Suppr超能文献

tRNA衍生的小RNA 3'tRF-Ala CGC通过切割结直肠癌中的膜蛋白MICA来阻碍自然杀伤细胞的细胞毒性。

tRNA-derived small RNA 3' tRF-Ala CGC obstructs NK cytotoxicity via cleavage of membrane protein MICA in colorectal cancer.

作者信息

Zhang Jing, Ou Chunlin, Li Xin, Fu Li, Luo Qizhi, Wang Jie, Zou Yizhou

机构信息

Department of Immunology, Xiangya School of Basic Medicine, Central South University, Changsha, Hunan, China.

Department of Pathology, Xiangya Hospital, Central South University, Changsha, Hunan, China.

出版信息

Front Immunol. 2025 Jul 14;16:1620550. doi: 10.3389/fimmu.2025.1620550. eCollection 2025.

Abstract

BACKGROUND

Immune escape remains a major challenge in cancer immunotherapy. Transfer RNA (tRNA)-derived small RNA (tsRNA) represents a novel class of non-coding RNAs generated from tRNA cleavage, regulating gene expression at transcriptional and translational levels. These tsRNAs exhibit diverse biological functions, including immune modulation, metabolic disorders, and cell death. Despite their critical involvement in tumor progression, the role of tsRNAs in Natural killer (NK) cells related to immune escape within colorectal cancer (CRC) has not been revealed yet.

METHODS

High-throughput sequencing and the tRFexplorer database were utilized to compare the profiles of CRC and normal tissues. Techniques such as RT-qPCR, western blotting, and flow cytometry were employed to assess gene and protein expression. The Cell Counting Kit-8 assay, colony formation assay, and apoptosis analysis were used to evaluate tumor heterogeneity. Differential gene expression between the tRF-3021a inhibitor and negative control (NC) in HCT116 cells was quantified and characterized using RNA sequencing.

RESULTS

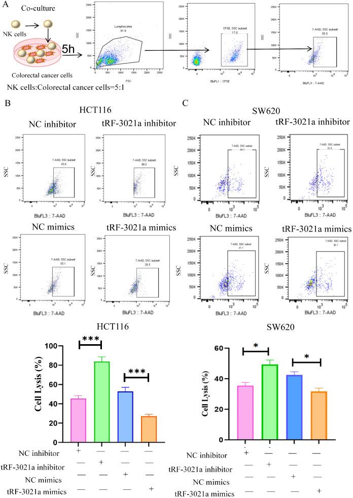
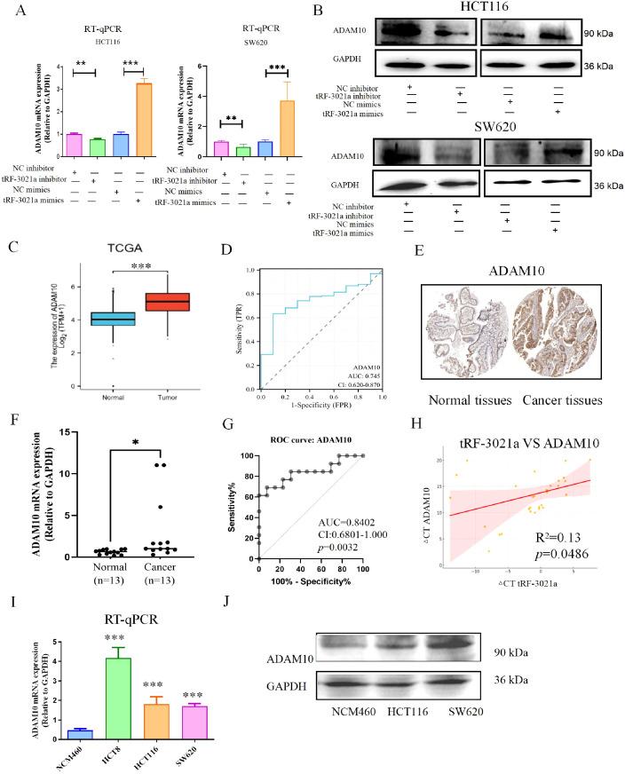
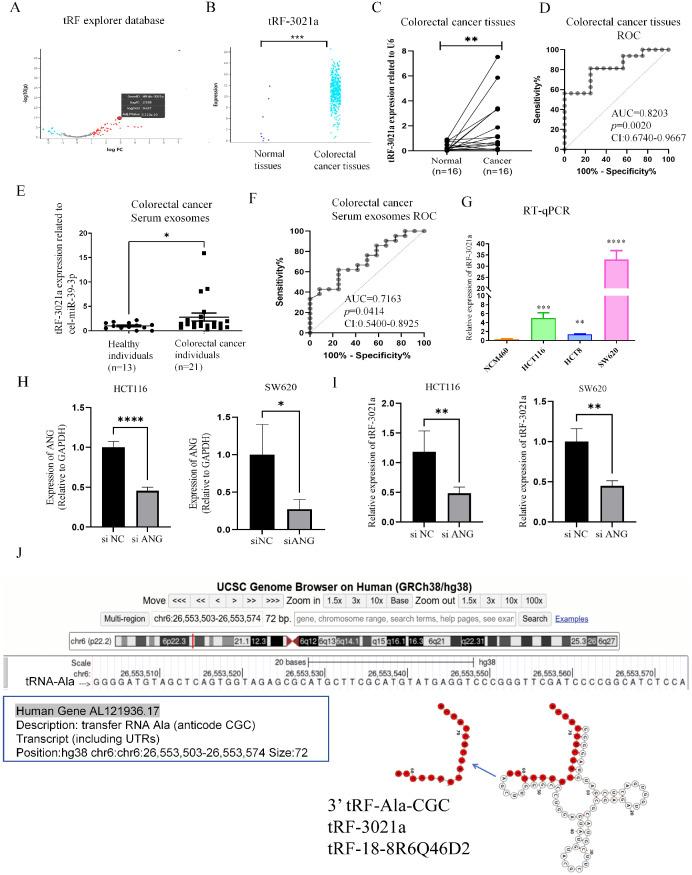
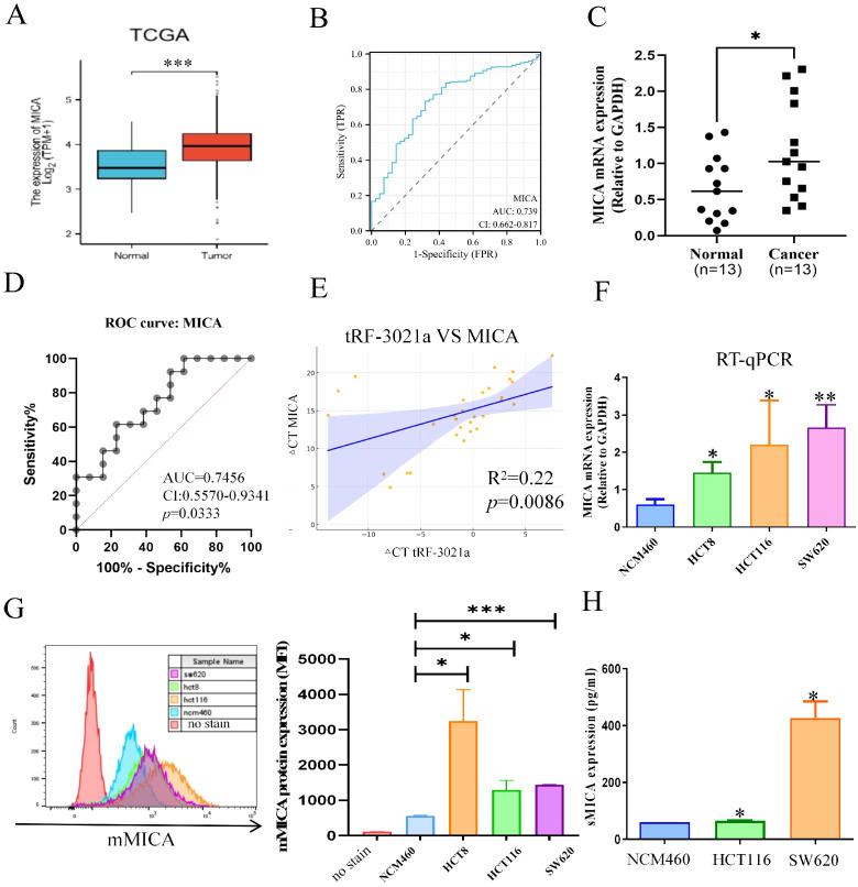
We identified 3' tRF-AlaCGC (tRF-3021a) as significantly upregulated in CRC tissues. Major histocompatibility complex class I related chain A (MICA) is an important and stress-induced ligand of the natural killer group 2 member D receptor (NKG2D) that is expressed in various cancer cells. MICA undergoes post-translational modifications that regulate their expression as they are called membrane-bound MICA (mMICA) at the cancer cell surface. mMICA is a ligand that induces the activation of NK cells. Proteolytic cleavage of mMICA by A Disintegrin Metalloproteinase Domains (ADAMs) is the underlying mechanism in CRC. Mechanistically, tRF-3021a promotes proteolytic cleavage of mMICA by upregulating ADAM10, generating soluble MICA (sMICA). Elevated sMICA acts as a decoy ligand for NKG2D receptors on NK cells, impairing cytotoxicity and facilitating immune escape. Functional assays confirmed that tRF-3021a knockdown enhances NK cell-mediated CRC cell killing, while overexpression promotes CRC proliferation and inhibits apoptosis. Clinically, tRF-3021a is elevated in CRC tissues, serum exosomes, and cell lines, cleaved by ANG, demonstrating diagnostic potential. , experiments provided further evidence that inhibition of tRF-3021a reduce tumorigenicity.

CONCLUSION

Our findings reveal tRF-3021a as a novel biomarker and therapeutic target for CRC immunotherapy.

摘要

背景

免疫逃逸仍然是癌症免疫治疗中的一个主要挑战。转运RNA(tRNA)衍生的小RNA(tsRNA)是一类由tRNA切割产生的新型非编码RNA,在转录和翻译水平上调节基因表达。这些tsRNA具有多种生物学功能,包括免疫调节、代谢紊乱和细胞死亡。尽管它们在肿瘤进展中起着关键作用,但tsRNA在结直肠癌(CRC)中与免疫逃逸相关的自然杀伤(NK)细胞中的作用尚未揭示。

方法

利用高通量测序和tRFexplorer数据库比较CRC组织和正常组织的图谱。采用RT-qPCR、蛋白质印迹和流式细胞术等技术评估基因和蛋白质表达。使用细胞计数试剂盒-8检测、集落形成检测和凋亡分析来评估肿瘤异质性。使用RNA测序对HCT116细胞中tRF-3021a抑制剂与阴性对照(NC)之间的差异基因表达进行定量和表征。

结果

我们鉴定出3'tRF-AlaCGC(tRF-3021a)在CRC组织中显著上调。主要组织相容性复合体I类相关链A(MICA)是自然杀伤细胞2族成员D受体(NKG2D)的一种重要的应激诱导配体,在各种癌细胞中表达。MICA经历翻译后修饰,在癌细胞表面被称为膜结合MICA(mMICA),从而调节其表达。mMICA是一种诱导NK细胞活化的配体。在CRC中,MICA被去整合素金属蛋白酶结构域(ADAMs)进行蛋白水解切割是其潜在机制。从机制上讲,tRF-3021a通过上调ADAM10促进mMICA的蛋白水解切割,产生可溶性MICA(sMICA)。升高的sMICA作为NK细胞上NKG2D受体的诱饵配体,损害细胞毒性并促进免疫逃逸。功能试验证实,敲低tRF-3021a可增强NK细胞介导的CRC细胞杀伤作用,而过表达则促进CRC增殖并抑制凋亡。临床上,tRF-3021a在CRC组织、血清外泌体和细胞系中升高,被ANG切割,具有诊断潜力。 实验提供了进一步的证据,即抑制tRF-3021a可降低肿瘤发生能力。

结论

我们的研究结果揭示了tRF-3021a是CRC免疫治疗的一种新型生物标志物和治疗靶点。

https://cdn.ncbi.nlm.nih.gov/pmc/blobs/ea6c/12301416/9770c9800ef6/fimmu-16-1620550-g001.jpg

文献AI研究员

20分钟写一篇综述,助力文献阅读效率提升50倍。

立即体验

用中文搜PubMed

大模型驱动的PubMed中文搜索引擎

马上搜索

文档翻译

学术文献翻译模型,支持多种主流文档格式。

立即体验