Suppr超能文献

合成的吲唑喹啉类似物对艾氏腹水瘤荷瘤雌性小鼠肿瘤生长抑制和肝毒性的影响。

Impact of Synthesized Indoloquinoline Analog to Isolates from on Tumor Growth Inhibition and Hepatotoxicity in Ehrlich Solid Tumor-Bearing Female Mice.

机构信息

Zoology Department, Faculty of Science, Menoufia University, Shebin El-Kom 32511, Egypt.

Department of Pharmaceutical Sciences, College of Pharmacy, Princess Nourah bint Abdulrahman University, P.O. Box 84428, Riyadh 11671, Saudi Arabia.

出版信息

Cells. 2023 Mar 27;12(7):1024. doi: 10.3390/cells12071024.

Abstract

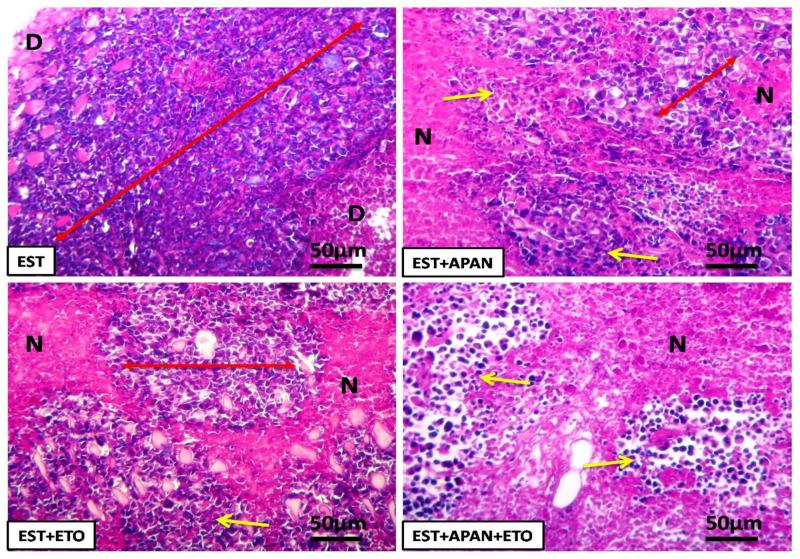
The study evaluated the antitumor efficacy of APAN, "synthesized indoloquinoline analog derived from the parent neocryptolepine isolated from the roots of ", versus the chemotherapeutic drug etoposide (ETO) in Ehrlich solid tumor (EST)-bearing female mice as well as its protective effect against etoposide-triggered hepatic disorders. APAN showed an ameliorative activity against Ehrlich solid tumor and hepatic toxicity, and the greatest improvement was found in the combined treatment of APAN with ETO. The results indicated that EST altered the levels of tumor markers (AFP, CEA, and anti-dsDNA) and liver biomarker function (ALT, AST, ALP, ALB, and T. protein). Furthermore, EST elevated CD68 and anti-survivin proteins immuno-expressions in the solid tumor and liver tissue. Molecular docking studies were demonstrated to investigate their affinity for both TNF-α and topoisomerase II as target proteins, as etoposide is based on the inhibition of topoisomerase II, and TNF-α is quite highly expressed in the solid tumor and liver tissues of EST-bearing animals, which prompted the authors' interest to explore APAN affinity to its binding site. Treatment of mice bearing EST with APAN and ETO nearly regularized serum levels of the altered parameters and ameliorated the impact of EST on the tissue structure of the liver better than that by treatment with each of them separately.

摘要

该研究评估了 APAN(“从根部分离出的母体内质酮衍生的合成吲哚喹啉类似物”)的抗肿瘤功效,与化疗药物依托泊苷(ETO)在荷 Ehrlich 实体瘤(EST)雌性小鼠中的疗效,以及其对依托泊苷引发的肝损伤的保护作用。APAN 对 Ehrlich 实体瘤和肝毒性具有改善作用,联合应用 APAN 和 ETO 的治疗效果最佳。结果表明,EST 改变了肿瘤标志物(AFP、CEA 和抗 dsDNA)和肝生物标志物功能(ALT、AST、ALP、ALB 和 T. 蛋白)的水平。此外,EST 增加了实体瘤和肝组织中 CD68 和抗生存素蛋白的免疫表达。分子对接研究表明,它们对 TNF-α 和拓扑异构酶 II 这两种靶蛋白具有亲和力,因为依托泊苷是基于拓扑异构酶 II 的抑制作用,而 TNF-α 在荷 EST 动物的实体瘤和肝组织中表达水平相当高,这促使作者有兴趣探索 APAN 对其结合位点的亲和力。用 APAN 和 ETO 治疗荷 EST 小鼠,几乎可以使血清中改变的参数水平恢复正常,并比单独用它们治疗更能改善 EST 对肝组织结构的影响。

https://cdn.ncbi.nlm.nih.gov/pmc/blobs/3509/10093181/78747c46920e/cells-12-01024-g001.jpg

文献AI研究员

20分钟写一篇综述,助力文献阅读效率提升50倍。

立即体验

用中文搜PubMed

大模型驱动的PubMed中文搜索引擎

马上搜索

文档翻译

学术文献翻译模型,支持多种主流文档格式。

立即体验