Suppr超能文献

在人脑中脑帕金森病模型中,星形胶质细胞促成Toll样受体2介导的神经退行性变和α-突触核蛋白病理改变。

Astrocytes contribute to toll-like receptor 2-mediated neurodegeneration and alpha-synuclein pathology in a human midbrain Parkinson's model.

作者信息

Weiss Fiona, Hughes Laura, Fu Yuhong, Bardy Cedric, Halliday Glenda M, Dzamko Nicolas

机构信息

School of Medical Sciences, Faculty of Medicine and Health and the Brain and Mind Centre, University of Sydney, Camperdown, NSW, 2050, Australia.

Laboratory for Human Neurophysiology and Genetics, South Australian Health and Medical Research Institute (SAHMRI), Adelaide, SA, Australia.

出版信息

Transl Neurodegener. 2024 Dec 16;13(1):62. doi: 10.1186/s40035-024-00448-3.

Abstract

BACKGROUND

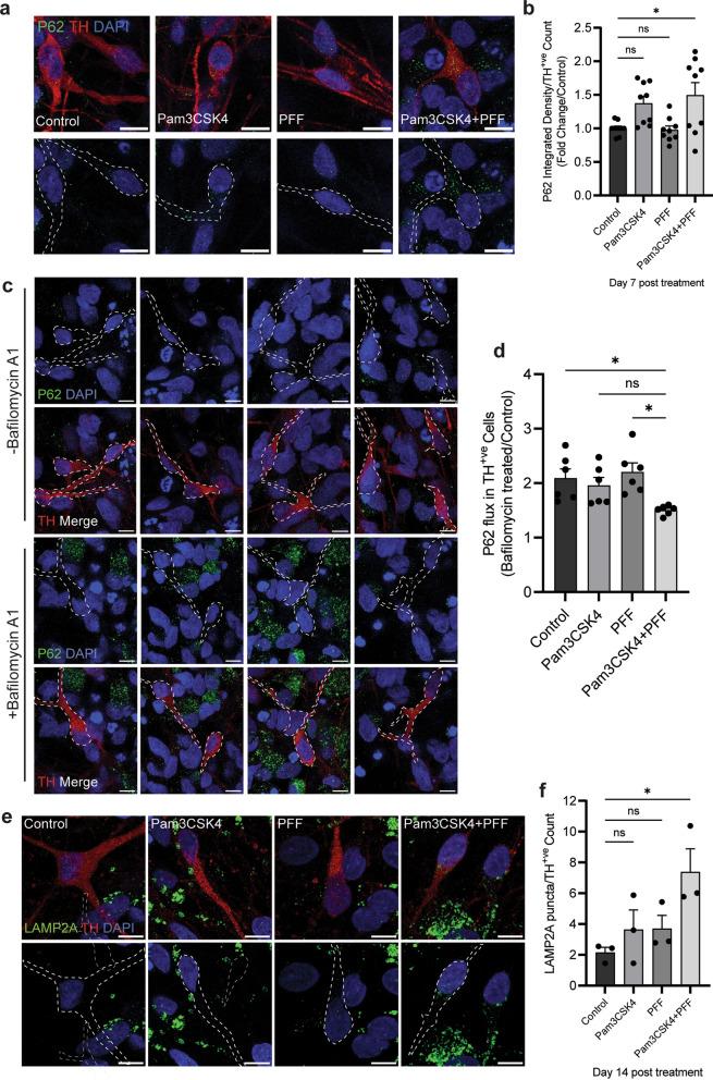
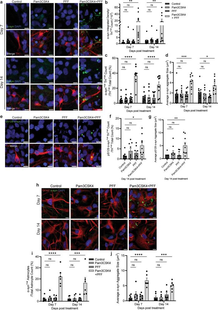
Parkinson's disease (PD) is characterised by degeneration of ventral midbrain dopaminergic (DA) neurons and abnormal deposition of α-synuclein (α-syn) in neurons. Activation of the innate immune pathogen recognition receptor toll-like receptor 2 (TLR2) is associated with exacerbation of α-syn pathology. TLR2 is increased on neurons in the PD brain, and its activation results in the accumulation and propagation of α-syn through autophagy inhibition in neurons. In addition to the aggregation and propagation of pathological α-syn, dysfunction of astrocytes may contribute to DA neuronal death and subsequent clinical progression of PD. However, the role of astrocytes in TLR2-mediated PD pathology is less explored but important to address, given that TLR2 is a potential therapeutic target for PD.

METHODS

Induced pluripotent stem cells from three controls and three PD patients were differentiated into a midbrain model comprised of neurons (including DA neurons) and astrocytes. Cells were treated with or without the TLR2 agonist Pam3CSK4, and α-syn pathology was seeded using pre-formed fibrils. Confocal imaging was used to assess lysosomal function and α-syn pathology in the different cell types, as well as DA neuron health and astrocyte activation.

RESULTS

TLR2 activation acutely impaired the autophagy lysosomal pathway, and potentiated α-syn pathology seeded by pre-formed fibrils in PD neurons and astrocytes, leading to degeneration and loss of DA neurons. The astrocytes displayed impaired chaperone-mediated autophagy reducing their ability to clear accumulated α-syn, and increases of A1 neurotoxic phenotypic proteins SerpinG1, complement C3, PSMB8 and GBP2. Moreover, the phenotypic changes in astrocytes correlated with a specific loss of DA neurons.

CONCLUSIONS

Taken together, these results support a role for astrocyte dysfunction in α-syn accumulation and DA neuronal loss following TLR2 activation in PD.

摘要

背景

帕金森病(PD)的特征是中脑腹侧多巴胺能(DA)神经元变性以及神经元中α-突触核蛋白(α-syn)异常沉积。先天免疫病原体识别受体Toll样受体2(TLR2)的激活与α-syn病理学的加重有关。TLR2在PD脑内的神经元上表达增加,其激活通过抑制神经元自噬导致α-syn的积累和传播。除了病理性α-syn的聚集和传播外,星形胶质细胞功能障碍可能导致DA神经元死亡及随后的PD临床进展。然而,鉴于TLR2是PD的一个潜在治疗靶点,星形胶质细胞在TLR2介导的PD病理学中的作用尚未得到充分研究,但很重要。

方法

从三名对照者和三名PD患者的诱导多能干细胞分化成由神经元(包括DA神经元)和星形胶质细胞组成的中脑模型。细胞用或不用TLR2激动剂Pam3CSK4处理,并使用预形成的纤维种入α-syn病理学。共聚焦成像用于评估不同细胞类型中的溶酶体功能和α-syn病理学,以及DA神经元健康和星形胶质细胞激活。

结果

TLR2激活急性损害自噬溶酶体途径,并增强由预形成纤维在PD神经元和星形胶质细胞中种入的α-syn病理学,导致DA神经元变性和丢失。星形胶质细胞显示伴侣介导的自噬受损,降低了它们清除积累的α-syn的能力,并增加了A1神经毒性表型蛋白丝氨酸蛋白酶抑制剂G1、补体C3、蛋白酶体β亚基8和鸟苷结合蛋白2。此外,星形胶质细胞的表型变化与DA神经元的特异性丢失相关。

结论

综上所述,这些结果支持星形胶质细胞功能障碍在PD中TLR2激活后α-syn积累和DA神经元丢失中的作用。

https://cdn.ncbi.nlm.nih.gov/pmc/blobs/e290/11648304/6b03b6499dba/40035_2024_448_Fig1_HTML.jpg

文献AI研究员

20分钟写一篇综述,助力文献阅读效率提升50倍。

立即体验

用中文搜PubMed

大模型驱动的PubMed中文搜索引擎

马上搜索

文档翻译

学术文献翻译模型,支持多种主流文档格式。

立即体验