Suppr超能文献

淋巴肌细胞导致了小鼠炎症性关节炎滑液淋巴系统功能障碍。

Lymphatic muscle cells contribute to dysfunction of the synovial lymphatic system in inflammatory arthritis in mice.

机构信息

Longhua Hospital, Shanghai University of Traditional Chinese Medicine, Shanghai, 200032, China.

Key Laboratory of Theory and Therapy of Muscles and Bones, Ministry of Education, Shanghai University of Traditional Chinese Medicine, Shanghai, 200032, China.

出版信息

Arthritis Res Ther. 2021 Feb 19;23(1):58. doi: 10.1186/s13075-021-02438-6.

Abstract

BACKGROUND

Our previous studies reveal that impaired draining function of the synovial lymphatic vessel (LV) contributes to the pathogenesis of inflammatory arthritis, but the cellular and molecular mechanisms involved are not fully understood.

OBJECTIVE

To investigate the involvement of lymphatic muscle cells (LMCs) in mediating impaired LV function in inflammatory arthritis.

METHODS

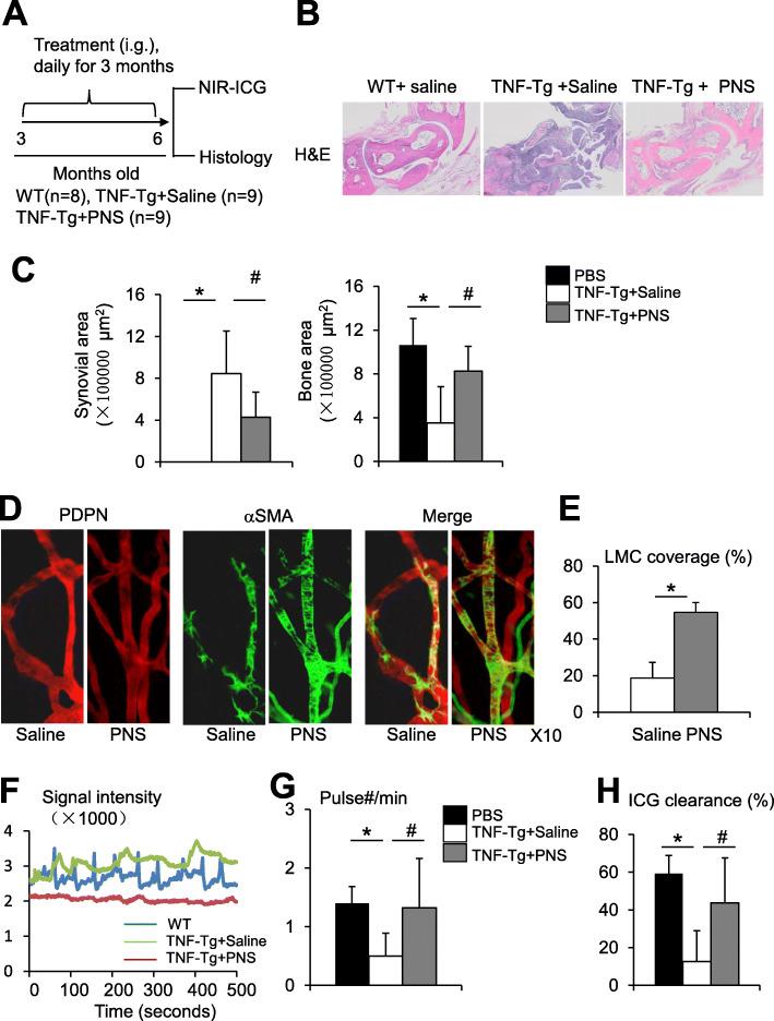
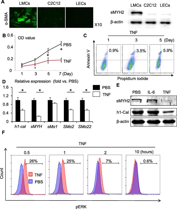
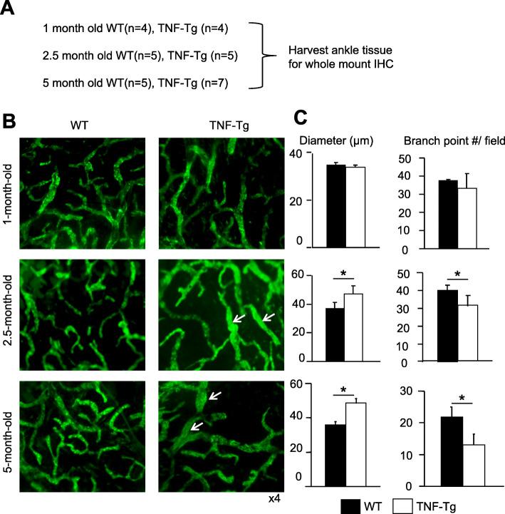
TNF transgenic (TNF-Tg) arthritic mice were used. The structure and function of the LVs that drained the hind limbs were examined by whole-mount immunofluorescence staining, electron microscopy, and near-infrared lymphatic imaging. Primary LMCs were treated with TNF, and the changes in proliferation, apoptosis, and functional gene expression were assessed. The roles of the herbal drug, Panax notoginseng saponins (PNS), in arthritis and LVs were studied.

RESULTS

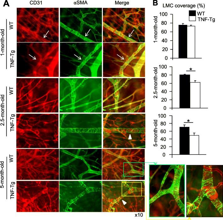
TNF-Tg mice developed ankle arthritis with age, which was associated with abnormalities of LVs: (1) dilated capillary LVs with few branch points, (2) mature LVs with reduced LMC coverage and draining function, and (3) degenerative and apoptotic appearance of LMCs. TNF caused LMC apoptosis, reduced expression of muscle functional genes, and promoted the production of nitric oxide (NO) by lymphatic endothelial cells (LECs). PNS attenuated arthritis, restored LMC coverage and draining function of mature LVs, inhibited TNF-mediated NO expression, and reduced LMC apoptosis.

CONCLUSION

The impaired draining function of LVs in TNF-Tg mice involves LMC apoptosis. TNF promotes LMC death directly and indirectly via NO production by LECs. PNS attenuates arthritis, improves LVs, and prevents TNF-induced LMC apoptosis by inhibiting NO production of LECs. LMCs contribute to the dysfunction of synovial LVs in inflammatory arthritis.

摘要

背景

我们之前的研究表明,滑膜淋巴管(LV)的引流功能受损与炎症性关节炎的发病机制有关,但涉及的细胞和分子机制尚不完全清楚。

目的

研究淋巴管平滑肌细胞(LMC)在介导炎症性关节炎中 LV 功能障碍中的作用。

方法

使用 TNF 转基因(TNF-Tg)关节炎小鼠。通过全组织免疫荧光染色、电子显微镜和近红外淋巴成像检查后肢引流 LV 的结构和功能。用 TNF 处理原代 LMC,评估其增殖、凋亡和功能基因表达的变化。研究草药三七总皂苷(PNS)在关节炎和 LV 中的作用。

结果

TNF-Tg 小鼠随年龄增长出现踝关节关节炎,与 LV 异常有关:(1)毛细血管 LV 扩张,分支点少;(2)成熟 LV 中 LMC 覆盖和引流功能减少;(3)LMC 退行性和凋亡样改变。TNF 导致 LMC 凋亡,肌肉功能基因表达减少,并促进淋巴管内皮细胞(LEC)产生一氧化氮(NO)。PNS 可减轻关节炎,恢复成熟 LV 的 LMC 覆盖和引流功能,抑制 TNF 介导的 NO 表达,减少 LMC 凋亡。

结论

TNF-Tg 小鼠 LV 的引流功能受损与 LMC 凋亡有关。TNF 通过 LEC 产生的 NO 直接和间接促进 LMC 死亡。PNS 通过抑制 LEC 产生的 NO 减轻关节炎、改善 LV,并防止 TNF 诱导的 LMC 凋亡。LMC 参与了炎症性关节炎中滑膜 LV 的功能障碍。

https://cdn.ncbi.nlm.nih.gov/pmc/blobs/aa5d/7893868/01618f3d7624/13075_2021_2438_Fig1_HTML.jpg

文献AI研究员

20分钟写一篇综述,助力文献阅读效率提升50倍。

立即体验

用中文搜PubMed

大模型驱动的PubMed中文搜索引擎

马上搜索

文档翻译

学术文献翻译模型,支持多种主流文档格式。

立即体验