Suppr超能文献

健康家养犬中动物源性腹泻致病型别的检测。

Detection of zoonotic diarrheagenic pathotypes of in healthy household dogs.

作者信息

Askari Asma, Ghanbarpour Reza, Akhtardanesh Baharak, Aflatoonian Mohammad Reza, Sharifi Hamid, Jajarmi Maziar, Molaei Reza

机构信息

Tropical and Infectious Diseases Research Center, Kerman University of Medical Sciences, Kerman, Iran.

Department of Pathobiology, School of Veterinary Medicine, Shahid Bahonar University of Kerman, Kerman, Iran.

出版信息

Iran J Microbiol. 2020 Dec;12(6):522-530. doi: 10.18502/ijm.v12i6.5026.

Abstract

BACKGROUND AND OBJECTIVES

Intestinal pathotypes of belong to the companion animals may poses potential risk to public health following zoonotic transmission. Therefore, this study was proposed to determine the virulence genes associated to diarrheagenic strains isolated from healthy pet dogs and their owners in the southeast of Iran, Kerman province.

MATERIALS AND METHODS

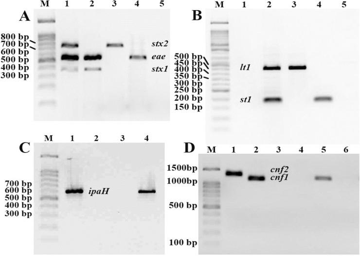
Totally 168 isolates were collected from 49 healthy household dogs and their owners. Seventy isolates were obtained from non-pet owners as control group. Presence or absence of the virulence genes including and were screened by conventional polymerase chain reaction (PCR) and dissemination pattern of the genes were studied among the various hosts.

RESULTS

PCR examinations showed that the most frequent virulence gene was (6.1%) in dogs followed by in dog owners (6.1%) and in controls (8.6%). The most frequent pathotypes in dogs, their owners and controls were EIEC (6.1%), EHEC (4.08%) and EPEC (8.5%), respectively. In one of studied houses, both of dog and its owner harbored strains with same virulence profile and pathotype (EHEC).

CONCLUSION

These results collectively indicate that healthy household dogs probably are the mild reservoir of potential virulent strains with possible active transmission to their contact owner. However, even non-pet owners seemed to be a notable source of intestinal pathotypes, especially EPEC, for their environment. Transmission of pathotypes may occurs by direct contact with the reservoirs or ingestion of contaminated food. These pathotypes are potentially virulent and creates public health hazards. Further studies are needed for better understanding of dissemination mechanisms of pathotypes among humans and their pets.

摘要

背景与目的

伴侣动物的肠道致病型可能通过人畜共患病传播对公众健康构成潜在风险。因此,本研究旨在确定从伊朗东南部克尔曼省健康宠物狗及其主人分离出的致泻性菌株相关的毒力基因。

材料与方法

共从49只健康家养犬及其主人中收集了168株分离株。从非宠物主人中获得70株作为对照组。通过常规聚合酶链反应(PCR)筛选毒力基因(包括[具体基因名称未给出]和[具体基因名称未给出])的有无,并研究这些基因在不同宿主中的传播模式。

结果

PCR检测显示,犬中最常见的毒力基因是[具体基因名称未给出](6.1%),其次是犬主人中的[具体基因名称未给出](6.1%)和对照组中的[具体基因名称未给出](8.6%)。犬、其主人和对照组中最常见的致病型分别是肠侵袭性大肠杆菌(EIEC,6.1%)、肠出血性大肠杆菌(EHEC,4.08%)和肠致病性大肠杆菌(EPEC,8.5%)。在一个研究家庭中,犬及其主人都携带了具有相同毒力谱和致病型(EHEC)的菌株。

结论

这些结果共同表明,健康家养犬可能是潜在有毒力菌株的轻度储存宿主,可能会将其主动传播给与之接触的主人。然而,即使是非宠物主人似乎也是其环境中肠道致病型,尤其是EPEC的重要来源。致病型的传播可能通过与储存宿主直接接触或摄入受污染食物发生。这些致病型具有潜在毒性,会造成公共卫生危害。需要进一步研究以更好地了解致病型在人类及其宠物之间的传播机制。

https://cdn.ncbi.nlm.nih.gov/pmc/blobs/52dd/7884269/26b0aadf7a2f/IJM-12-522-g001.jpg

文献AI研究员

20分钟写一篇综述,助力文献阅读效率提升50倍。

立即体验

用中文搜PubMed

大模型驱动的PubMed中文搜索引擎

马上搜索

文档翻译

学术文献翻译模型,支持多种主流文档格式。

立即体验