Suppr超能文献

吲哚并[2,3-]喹啉类天然产物类似物——新阿朴啡生物碱的体外和体内抗肿瘤活性。

In Vitro and In Vivo Antitumor Activity of Indolo[2,3-] Quinolines, Natural Product Analogs from Neocryptolepine Alkaloid.

机构信息

Department of Pharmaceutical Sciences, College of Pharmacy, Princess Nourah bint Abdulrahman University, Riyadh P.O. Box 84428, Saudi Arabia.

Department of Chemistry, Faculty of Science, Menoufia University, Shebin El Koom P.O. Box 32511, Egypt.

出版信息

Molecules. 2021 Feb 1;26(3):754. doi: 10.3390/molecules26030754.

Abstract

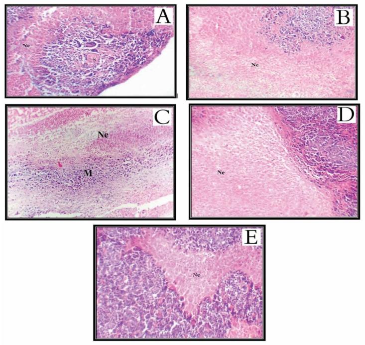
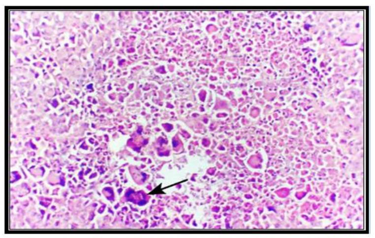
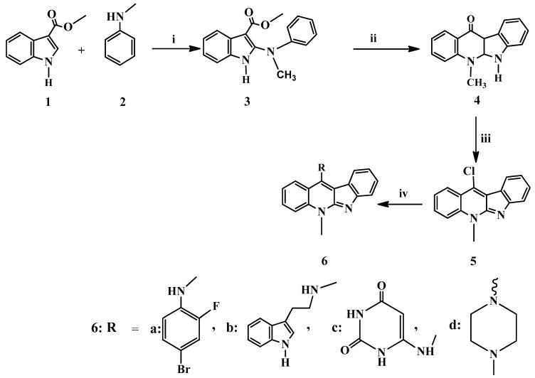
Neocryptolepine (5-methyl-5H-indolo[2,3-b] quinoline) analogs were synthesized and evaluated in vitro and in vivo for their effect versus Ehrlich ascites carcinoma (EAC). The analogs showed stronger cytotoxic activity against EAC cells than the reference drug. The in vivo evaluation of the target compounds against EAC-induced solid tumor in the female albino Swiss mice revealed a remarkable decrease in the tumor volume (TV) and hepatic lipid peroxidation. A noticeable increase of both superoxide dismutase (SOD) and catalase (CAT) levels was reported ( < 0.001), which set-forth proof of their antioxidant effect. In addition, the in vitro antioxidant activity of the neocryptolepine analogs was screened out using the DPPH method and showed promising activities activity. The histopathological investigations affirmed that the tested analogs have a remarkable curative effect on solid tumors with minimal side-effect on the liver. The study also includes illustrated mechanism of the antitumor activity at the cell level by flow cytometry. The cell cycle analysis showed that the neocryptolepine analogs extensively increase the aggregation of tumor cells in three phases of the cell cycle (G0/G1, S and G2/M) with the emergence of a hypo-diploid DNA content peak (sub-G1) in the cell cycle experiments, which is a clear-cut for the apoptotic cell population. Furthermore, the immunological study manifested a significant elevation in splenic lymphocyte count ( < 0.001) with the elevation of the responsiveness of lymphocytes to phytohemagglutinin (PHA). These results indicate that these naturally-based neocryptolepine alkaloids exhibit marked antitumor activity in vivo and represent an important lead in the development of natural-based anticancer drugs.

摘要

新隐冬堿(5-甲基-5H-吲哚并[2,3-b]喹啉)类似物被合成并在体外和体内评估其对艾氏腹水癌(EAC)的作用。类似物对 EAC 细胞的细胞毒性活性强于参考药物。对雌性白化瑞士小鼠的 EAC 诱导的实体瘤进行的目标化合物的体内评估显示,肿瘤体积(TV)和肝脂质过氧化显著降低。报告称,超氧化物歧化酶(SOD)和过氧化氢酶(CAT)水平显著增加(<0.001),这证明了它们的抗氧化作用。此外,使用 DPPH 法筛选出新隐冬堿类似物的体外抗氧化活性,并显示出有希望的活性。组织病理学研究证实,测试的类似物对实体瘤具有显著的治疗作用,对肝脏的副作用最小。该研究还包括通过流式细胞术在细胞水平上阐明抗肿瘤活性的机制。细胞周期分析表明,新隐冬堿类似物广泛增加肿瘤细胞在细胞周期的三个阶段(G0/G1、S 和 G2/M)的聚集,并在细胞周期实验中出现亚二倍体 DNA 含量峰(sub-G1),这是凋亡细胞群的明确特征。此外,免疫学研究表明脾淋巴细胞计数显著升高(<0.001),同时淋巴细胞对植物血凝素(PHA)的反应性升高。这些结果表明,这些基于天然的新隐冬堿生物碱在体内表现出显著的抗肿瘤活性,并代表了天然抗癌药物开发的重要先导。

https://cdn.ncbi.nlm.nih.gov/pmc/blobs/0bc7/7867085/15833d148ea7/molecules-26-00754-sch001.jpg

文献AI研究员

20分钟写一篇综述,助力文献阅读效率提升50倍。

立即体验

用中文搜PubMed

大模型驱动的PubMed中文搜索引擎

马上搜索

文档翻译

学术文献翻译模型,支持多种主流文档格式。

立即体验