Suppr超能文献

揭开隐匿的伪装者:并发孤立性巨大盲肠子宫内膜瘤和孤立性宫外腹膜后细胞性平滑肌瘤——病例报告并文献复习

Unmasking the great masqueraders: Concurrent isolated large cecal endometrioma and solitary extra-uterine retroperitoneal cellular leiomyoma - A case report with review of literature.

作者信息

Riaz Umar, Soni Anita, Parekh Hetal, Joshi Abhijit

机构信息

Department of General & Laparoscopic Surgery, Dr L H Hiranandani Hospital, Powai, Mumbai, 400076, India.

Department of Obstetrics & Gynecology, Dr L H Hiranandani Hospital, Powai, Mumbai, 400076, India.

出版信息

Int J Surg Case Rep. 2021 Mar;80:105666. doi: 10.1016/j.ijscr.2021.105666. Epub 2021 Feb 19.

Abstract

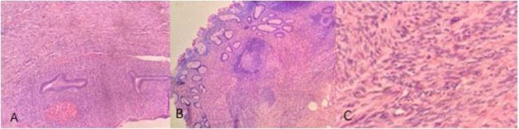
INTRODUCTION

Cecal endometriosis is an infrequent cause of right iliac fossa pain. The extra-uterine retroperitoneal cellular leiomyoma is a rare tumor. The concurrent existence of both these rare conditions is a unique event.

PRESENTATION OF CASE

We hereby report the case of a 44-year-old woman who had concurrent large isolated cecal endometrioma, which was diagnosed pre-operatively on imaging to be pelvic endometriosis/hematosalpinx and solitary retroperitoneal cellular leiomyoma, which was incidentally identified. Both the conditions were managed successfully by laparoscopy.

DISCUSSION

Cecal endometriosis is difficult to diagnose pre-operatively as there are far commoner clinical conditions that cause similar signs and symptoms. Often it gets mistaken for these conditions and gets diagnosed incidentally 'on table' during surgeries being performed purportedly to treat them.

CONCLUSION

Although definitive diagnosis can only be obtained after histopathology, laparoscopy can be considered a standard diagnostic modality for both these conditions.

摘要

引言

盲肠子宫内膜异位症是引起右下腹疼痛的罕见原因。子宫外腹膜后细胞性平滑肌瘤是一种罕见肿瘤。这两种罕见病症同时存在是一个独特的情况。

病例介绍

我们在此报告一例44岁女性,她同时患有巨大孤立性盲肠子宫内膜瘤,术前影像学诊断为盆腔子宫内膜异位症/输卵管积血,以及偶然发现的孤立性腹膜后细胞性平滑肌瘤。这两种病症均通过腹腔镜手术成功治疗。

讨论

盲肠子宫内膜异位症术前难以诊断,因为有更常见的临床病症会导致相似的体征和症状。它常常被误诊为这些病症,并在据称治疗这些病症的手术过程中“术中”偶然被诊断出来。

结论

虽然只有在组织病理学检查后才能获得明确诊断,但腹腔镜检查可被视为这两种病症的标准诊断方式。

https://cdn.ncbi.nlm.nih.gov/pmc/blobs/d975/7918270/88d0a159685f/gr1.jpg

文献AI研究员

20分钟写一篇综述,助力文献阅读效率提升50倍。

立即体验

用中文搜PubMed

大模型驱动的PubMed中文搜索引擎

马上搜索

文档翻译

学术文献翻译模型,支持多种主流文档格式。

立即体验