Suppr超能文献

基于三人为一组的全外显子组测序对 20 名低髓鞘形成性白质营养不良患者进行的基因分析。

Genetic analysis of 20 patients with hypomyelinating leukodystrophy by trio-based whole-exome sequencing.

机构信息

Department of Pediatrics, Peking University First Hospital, Beijing, China.

Molecular & Behavioral Neuroscience Institute, University of Michigan, Ann Arbor, MI, USA.

出版信息

J Hum Genet. 2021 Aug;66(8):761-768. doi: 10.1038/s10038-020-00896-5. Epub 2021 Feb 18.

Abstract

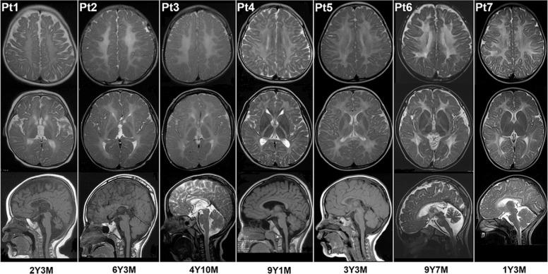
Hypomyelinating leukodystrophies (HLDs) are a rare group of disorders characterized by myelin deficit of the brain-based on MRI. Here, we studied 20 patients with unexplained HLD to uncover their genetic etiology through whole-exome sequencing (WES). Trio-based WES was performed for 20 unresolved HLDs families after genetic tests for the PLP1 duplication and a panel of 115 known leukodystrophy-related genes. Variants in both known genes that related to HLDs and promising candidate genes were analyzed. Minigene splicing assay was conducted to confirm the effect of splice region variant. All 20 patients were diagnosed with HLDs clinically based on myelin deficit on MRI and impaired motor ability. Through WES, in 11 of 20 trios, 15 causative variants were detected in seven genes TUBB4A, POLR1C, POLR3A, SOX10, TMEM106B, DEGS1, and TMEM63A. The last three genes have just been discovered. Of 15 variants, six were novel. Using minigene splicing assay, splice variant POLR3A c.1770 + 5 G > C was proved to disrupt the normal splicing of intron 13 and led to a premature stop codon at position 618 (p.(P591Vfs*28)). Our analysis determined the molecular diagnosis of 11 HLDs patients. It emphasizes the heterogenicity of HLDs, the diagnostic power of trio-based WES for HLDs. Comprehensive analysis including a focus on candidate genes helps to discover novel disease-causing genes, determine the diagnosis for the first time, and improve the yield of WES. Moreover, novel mutations identified in TUBB4A, POLR3A, and POLR1C expand the mutation spectrum of these genes.

摘要

Hypomyelinating 脑白质营养不良(HLD)是一组罕见的疾病,其特征在于基于 MRI 的脑髓鞘缺陷。在这里,我们通过全外显子组测序(WES)研究了 20 名原因不明的 HLD 患者,以揭示其遗传病因。在对 PLP1 重复和 115 个已知的白质营养不良相关基因进行基因测试后,对 20 个未解决的 HLD 家系进行了基于 trio 的 WES。分析了与 HLD 相关的已知基因和有前途的候选基因中的变异。进行了 minigene 剪接分析,以确认剪接区域变异的影响。所有 20 名患者均根据 MRI 上的髓鞘缺陷和运动能力受损的临床诊断为 HLD。通过 WES,在 20 个三家中的 11 个中,在 7 个基因 TUBB4A、POLR1C、POLR3A、SOX10、TMEM106B、DEGS1 和 TMEM63A 中检测到 15 个致病变异。后三个基因是刚刚发现的。在 15 个变异中,有 6 个是新的。使用 minigene 剪接分析,证明 POLR3A c.1770+5G>C 剪接变体破坏了内含子 13 的正常剪接,并导致位置 618 处的过早终止密码子(p.(P591Vfs*28))。我们的分析确定了 11 名 HLD 患者的分子诊断。它强调了 HLD 的异质性,基于 trio 的 WES 对 HLD 的诊断能力。包括关注候选基因的综合分析有助于发现新的致病基因,首次确定诊断,并提高 WES 的产量。此外,在 TUBB4A、POLR3A 和 POLR1C 中鉴定的新突变扩展了这些基因的突变谱。

https://cdn.ncbi.nlm.nih.gov/pmc/blobs/9171/8310791/010228cea044/10038_2020_896_Fig1_HTML.jpg

文献AI研究员

20分钟写一篇综述,助力文献阅读效率提升50倍。

立即体验

用中文搜PubMed

大模型驱动的PubMed中文搜索引擎

马上搜索

文档翻译

学术文献翻译模型,支持多种主流文档格式。

立即体验