Suppr超能文献

肠道宿主对 SARS-CoV-2 感染的反应和有胃肠道症状的 COVID-19 患者的结局。

Intestinal Host Response to SARS-CoV-2 Infection and COVID-19 Outcomes in Patients With Gastrointestinal Symptoms.

机构信息

Precision Immunology Institute, Icahn School of Medicine at Mount Sinai, New York, New York; The Dr. Henry D. Janowitz Division of Gastroenterology, Department of Medicine, Icahn School of Medicine at Mount Sinai, New York, New York.

Precision Immunology Institute, Icahn School of Medicine at Mount Sinai, New York, New York; Division of Infectious Disease, Department of Medicine, Icahn School of Medicine at Mount Sinai, New York, New York.

出版信息

Gastroenterology. 2021 Jun;160(7):2435-2450.e34. doi: 10.1053/j.gastro.2021.02.056. Epub 2021 Mar 4.

Abstract

BACKGROUND & AIMS: Given that gastrointestinal (GI) symptoms are a prominent extrapulmonary manifestation of COVID-19, we investigated intestinal infection with SARS-CoV-2, its effect on pathogenesis, and clinical significance.

METHODS

Human intestinal biopsy tissues were obtained from patients with COVID-19 (n = 19) and uninfected control individuals (n = 10) for microscopic examination, cytometry by time of flight analyses, and RNA sequencing. Additionally, disease severity and mortality were examined in patients with and without GI symptoms in 2 large, independent cohorts of hospitalized patients in the United States (N = 634) and Europe (N = 287) using multivariate logistic regressions.

RESULTS

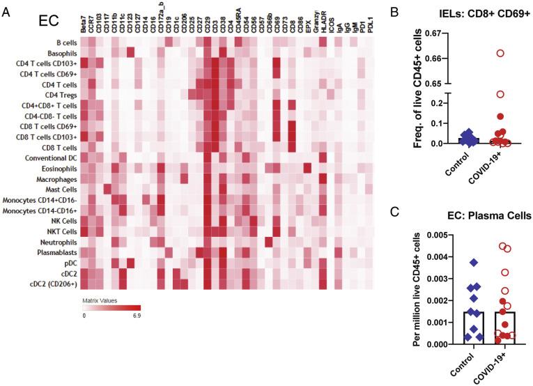
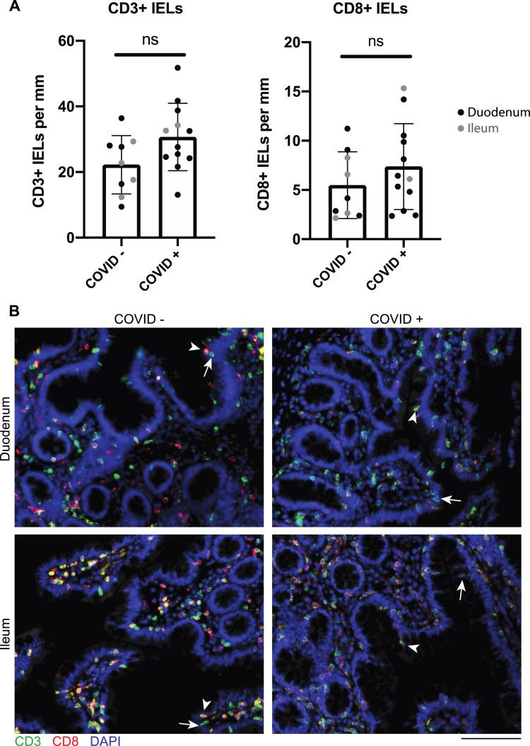
COVID-19 case patients and control individuals in the biopsy cohort were comparable for age, sex, rates of hospitalization, and relevant comorbid conditions. SARS-CoV-2 was detected in small intestinal epithelial cells by immunofluorescence staining or electron microscopy in 15 of 17 patients studied. High-dimensional analyses of GI tissues showed low levels of inflammation, including down-regulation of key inflammatory genes including IFNG, CXCL8, CXCL2, and IL1B and reduced frequencies of proinflammatory dendritic cells compared with control individuals. Consistent with these findings, we found a significant reduction in disease severity and mortality in patients presenting with GI symptoms that was independent of sex, age, and comorbid illnesses and despite similar nasopharyngeal SARS-CoV-2 viral loads. Furthermore, there was reduced levels of key inflammatory proteins in circulation in patients with GI symptoms.

CONCLUSIONS

These data highlight the absence of a proinflammatory response in the GI tract despite detection of SARS-CoV-2. In parallel, reduced mortality in patients with COVID-19 presenting with GI symptoms was observed. A potential role of the GI tract in attenuating SARS-CoV-2-associated inflammation needs to be further examined.

摘要

背景与目的

鉴于胃肠道(GI)症状是 COVID-19 的突出肺外表现,我们研究了 SARS-CoV-2 的肠道感染、对发病机制的影响及其临床意义。

方法

我们从 COVID-19 患者(n=19)和未感染对照个体(n=10)中获取人肠活检组织,进行显微镜检查、飞行时间分析和 RNA 测序。此外,我们使用多变量逻辑回归分析了美国(n=634)和欧洲(n=287)两个大型住院患者队列中存在和不存在胃肠道症状的患者的疾病严重程度和死亡率。

结果

活检队列中的 COVID-19 病例患者和对照个体在年龄、性别、住院率和相关合并症方面具有可比性。在 17 名研究患者中,有 15 名通过免疫荧光染色或电子显微镜检测到小肠上皮细胞中存在 SARS-CoV-2。与对照个体相比,GI 组织的高维分析显示炎症水平较低,包括关键炎症基因(包括 IFNG、CXCL8、CXCL2 和 IL1B)下调以及促炎树突状细胞频率降低。与这些发现一致,我们发现存在胃肠道症状的患者疾病严重程度和死亡率显著降低,这与性别、年龄和合并症无关,尽管鼻咽 SARS-CoV-2 病毒载量相似。此外,存在胃肠道症状的患者循环中关键炎症蛋白水平降低。

结论

这些数据突出表明,尽管检测到 SARS-CoV-2,但 GI 道中没有炎症反应。与此同时,观察到 COVID-19 患者出现胃肠道症状时的死亡率降低。需要进一步研究 GI 道在减轻 SARS-CoV-2 相关炎症中的潜在作用。

https://cdn.ncbi.nlm.nih.gov/pmc/blobs/26c0/7931673/7165594a763c/gr1_lrg.jpg

文献AI研究员

20分钟写一篇综述,助力文献阅读效率提升50倍。

立即体验

用中文搜PubMed

大模型驱动的PubMed中文搜索引擎

马上搜索

文档翻译

学术文献翻译模型,支持多种主流文档格式。

立即体验