Suppr超能文献

在帕金森病模型中,OTUD5通过促进α-突触核蛋白的降解来保护多巴胺能神经元。

OTUD5 Protects Dopaminergic Neurons by Promoting the Degradation of α-Synuclein in Parkinson's Disease Model.

作者信息

Song Xiaomeng, Liu Tengfei, Yu Lu, Ji Qiuran, Guo Xin, Zong Runzhe, Li Yiquan, Huang Gan, Xue Qidi, Fu Qingyi, Liu Bingyu, Zheng Yi, Chen Lin, Gao Chengjiang, Liu Huiqing

机构信息

Department of Pharmacology, School of Basic Medical Sciences, Shandong University, Jinan, Shandong, 250012, P. R. China.

Key Laboratory of Infection and Immunity of Shandong Province, School of Basic Medical Sciences, Shandong University, Jinan, Shandong, 250012, P. R. China.

出版信息

Adv Sci (Weinh). 2025 Feb;12(7):e2406700. doi: 10.1002/advs.202406700. Epub 2024 Dec 25.

Abstract

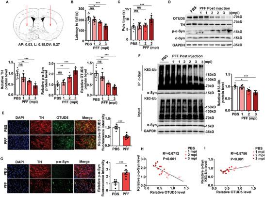
Defective clearance and accumulation of α-synuclein (α-Syn) is the key pathogenic factor in Parkinson's disease (PD). Recent studies emphasize the importance of E3 ligases in regulating the degradation of α-Syn. However, the molecular mechanisms by which deubiquitinases regulate α-Syn degradation are scarcely studied. In this study, it is found that the protein levels of α-Syn are negatively regulated by ovarian tumor protease deubiquitinase 5 (OTUD5) which protects dopaminergic (DA) neurons in the PD model. Mechanistically, OTUD5 promotes K63-linked polyubiquitination of α-Syn independent of its deubiquitinating enzyme activity and mediates its endolysosomal degradation by recruiting the E3 ligase neural precursor cell expressed developmentally downregulated 4 (NEDD4). Furthermore, OTUD5 conditional knockout in DA neurons results in more severe α-Syn related pathology and dyskinesia after injection of α-Syn preformed fibrils (PFF). Overall, the data unveil a novel mechanism to regulate the degradation of α-Syn and provide a new therapeutic strategy to alleviate DA neurodegeneration.

摘要

α-突触核蛋白(α-Syn)清除缺陷和积累是帕金森病(PD)的关键致病因素。最近的研究强调了E3连接酶在调节α-Syn降解中的重要性。然而,去泛素化酶调节α-Syn降解的分子机制鲜有研究。在本研究中,发现卵巢肿瘤蛋白酶去泛素化酶5(OTUD5)对α-Syn的蛋白水平具有负调控作用,该酶在PD模型中对多巴胺能(DA)神经元具有保护作用。机制上,OTUD5促进α-Syn的K63连接的多聚泛素化,且不依赖其去泛素化酶活性,并通过招募E3连接酶神经前体细胞表达的发育下调蛋白4(NEDD4)介导其溶酶体降解。此外,DA神经元中OTUD5条件性敲除导致注射α-Syn原纤维(PFF)后出现更严重的α-Syn相关病理改变和运动障碍。总体而言,这些数据揭示了一种调节α-Syn降解的新机制,并为减轻DA神经变性提供了一种新的治疗策略。

https://cdn.ncbi.nlm.nih.gov/pmc/blobs/a7d2/11831440/6a267232473f/ADVS-12-2406700-g007.jpg

文献AI研究员

20分钟写一篇综述,助力文献阅读效率提升50倍。

立即体验

用中文搜PubMed

大模型驱动的PubMed中文搜索引擎

马上搜索

文档翻译

学术文献翻译模型,支持多种主流文档格式。

立即体验