Suppr超能文献

反复轻度创伤性脑损伤后 Exo70 的细胞内重分布。

Exo70 intracellular redistribution after repeated mild traumatic brain injury.

机构信息

Departamento de Biología Celular y Molecular, Facultad de Ciencias Biológicas, Pontificia Universidad Católica de Chile, Av. Libertador Bernardo O´Higgins 340, Santiago, Chile.

Departamento Biomédico, Universidad de Antofagasta, Antofagasta, Chile.

出版信息

Biol Res. 2021 Feb 16;54(1):5. doi: 10.1186/s40659-021-00329-3.

Abstract

BACKGROUND

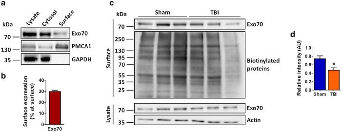
Exo70 is a subunit of the greater exocyst complex, a collection of proteins that oversees cellular membrane addition and polarized exocytosis by acting as a tethering intermediate between the plasma membrane and newly synthesized secretory vesicles. Although Exo70 function has been implicated in several developmental events including cytokinesis and the establishment of cell polarity, its role in neuropathologies is poorly understood. On the other hand, traumatic brain injury is the result of mechanical external force including contusion, fast acceleration, and expansive waves that produce temporal or permanent cognitive damage and triggers physical and psychosocial alterations including headache, memory problems, attention deficits, difficulty thinking, mood swings, and frustration. Traumatic brain injury is a critical health problem on a global scale, constituting a major cause of deaths and disability among young adults. Trauma-related cellular damage includes redistribution of N-methyl-D-aspartate receptors outside of the synaptic compartment triggering detrimental effects to neurons. The exocyst has been related to glutamate receptor constitutive trafficking/delivery towards synapse as well. This work examines whether the exocyst complex subunit Exo70 participates in traumatic brain injury and if it is redistributed among subcellular compartments RESULTS: Our analysis shows that Exo70 expression is not altered upon injury induction. By using subcellular fractionation, we determined that Exo70 is redistributed from microsomes fraction into the synaptic compartment after brain trauma. In the synaptic compartment, we also show that the exocyst complex assembly and its interaction with GluN2B are increased. Finally, we show that the Exo70 pool that is redistributed comes from the plasma membrane.

CONCLUSIONS

The present findings position Exo70 in the group of proteins that could modulate GluN2B synaptic availability in acute neuropathology like a traumatic brain injury. By acting as a nucleator factor, Exo70 is capable of redirecting the ensembled complex into the synapse. We suggest that this redistribution is part of a compensatory mechanism by which Exo70 is able to maintain GluN2B partially on synapses. Hence, reducing the detrimental effects associated with TBI pathophysiology.

摘要

背景

Exo70 是外核蛋白复合物的一个亚基,该复合物由一系列蛋白质组成,通过充当质膜和新合成的分泌小泡之间的连接中间物,负责细胞内膜的添加和极化胞吐作用。虽然 Exo70 的功能已被牵连到包括胞质分裂和细胞极性建立在内的几个发育事件中,但它在神经病理学中的作用知之甚少。另一方面,创伤性脑损伤是机械外力的结果,包括挫伤、快速加速和膨胀波,这些都会导致暂时或永久性的认知损伤,并引发身体和社会心理改变,包括头痛、记忆问题、注意力缺陷、思维困难、情绪波动和挫折感。创伤性脑损伤是一个全球性的严重健康问题,是年轻人死亡和残疾的主要原因。与创伤相关的细胞损伤包括 N-甲基-D-天冬氨酸受体在突触隔室外的重新分布,从而对神经元产生有害影响。外核蛋白复合物也与谷氨酸受体组成型运输/递送到突触有关。这项工作检查了外核蛋白复合物亚基 Exo70 是否参与创伤性脑损伤以及它是否在亚细胞隔室之间重新分布。

结果

我们的分析表明,Exo70 的表达在损伤诱导后没有改变。通过使用亚细胞分级分离,我们确定 Exo70 在脑外伤后从微粒体部分重新分布到突触隔室。在突触隔室中,我们还显示外核蛋白复合物的组装及其与 GluN2B 的相互作用增加。最后,我们表明重新分布的 Exo70 池来自质膜。

结论

目前的研究结果将 Exo70 定位在一组蛋白质中,这些蛋白质可以在急性神经病理学(如创伤性脑损伤)中调节 GluN2B 的突触可及性。作为一个核化因子,Exo70 能够将组装好的复合物重定向到突触。我们认为这种重新分布是 Exo70 能够将部分 GluN2B 维持在突触上的一种补偿机制的一部分。因此,减少与 TBI 病理生理学相关的有害影响。

https://cdn.ncbi.nlm.nih.gov/pmc/blobs/a020/7885507/a957c2109ae2/40659_2021_329_Fig1_HTML.jpg

文献AI研究员

20分钟写一篇综述,助力文献阅读效率提升50倍。

立即体验

用中文搜PubMed

大模型驱动的PubMed中文搜索引擎

马上搜索

文档翻译

学术文献翻译模型,支持多种主流文档格式。

立即体验