Suppr超能文献

通过在马铃薯中使用无 DNA 的 CRISPR-Cas9 介导的突变技术对两种淀粉分支酶进行修饰,开发出了无支链淀粉。

Amylose starch with no detectable branching developed through DNA-free CRISPR-Cas9 mediated mutagenesis of two starch branching enzymes in potato.

机构信息

Department of Molecular Sciences, Swedish University of Agricultural Sciences, Box 7015, 750 07, Uppsala, Sweden.

Department of Plant Breeding, Swedish University of Agricultural Sciences, P.O. Box 101, 23053, Alnarp, Sweden.

出版信息

Sci Rep. 2021 Feb 22;11(1):4311. doi: 10.1038/s41598-021-83462-z.

Abstract

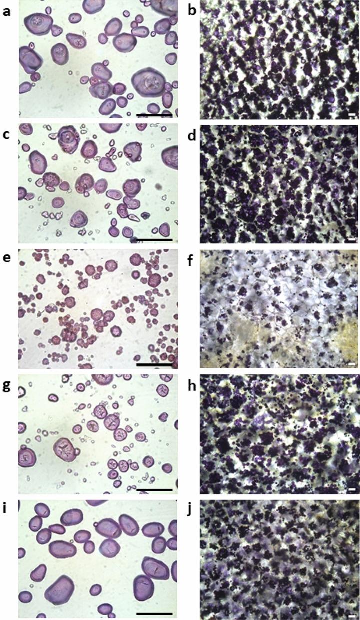
DNA-free genome editing was used to induce mutations in one or two branching enzyme genes (Sbe) in tetraploid potato to develop starch with an increased amylose ratio and elongated amylopectin chains. By using ribonucleoprotein (RNP) transfection of potato protoplasts, a mutation frequency up to 72% was achieved. The large variation of mutations was grouped as follows: Group 1 lines with all alleles of Sbe1 mutated, Group 2 lines with all alleles of Sbe1 as well as two to three alleles of Sbe2 mutated and Group 3 lines having all alleles of both genes mutated. Starch from lines in Group 3 was found to be essentially free of amylopectin with no detectable branching and a chain length (CL) distribution where not only the major amylopectin fraction but also the shortest amylose chains were lost. Surprisingly, the starch still formed granules in a low-ordered crystalline structure. Starch from lines of Group 2 had an increased CL with a higher proportion of intermediate-sized chains, an altered granule phenotype but a crystalline structure in the granules similar to wild-type starch. Minor changes in CL could also be detected for the Group 1 starches when studied at a higher resolution.

摘要

无 DNA 基因组编辑被用于诱导四倍体马铃薯中一个或两个支链酶基因 (Sbe) 的突变,以开发具有更高直链淀粉比例和更长支链淀粉链的淀粉。通过使用核糖核蛋白 (RNP) 转染马铃薯原生质体,实现了高达 72%的突变频率。突变的大变异被分为以下几类:第 1 组 Sbe1 的所有等位基因都发生了突变,第 2 组 Sbe1 的所有等位基因以及 Sbe2 的两到三个等位基因都发生了突变,第 3 组所有基因的等位基因都发生了突变。第 3 组的淀粉中发现几乎不含支链淀粉的分支,且链长 (CL) 分布不均,不仅主要的支链淀粉部分,而且最短的直链淀粉链都丢失了。令人惊讶的是,淀粉仍然以低有序晶体结构形成颗粒。第 2 组淀粉具有更高的 CL 和更高比例的中等大小链,颗粒表型发生改变,但颗粒中的晶体结构与野生型淀粉相似。当在更高分辨率下研究第 1 组淀粉时,也可以检测到 CL 的微小变化。

https://cdn.ncbi.nlm.nih.gov/pmc/blobs/011d/7900246/db08dcae64a8/41598_2021_83462_Fig1_HTML.jpg

文献AI研究员

20分钟写一篇综述,助力文献阅读效率提升50倍。

立即体验

用中文搜PubMed

大模型驱动的PubMed中文搜索引擎

马上搜索

文档翻译

学术文献翻译模型,支持多种主流文档格式。

立即体验