Suppr超能文献

一种特定的 tRNA 半分子,5'tiRNA-His-GTG,通过 HIF1α/ANG 轴对缺氧做出反应,并通过调节 LATS2 促进结直肠癌的进展。

A specific tRNA half, 5'tiRNA-His-GTG, responds to hypoxia via the HIF1α/ANG axis and promotes colorectal cancer progression by regulating LATS2.

机构信息

Division of Gastroenterology and Hepatology, Shanghai Institute of Digestive Disease, State Key Laboratory for Oncogenes and Related Genes, Key Laboratory of Gastroenterology & Hepatology, Ministry of Health, Ren-Ji Hospital, Shanghai Jiao-Tong University School of Medicine, Renji Hospital, 145 Middle Shandong Road, 200001, Shanghai, China.

Institute of Digestive Disease and Department of Medicine and Therapeutics, State Key Laboratory of Digestive Disease, Li Ka Shing Institute of Health Sciences, CUHK Shenzhen Research Institute, The Chinese University of Hong Kong, Hong Kong, 999077, China.

出版信息

J Exp Clin Cancer Res. 2021 Feb 15;40(1):67. doi: 10.1186/s13046-021-01836-7.

Abstract

BACKGROUND

Currently, tRNA-derived small RNAs (tsRNAs) are recognized as a novel and potential type of non-coding RNAs (ncRNAs), which participate in various cellular processes and play an essential role in cancer progression. However, tsRNAs involvement in colorectal cancer (CRC) progression remains unclear.

METHODS

Sequencing analyses were performed to explore the tsRNAs with differential expression in CRC. Gain- and loss-of functions of 5'tiRNA-His-GTG were performed in CRC cells and xenograft tumor to discover its role in the progression of CRC. Hypoxia culture and hypoxia inducible factor 1 subunit alpha (HIF1α) inhibitors were performed to uncover the biogenesis of 5'tiRNA-His-GTG. The regulation of 5'tiRNA-His-GTG for large tumor suppressor kinase 2 (LATS2) were identified by luciferase reporter assay, western blot, and rescue experiments.

RESULTS

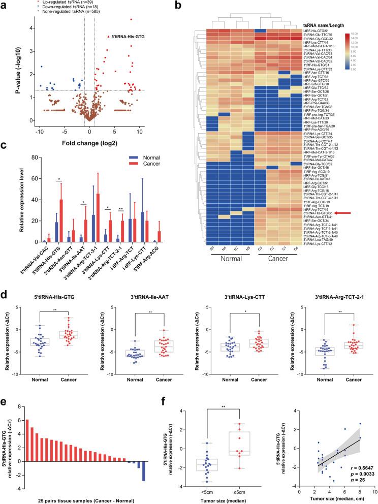
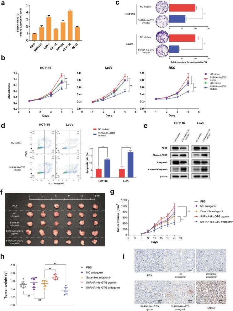
Here, our study uncovered the profile of tsRNAs in human CRC tissues and confirmed a specific tRNA half, 5'tiRNA-His-GTG, is upregulated in CRC tissues. Then, in vitro and in vivo experiments revealed the oncogenic role of 5'tiRNA-His-GTG in CRC and found that targeting 5'tiRNA-His-GTG can induce cell apoptosis. Mechanistically, the generation of 5'tiRNA-His-GTG seems to be a responsive process of tumor hypoxic microenvironment, and it is regulated via the HIF1α/angiogenin (ANG) axis. Remarkably, LATS2 was found to be an important and major target of 5'tiRNA-His-GTG, which renders 5'tiRNA-His-GTG to "turn off" hippo signaling pathway and finally promotes the expression of pro-proliferation and anti-apoptosis related genes.

CONCLUSIONS

In summary, the findings revealed a specific 5'tiRNA-His-GTG-engaged pathway in CRC progression and provided clues to design a novel therapeutic target in CRC.

摘要

背景

目前,tRNA 衍生的小 RNA(tsRNA)被认为是一种新型的潜在非编码 RNA(ncRNA),参与多种细胞过程,在癌症进展中发挥重要作用。然而,tsRNA 参与结直肠癌(CRC)进展的机制尚不清楚。

方法

通过测序分析探索 CRC 中差异表达的 tsRNA。在 CRC 细胞和异种移植肿瘤中进行 5'tiRNA-His-GTG 的增益和缺失功能实验,以发现其在 CRC 进展中的作用。进行低氧培养和缺氧诱导因子 1 亚单位α(HIF1α)抑制剂实验,以揭示 5'tiRNA-His-GTG 的生物发生。通过荧光素酶报告基因检测、Western blot 和挽救实验鉴定 5'tiRNA-His-GTG 对大肿瘤抑制激酶 2(LATS2)的调控作用。

结果

本研究揭示了人类 CRC 组织中 tsRNA 的图谱,并证实了特异性 tRNA 半分子 5'tiRNA-His-GTG 在 CRC 组织中上调。然后,在体外和体内实验中揭示了 5'tiRNA-His-GTG 在 CRC 中的致癌作用,并发现靶向 5'tiRNA-His-GTG 可诱导细胞凋亡。机制上,5'tiRNA-His-GTG 的产生似乎是肿瘤低氧微环境的一种反应过程,通过 HIF1α/血管生成素(ANG)轴进行调节。值得注意的是,LATS2 被发现是 5'tiRNA-His-GTG 的重要主要靶标,它使 5'tiRNA-His-GTG“关闭” Hippo 信号通路,最终促进促增殖和抗凋亡相关基因的表达。

结论

综上所述,该研究揭示了 CRC 进展中特定的 5'tiRNA-His-GTG 相关途径,并为设计 CRC 新的治疗靶点提供了线索。

https://cdn.ncbi.nlm.nih.gov/pmc/blobs/c1e1/7885485/d1cd3ace1001/13046_2021_1836_Fig1_HTML.jpg

文献AI研究员

20分钟写一篇综述,助力文献阅读效率提升50倍。

立即体验

用中文搜PubMed

大模型驱动的PubMed中文搜索引擎

马上搜索

文档翻译

学术文献翻译模型,支持多种主流文档格式。

立即体验