析,比较了胰腺腺癌(PDAC,n=14)、肝内胆管癌(iCC,n=24)和肝外胆管癌(eCC,n=22)中 Notch 通路的受体(Notch1、Notch4)、激活剪接因子(ADAM17)和靶基因(HES1)以及与 Notch 信号通路相关的祖细胞标志物(CD44、MSI1)。通过阳性细胞的百分比和强度(范围 0-7)来确定免疫组织化学(IHC)评分,并比较正常组织和肿瘤组织。在 IHC 结果中,比较了患者(性别、年龄)和肿瘤(恶性肿瘤的 TNM 分类、国际抗癌联盟(UICC)分期、分级和淋巴管癌栓形成)的特征与患者生存的关系。

结果

对于 eCC,CD44 的表达(p=0.043,IHC 评分 3.94 比 3.54)和对于 iCC,CD44 的表达(p=0.026,IHC 评分 4.04 比 3.48)和 Notch1 的表达(p<0.001,IHC 评分 2.87 比 1.78)在肿瘤组织中明显高于非恶性组织。对于 PDAC,ADAM17 的表达(p=0.008,IHC 评分 3.43 比 1.73)、CD44 的表达(p=0.012,IHC 评分 3.64 比 2.27)、Notch1 的表达(p=0.012,IHC 评分 2.21 比 0.64)和 Notch4 的表达(p=0.008,IHC 评分 2.86 比 0.91)在肿瘤组织中明显升高。然而,在 Notch 信号通路相关成分中,没有一个与患者生存相关。

几乎所有研究的 Notch 信号通路成分在肿瘤组织中都有过度表达,但对患者生存没有显著影响。因此,需要进一步研究以得出 Notch 通路对患者生存的相关性的结论。

https://cdn.ncbi.nlm.nih.gov/pmc/blobs/4937/7911049/34a1b49073fb/medicina-57-00105-g001.jpg

文献AI研究员

20分钟写一篇综述,助力文献阅读效率提升50倍。

立即体验

用中文搜PubMed

大模型驱动的PubMed中文搜索引擎

马上搜索

文档翻译

学术文献翻译模型,支持多种主流文档格式。

立即体验