Suppr超能文献

通过HGF/c-MET轴发挥作用的MET转录调节因子/丝氨酸肽酶抑制剂库尼茨型1作为泛癌预后标志物

MET transcriptional regulator/serine peptidase inhibitor kunitz type 1 panel operating through HGF/c-MET axis as a prognostic signature in pan-cancer.

作者信息

Xiang Yi, Liang Bishan, Jiang Yu, Sun Fei, Zhao Yang, Wu Qijing, Hu Xingbin, Liu Yajing, Huang Qiong, Liao Wangjun, Yao Zhiqi, Li Shaowei, Shi Min

机构信息

Department of Oncology, Nanfang Hospital, Southern Medical University, Guangzhou, China.

出版信息

Cancer Med. 2021 Apr;10(7):2442-2460. doi: 10.1002/cam4.3834. Epub 2021 Mar 9.

Abstract

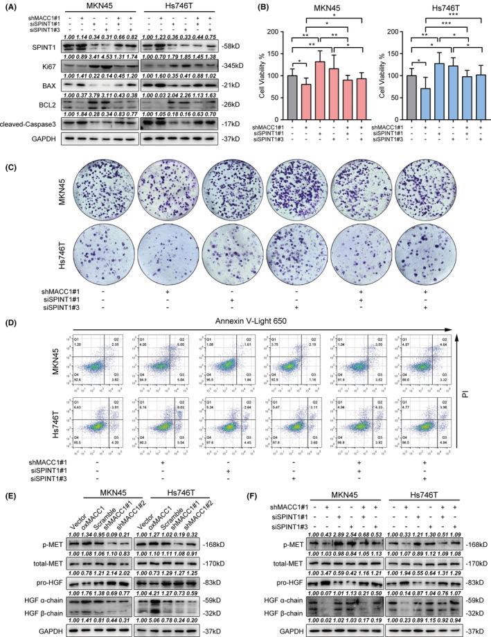
Dysregulations in transcription factors (TFs) and their genetic products play important roles in tumorigenesis, tumor progression and metastasis. However, prognostic value of the transcriptional regulatory networks in different cancers has not been investigated in depth. The purpose of our study was to identify and validate a potential predictive signature that combines TFs and their regulatory products in eight solid tumors. We used bioinformatics analysis to identify MET Transcriptional Regulator (MACC1) and Serine Peptidase Inhibitor Kunitz Type 1 (SPINT1) as candidate TFs with the respective downstream regulatory proteins for patient prognosis in pan-cancer. Subsequent molecular analysis of clinical gastric cancer tissue samples further verified the negative correlation between MACC1 and SPINT1. Further, we showed that mechanistically, MACC1/SPINT1 mediated the pro-HGF proteolysis and c-Met phosphorylation in HGF/c-MET signaling pathway. Kaplan-Meier plots and receiver operating characteristics analysis revealed that the two-gene signature combining MACC1 with SPINT1 was effective in predicting survival in all eight cancer cohorts tested. In conclusion, our study clarified the regulatory relationship between MACC1 and SPINT1 in the context of the HGF/c-MET signaling pathway and determined MACC1/SPINT1 panel as a valuable signature for the prediction of prognosis in patients for multiple solid cancer types.

摘要

转录因子(TFs)及其基因产物的失调在肿瘤发生、肿瘤进展和转移中起着重要作用。然而,转录调控网络在不同癌症中的预后价值尚未得到深入研究。我们研究的目的是识别并验证一种潜在的预测特征,该特征结合了八种实体瘤中的转录因子及其调控产物。我们使用生物信息学分析来识别MET转录调节因子(MACC1)和丝氨酸蛋白酶抑制剂库尼兹1型(SPINT1)作为泛癌患者预后的候选转录因子及其各自的下游调控蛋白。随后对临床胃癌组织样本进行的分子分析进一步证实了MACC1和SPINT1之间的负相关。此外,我们从机制上表明,MACC1/SPINT1介导了HGF/c-MET信号通路中的前HGF蛋白水解和c-Met磷酸化。Kaplan-Meier曲线和受试者工作特征分析表明,将MACC1与SPINT1结合的双基因特征在预测所有八个测试癌症队列的生存情况方面是有效的。总之,我们的研究阐明了在HGF/c-MET信号通路背景下MACC1和SPINT1之间的调控关系,并确定MACC1/SPINT1组合是预测多种实体癌类型患者预后的有价值特征。

https://cdn.ncbi.nlm.nih.gov/pmc/blobs/dd61/7982633/22ea73c671ac/CAM4-10-2442-g006.jpg

文献AI研究员

20分钟写一篇综述,助力文献阅读效率提升50倍。

立即体验

用中文搜PubMed

大模型驱动的PubMed中文搜索引擎

马上搜索

文档翻译

学术文献翻译模型,支持多种主流文档格式。

立即体验