Suppr超能文献

VPS34 K29/K48 支化泛素化受 UBE3C 和 TRABID 调控,调节自噬、蛋白质稳态和肝脏代谢。

VPS34 K29/K48 branched ubiquitination governed by UBE3C and TRABID regulates autophagy, proteostasis and liver metabolism.

机构信息

Institute of Biological Chemistry, Academia Sinica, Taipei, Taiwan.

Institute of Biochemical Sciences, College of Life Science, National Taiwan University, Taipei, Taiwan.

出版信息

Nat Commun. 2021 Feb 26;12(1):1322. doi: 10.1038/s41467-021-21715-1.

Abstract

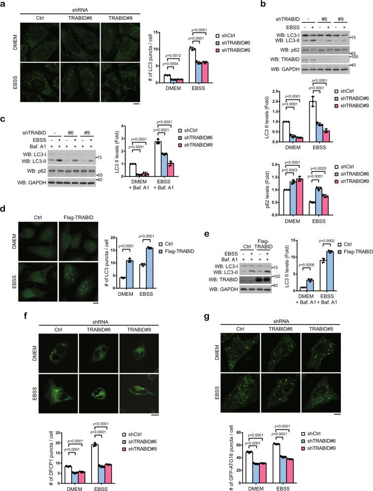
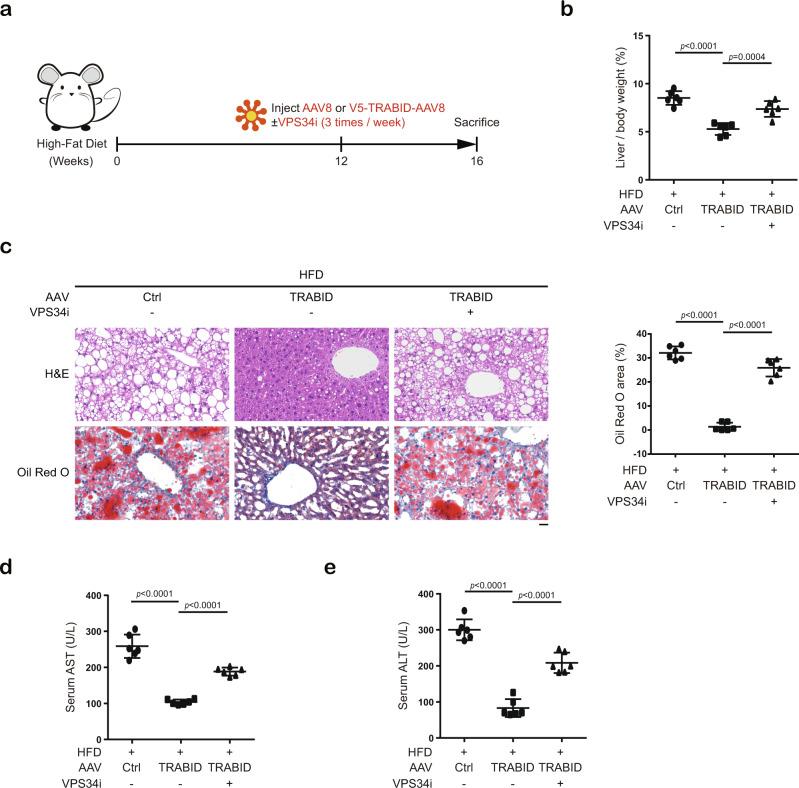
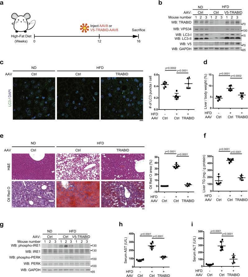
The ubiquitin-proteasome system (UPS) and autophagy are two major quality control processes whose impairment is linked to a wide variety of diseases. The coordination between UPS and autophagy remains incompletely understood. Here, we show that ubiquitin ligase UBE3C and deubiquitinating enzyme TRABID reciprocally regulate K29/K48-branched ubiquitination of VPS34. We find that this ubiquitination enhances the binding of VPS34 to proteasomes for degradation, thereby suppressing autophagosome formation and maturation. Under ER and proteotoxic stresses, UBE3C recruitment to phagophores is compromised with a concomitant increase of its association with proteasomes. This switch attenuates the action of UBE3C on VPS34, thereby elevating autophagy activity to facilitate proteostasis, ER quality control and cell survival. Specifically in the liver, we show that TRABID-mediated VPS34 stabilization is critical for lipid metabolism and is downregulated during the pathogenesis of steatosis. This study identifies a ubiquitination type on VPS34 and elucidates its cellular fate and physiological functions in proteostasis and liver metabolism.

摘要

泛素-蛋白酶体系统(UPS)和自噬是两种主要的质量控制过程,其功能障碍与多种疾病有关。UPS 和自噬之间的协调仍不完全清楚。在这里,我们表明泛素连接酶 UBE3C 和去泛素化酶 TRABID 相互调节 VPS34 的 K29/K48 分支泛素化。我们发现这种泛素化增强了 VPS34 与蛋白酶体的结合,从而抑制自噬体的形成和成熟。在 ER 和蛋白毒性应激下,UBE3C 向吞噬体的募集受到损害,同时与蛋白酶体的结合增加。这种转变减弱了 UBE3C 对 VPS34 的作用,从而提高自噬活性,以促进蛋白质稳态、内质网质量控制和细胞存活。具体在肝脏中,我们表明 TRABID 介导的 VPS34 稳定对于脂质代谢至关重要,并且在脂肪变性的发病机制中下调。这项研究确定了 VPS34 上的一种泛素化类型,并阐明了其在蛋白质稳态和肝脏代谢中的细胞命运和生理功能。

https://cdn.ncbi.nlm.nih.gov/pmc/blobs/1802/7910580/17e395c72c69/41467_2021_21715_Fig1_HTML.jpg

文献AI研究员

20分钟写一篇综述,助力文献阅读效率提升50倍。

立即体验

用中文搜PubMed

大模型驱动的PubMed中文搜索引擎

马上搜索

文档翻译

学术文献翻译模型,支持多种主流文档格式。

立即体验