Suppr超能文献

壳聚糖水凝胶负载 MSC 来源的细胞外囊泡通过改善真皮成纤维细胞衰老促进皮肤年轻化。

Chitosan hydrogel-loaded MSC-derived extracellular vesicles promote skin rejuvenation by ameliorating the senescence of dermal fibroblasts.

机构信息

Nankai University School of Medicine, 94 Weijin Road, Tianjin, 300071, China.

The Key Laboratory of Bioactive Materials, Ministry of Education, Nankai University, The College of Life Sciences, Tianjin, 300071, China.

出版信息

Stem Cell Res Ther. 2021 Mar 20;12(1):196. doi: 10.1186/s13287-021-02262-4.

Abstract

BACKGROUND

The senescence of dermal fibroblasts (DFLs) leads to an imbalance in the synthesis and degradation of extracellular matrix (ECM) proteins, presenting so-called senescence-associated secretory phenotype (SASP), which ultimately leads to skin aging. Recently, mesenchymal stem cell (MSC)-derived extracellular vesicles (EVs) have been recognized as a promising cell-free therapy for degenerative diseases, which opens a new avenue for skin aging treatment.

METHODS

In this study, we utilized chitosan (CS) hydrogel for effective loading and sustained release of EVs. In vitro, we explored the rejuvenation effects of CS hydrogel-incorporated EVs (CS-EVs) on replicative senescence DFLs through a series of experiments such as senescence-associated β-galactosidase (SA-β-gal) staining, RT-PCR, and Western blot analysis. Besides, we employed local multi-site subcutaneous injection to treat skin aging of naturally aged mice with CS-EVs and DiI fluorescent dye was used to label EVs to achieve in vivo real-time tracking.

RESULTS

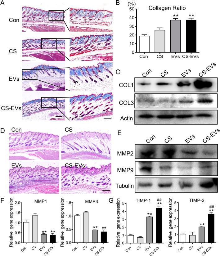
CS-EVs can significantly improve the biological functions of senescent fibroblasts, including promoting their proliferation, enhancing the synthesis of ECM proteins, and inhibiting the overexpression of matrix metalloproteinases (MMPs). Moreover, CS hydrogel could prolong the release of EVs and significantly increase the retention of EVs in vivo. After CS-EVs subcutaneous injection treatment, the aging skin tissues showed a rejuvenation state, manifested explicitly as the enhanced expression of collagen, the decreased expression of SASP-related factors, and the restoration of tissue structures.

CONCLUSIONS

CS hydrogel-encapsulated EVs could delay the skin aging processes by ameliorating the function of aging DFLs. Our results also highlight the potential of CS hydrogel-encapsulated EVs as a novel therapeutic strategy for improving aging skin to rejuvenation.

摘要

背景

真皮成纤维细胞(DFL)衰老导致细胞外基质(ECM)蛋白的合成和降解失衡,表现出所谓的衰老相关分泌表型(SASP),最终导致皮肤衰老。最近,间充质干细胞(MSC)衍生的细胞外囊泡(EVs)已被认为是退行性疾病有前途的无细胞治疗方法,为皮肤衰老治疗开辟了新途径。

方法

在这项研究中,我们利用壳聚糖(CS)水凝胶有效负载和持续释放 EVs。在体外,我们通过衰老相关β-半乳糖苷酶(SA-β-gal)染色、RT-PCR 和 Western blot 分析等一系列实验,研究了 CS 水凝胶包封的 EVs(CS-EVs)对复制性衰老 DFL 的恢复作用。此外,我们采用局部多点皮下注射用 CS-EVs 治疗自然衰老小鼠的皮肤老化,并使用 DiI 荧光染料标记 EVs 以实现体内实时跟踪。

结果

CS-EVs 可显著改善衰老成纤维细胞的生物学功能,包括促进其增殖、增强 ECM 蛋白的合成以及抑制基质金属蛋白酶(MMPs)的过度表达。此外,CS 水凝胶可以延长 EVs 的释放并显著增加 EVs 在体内的保留。CS-EVs 皮下注射治疗后,衰老皮肤组织呈现出年轻化状态,表现为胶原蛋白表达增强、SASP 相关因子表达减少以及组织结构恢复。

结论

CS 水凝胶包封的 EVs 可以通过改善衰老 DFL 的功能来延缓皮肤衰老过程。我们的研究结果还强调了 CS 水凝胶包封的 EVs 作为改善老化皮肤年轻化的新型治疗策略的潜力。

https://cdn.ncbi.nlm.nih.gov/pmc/blobs/0a23/7981922/9383828e59c9/13287_2021_2262_Fig1_HTML.jpg

文献AI研究员

20分钟写一篇综述,助力文献阅读效率提升50倍。

立即体验

用中文搜PubMed

大模型驱动的PubMed中文搜索引擎

马上搜索

文档翻译

学术文献翻译模型,支持多种主流文档格式。

立即体验